来源: 医博士 | 2023-11-22
肺动脉高压是一种进行性的危及生命的疾病,肺动脉压力升高,导致右侧心力衰竭。以前,肺动脉高压(PAH)没有有效的治疗方法,其预后很差。在20世纪80年代,在开发新的治疗方案之前,据报道患者在诊断后的中位生存期为2.8年。然而,随着多种肺血管扩张剂的引入和广泛使用,肺动脉高压的预后有所改善。例如,来自美国的REVEAL registry报道,特发性PAH和家族性PAH的1、3、5、7年生存率分别为91%、74%、65%和59 %。此外,高剂量施用依前列醇显示出极高的治疗效果,在日本3年生存率为95.7%。.根据死亡率风险评估,肺动脉高压采用针对三种不同信号通路(内皮素、一氧化氮和前列环素)的联合疗法进行治疗。
前列腺素I2(前列环素),花生四烯酸在血管内皮中的主要产物,通过刺激环磷酸腺苷(c AMP)的产生诱导血管平滑肌的松弛,并抑制平滑肌细胞的生长。依前列醇(前列腺素I2类似物)用于世界卫生组织(世卫组织)分类为功能性III级或IV级的重度PAH患者,被列为高推荐水平用药。PAH的治疗经常伴随着各种副作用,有时很难控制这些副作用。依前列醇的常见副作用包括下颌疼痛、头痛、腹泻、潮红、腿痛和恶心。
依前列醇可导致甲状腺功能障碍,据报道,约3.0–6.7%的患者出现甲状腺机能亢进、格雷夫斯病或无痛性甲状腺炎。甲状腺激素可能直接影响肺部脉管系统,并可能增加肺动脉压。因此,在甲亢患者中,肺动脉高压的患病率很高。然而,治疗甲状腺机能亢进后,肺动脉压升高通常会归转为正常。其他重要的管理方法还包括甲状腺肿的治疗,因为巨大的甲状腺肿胀会压迫气道。虽然良性甲状腺疾病伴甲状腺肿导致严重的气道狭窄已有报道,但其发生频率极低。在这项研究中,报道了一例IPAH患者,他患有巨大甲状腺肿,在长期静脉注射依前列醇治疗过程中导致气道狭窄。
病例介绍
患者女性,34岁,1999年被诊断为原发性肺动脉高压,现在的特发性肺动脉高压(IPAH)当时被称为PPH。接受了右心导管插入术,平均肺动脉压为73mmHg。患者主诉休息时呼吸困难,符合世界卫生组织功能分级IV级。在被诊断为PPH后接受了持续静脉注射依前列醇的治疗。在21世纪初,依前列醇是日本唯一有效的治疗肺动脉高压的药物。当时,在目前的联合治疗投入临床之前,使用依前列醇延长寿命被认为是通向肺移植的桥梁,因此患者在36岁时登记了肺移植手术。
37岁时,患者开始抱怨颈部肿胀。甲状腺功能检查显示,促甲状腺激素(TSH)=0.01μIU/mL(正常范围:0.35-4.94μIU/mL),游离T3 = 19.88 pg/mL(正常范围:1.71-3.71 pg/mL),游离T4=4.86 pg/mL(正常范围:0.70-1.48 pg/mL),促甲状腺抗体= 465%(正常范围:0-180%),被诊断为Graves病并开了甲巯咪唑。患者依前列醇的使用剂量为15 ng/kg/min,平均肺动脉压约为60 mmHg。随后增加了依前列醇的用量,与内皮素受体拮抗剂和磷酸二酯酶5抑制剂联合使用以降低肺动脉压,这在当时可用于治疗肺动脉高压。
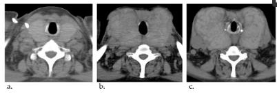
45岁时,依前列醇剂量增至32.5 ng/kg/min,但右心导管平均肺动脉压高至58 mmHg,控制不够。当时甲状腺肿大是轻微的(图1a)。因此医生进一步增加了依前列醇的剂量。经过16年的治疗,依前列醇维持在60-70 ng/kg/min,可以将其降至30 mmHg左右。虽然使用甲巯咪唑和左旋甲状腺素治疗Graves病控制了患者的甲状腺功能,但她的甲状腺肿大逐渐恶化(图1b)。54岁时,甲状腺检查显示TSH=3.33μIU/mL,游离T3=1.18 pg/mL,游离T4 = 3.06 pg/mL。然而,随着依前列醇的滴定,甲状腺肿进一步恶化(图1c)。
图一、甲状腺肿大的计算机断层成像过程。(a)45岁的时候。(b)52岁的时候。(c)54岁的时候。甲状腺逐渐增大
最终,甲状腺肿大到肉眼可见(图2)。尽管因肺动脉高压而出现劳力性气短,但没有阻塞性症状,如呼吸困难或甲状腺肿引起的疼痛。
图2、巨大的甲状腺肿
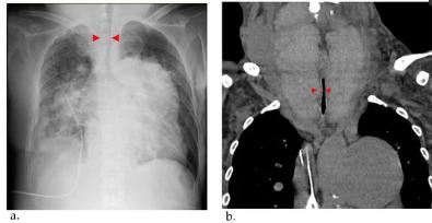
56岁时,患者因呼吸困难恶化被当地医院收治。然而,观察到心源性休克和呼吸衰竭伴高碳酸血症,第二天被转院。入院时,患者的生命体征为血压97/62 mmHg,脉搏117 bpm,通过面罩以10 L/min的速度吸氧,血氧饱和度88%。此时依前列醇的剂量为62.8 ng/kg/min。经检查,听诊发现心脏舒张期有肺动脉反流杂音,心脏第二心音的肺成分加重,肺部有粗裂音,颈部有喘鸣音。胸部x光显示双侧肺充血和气道狭窄(图3a)。胸部电脑断层扫描也显示她的巨大甲状腺肿导致气道狭窄(图3b)。

图3、(a)胸部X射线检测到肺充血、心影增大和气道狭窄(红色箭头)。(b)CT观察到甲状腺肿大。甲状腺肿引起的气管压迫和狭窄(红色箭头)
对10 L/min氧气的血气分析显示pH: 7.2,PaO2:63.7 mmHg,PaCO2:73.9 mmHg,HCO3−:28.4 mmol/L,表明患者存在呼吸衰竭伴高碳酸血症。甲状腺研究显示TSH = 2.265 μIU/mL,游离T3 = 1.52 pg/mL,游离T4 = 0.90 pg/mL。实验室数据显示B型钠尿肽(BNP) = 174 pg/mL(正常范围:0.0–18.4 pg/mL),血尿素氮(BUN) = 65 mg/mL(正常范围:8–20mg/mL),肌酐= 1.58 mg/dL(正常范围:0.46–0.79mg/mL),D-二聚体= 0.8 μg/mL(正常范围:0.0–1.0μg/mL),天冬氨酸转氨酶(AST)= 12u/mL经胸超声心动图显示中度三尖瓣反流和重度肺动脉反流,估计肺动脉收缩压高达65 mmHg,三尖瓣环平面收缩期偏移(TAPSE)降低15 mm,右心室面积变化分数(RV FAC)降低29%。由于呼吸衰竭与狭窄的气道,有必要进行紧急气管插管,但由于巨大的甲状腺肿,患者有严重的气道狭窄,气管插管十分困难,无创正压通气、多巴酚丁胺和去甲肾上腺素治疗达不到效果,最终患者在入院后第12天去世。
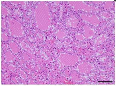
对其进行了病理解剖。甲状腺的大体检查结果包括弥漫性增大(重量675g,大小14cm× 6cm,正常重量20~30g,正常大小5cm× 2.5cm)和甲状腺对上气道的压迫性收缩(图4)。甲状腺的组织学发现显示甲状腺滤泡生长增加和胶质吸收增加,提示甲状腺机能亢进状态(图5)。
没有明显的恶性发现。关于其他大体发现,双侧主肺动脉扩张,肺重量增加(右1030 g,左1110 g,女性右肺正常重量200~500 g,左肺正常重量200~400 g)。右心室和心房也扩张了。观察到明显的右心肥大。这些发现提示慢性肺动脉高压。死亡原因被认为是由于持续静脉注射依前列醇治疗IPAH导致甲状腺肿大导致气道狭窄导致呼吸衰竭。
图4、甲状腺肿的大体检查结果
图5、甲状腺的组织学发现
结论
本病例为一例罕见的IPAH病例,在长期静脉注射依前列醇治疗过程中出现巨大甲状腺肿和气道狭窄。在这种情况下,依前列醇是使患者存活超过20年的基本药物。然而,高剂量和长期使用依前列醇会引起各种副作用,如甲状腺肿,并且通过该病例研究再次证实了副作用的对策对于提高患者的生活质量和预期寿命非常重要。
医博士编译自:Nishiura K, Nakazato K, Yokokawa T,et al. A Case of Giant Goiter Associated with Airway Stenosis Caused by Long-Term Intravenous Epoprostenol Therapy for Idiopathic Pulmonary Arterial Hypertension. Journal of Clinical Medicin. 2023; 12(19):6359. doi:10.3390/jcm12196359.
声明: 所有注明“来源:医博士”的文字、图片和音视频资料,版权均属于医博士所有,转载须注明“来源:医博士”;所有转载文章系出于传递更多信息之目的,且明确注明来源和作者,不希望被转载的媒体或个人可与我们联系,我们将立即进行删除处理。