来源:医博士 | 2023-11-24
腹股沟疼痛是运动员,尤其是足球运动员的一个常见且复杂的问题(年发病率为5-28%,占足球运动中所有损伤的12-16%)。由于腹股沟疼痛而导致的长时间缺席训练和比赛并不少见(超过50%导致缺席超过一周)。运动员中众多解剖结构中各种各样的可能损伤和无症状 “异常发现”的高发生率导致了该病的复杂性。与腹股沟疼痛相关的术语也是不同的,这也增加了定义各种临床实体的难度。因此,建议临床采用多学科方法确诊。
引起腹股沟疼痛的原因之一是髋部深层肌肉受损,包括短外侧旋转肌撕裂(梨状肌、闭孔外肌、上下孖肌、闭孔内肌和股方肌)。然而,孤立的创伤性闭孔外肌损伤很少被描述,在文献中只描述少数病例报告。到目前为止,根据描述这种损伤的病例报告可以怀疑这与足球、橄榄球和美式足球等踢球运动(长距离射门或传球后)有关联。
闭孔外肌起源于闭孔外骨缘,有一个圆柱形肌腱穿过股骨颈下并插入粗隆窝,距梨状窝远端25-38毫米,与其他外旋肌群轨迹完全不同。闭孔外肌的主要功能是在髋关节处于中立位和屈曲90度时向外旋转髋关节,而屈曲时髋内收并稳定髋关节的次要作用。
目前还没有明确的损伤机制,但有几种描述:骨盆位置不稳定与受累髋部负荷的增加或改变有关,用受累或未受影响的一侧踢球时肢体重复负荷,试图控制球的方向不稳定改变,髋前部或外侧在不稳定的位置滑动,重复踢球,以及在不稳定的位置踢球。用于区分闭孔肌外部损伤和其他潜在更常见损伤的肌肉骨骼体检也缺乏特异性,因此需要高度的临床怀疑指标。然而,大多数患者表现为髋关节前部疼痛。临床检查引起与髋关节屈曲和抵抗阻力的被动内旋或外旋相关的疼痛,有时提示关节内病变。
由于肌肉位置较深,超声波无法可靠地识别其损伤。因此,每当怀疑臀部深层肌肉受伤时,必须进行核磁共振成像以确定受伤的位置和程度。正确识别闭孔外肌损伤可使用保守治疗(物理治疗和非甾体类或止痛药物)而且恢复期也相对较短,可从10天到21天不等。
病例介绍
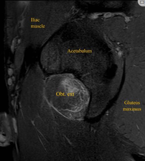
患者男性,32岁,职业足球运动员,在赛季训练期间出现急性左腹股沟疼痛和臀部疼痛,视觉模拟量表(VAS)评分为8/10,这是由髋关节的快速和负重内旋运动引起的,髋关节和膝关节弯曲约90度,在快速改变方向和切入进攻的过程中,功能立即丧失。患者否认腿部有任何麻木、虚弱或辐射性疼痛。体检时,没有瘀伤、瘀斑、水肿或肿胀。坐骨结节触诊有轻微疼痛和压痛。在内收肌、腘绳肌或髂腰肌的特定测试中未发现异常。膝关节和髋关节处于90°时髋关节主动外旋和被动内旋都会引起髋关节疼痛。这位运动员跛行。对左髋关节进行x线检查,以排除髋关节病变,包括股骨髋臼撞击。核磁共振成像显示左侧闭孔外肌的后腱膜下/肌腱膜撕裂,从耻骨起点延伸至外侧肌腱连接处,横断面测量为10 cm,前后径为3.5 cm,伴有股方肌和闭孔内肌间质水肿(图1-4)。

图1、左大腿冠状面 (STIR) MRI显示左闭孔外撕裂

图2、左大腿斜冠状面(STIR) MRI显示左闭孔外撕裂

图3、左大腿轴向(STIR) MRI显示左闭孔外撕裂

图4、左大腿 (STIR) MRI显示左闭孔外撕裂
患者遵循康复方案,各阶段之间的过渡标准严格符合临床。从相对休息、疼痛控制、电疗、磁疗和冷冻疗法的应用开始。在此之后,主要目标是恢复活动范围(ROM),并加强骨盆和髋关节稳定肌肉的锻炼(从等距肌开始,逐渐增加到渐进阻力,如耐受)也包括在内。在康复期间,患者进行核心训练、上半身和下半身强化训练以及心血管调理。最后,他开始了一段重新运动的时期,进行专门的足球训练,直到他准备好接受RTP。他在受伤23天后重返职业赛场。受伤一年后,没有再次受伤,运动员完全满意,绝对没有影响他的身体表现。
讨论
闭孔外撕裂是非常罕见的,在文献中很少描述,这使得这个案例非常有趣,但也是一个很大的讨论挑战。关于临床、影像学、最佳治疗和预后存在争议。
事实上,最常描述的腹股沟疼痛原因是内收肌痛、髂腰肌痛和腹股沟相关的腹股沟疼痛。然而,外旋肌的损伤也是腹股沟疼痛的原因之一,因此应予以考虑。现有文献描述的几种损伤机制,没有一种非常具体,最常见的描述涉及运动员进行的运动:速度和负荷的快速和不稳定变化,与屈曲和内旋有关。尽管描述了各种机制,但认为这些损伤是由于在涉及作用于髋部的合力的高要求活动中试图稳定髋部而发生的。
在大多数情况下,闭孔外损伤的运动员表现为臀部前部区域疼痛,很少表现为臀部疼痛,这可能是由许多其他病理引起的,其中大多数比闭孔外损伤更常见。事实上,由于疼痛的位置,这种损伤经常被误诊为髋关节内收肌损伤,这可能与闭孔神经对这些肌肉的共同神经支配有关。据现有研究认为,最具提示性的临床症状是急性或亚急性的髋关节前部疼痛,由高要求运动中的不稳定情况引发,与髋关节被动旋转或髋关节90°屈曲时的阻力相关。另一个重要特征是触诊不会引起疼痛,因为外部闭孔肌的位置很深。尽管有这些特征,临床诊断仍然是一个挑战,超声通常没有足够的深度分辨率来进行正确的诊断。因此,MRI是金标准,可以评估病变的位置和严重程度。临床表现和身体检查非常不具体,因此诊断基本上是排除最常见原因的诊断。它需要临床强烈的怀疑以及核磁共振成像诊断,就像本案例中的运动员一样。
对本病的康复协议之间没有共识。康复计划通常持续两到三周,根据耐受性,从相对休息和控制疼痛开始,逐步恢复ROM和肌肉强化,从等长到动态。随后,特定于该设备的训练开始,直到运动员准备好进行RTP。核心力量和有氧训练在整个过程中也很重要。
结论
闭孔外肌撕裂是一种罕见的损伤,可能是足球运动员腹股沟疼痛的原因。使用MRI对外部闭孔撕裂的高度怀疑和正确诊断允许有针对性的保守治疗和较短的恢复时间。这种损伤的治疗是保守的,所以可以认为闭孔外撕裂是一种良性病变。然而,它有可能与长期缺席训练和比赛有关。
医博士编译自:Silva R, Pereira A, Rodrigues-Gomes S, et al. An Unlikely Cause of Groin Pain: Obturator Externus Tear in a Professional Soccer Player. Cureus. 2023; 15(9):e44612. doi:10.7759/cureus.44612.
声明: 所有注明“来源:医博士”的文字、图片和音视频资料,版权均属于医博士所有,转载须注明“来源:医博士”;所有转载文章系出于传递更多信息之目的,且明确注明来源和作者,不希望被转载的媒体或个人可与我们联系,我们将立即进行删除处理。