来源:医博士 | 2023-11-29
炎性肌纤维母细胞瘤(IMT)是一种罕见的间叶性梭形细胞肿瘤,通常为良性。根据解剖部位的不同,局部复发率不同。IMT最常见于肺部、腹盆腔和腹膜后。泌尿生殖系统的受累并不常见。据报道,膀胱是泌尿生殖道内最常见的起源部位,但膀胱外侵犯周围结构的情况很少见。目前没有任何报告记录膀胱原发性IMT侵犯宫颈和卵巢的病例。本文报告了一例50岁女性膀胱IMT,同时累及宫颈和卵巢的病例。
病例介绍
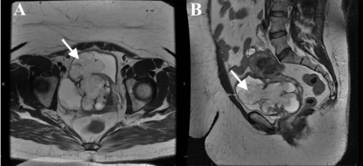
一名50岁女性,有血尿、腹痛、尿潴留和复发性尿路感染病史,超声检查发现右侧附件肿物占位。对骨盆进行了体格检查,发现右侧附件充盈。CEA、CA 19-9和CA-125指标在正常范围内。腹部及骨盆CT显示10.4×10.3×6.8cm的囊性肿物,波及膀胱、宫颈前部,可能还有右侧卵巢。膀胱镜检查显示,一个高度血管性的结节性肿物从膀胱后壁膨出,未累及输尿管口。术前MRI证实了CT检查结果(图1)

图1 (A) 横断位和(B)矢状位T2加权MRI图像显示膀胱的炎性肌纤维母细胞瘤(实心白色箭头)
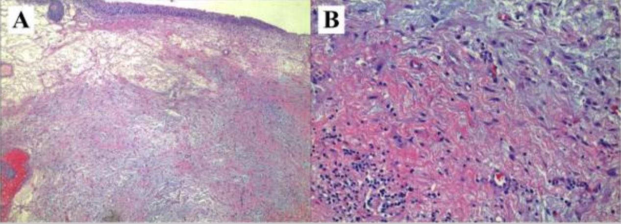
采用经尿道膀胱肿瘤切除术(TURBT)进行组织取样。从大体外观看肿瘤呈棕褐色,软组织有多个不定向、易碎的部分,没有离散的杂色或变色区域。组织学检查显示水肿的梭形细胞间质改变和溃疡与显著的血管增殖有关(图2)。

图2 (A) 低倍苏木精-伊红染色(H&E,x4)见固有层内炎性肌纤维母细胞瘤,上覆良性尿路上皮。(B) 高倍苏木精和伊红染色(H&E,x20)见肌纤维母细胞和炎症浸润
免疫组织化学分析提示ALK基因重排呈阳性。这些发现支持了炎性肌纤维母细胞瘤的诊断。术前进行IR栓塞,目的是在切除时减小肿瘤并提高器 官保存率。不幸的是,栓塞后肿物的大小并没有明显减小。进行了机器人辅助腹腔镜膀胱部分切除术、右盆腔淋巴结清扫术、全腹子宫切除术和双侧输卵管卵巢切除术(TAH-BSO),切缘为阴性。未发现术中和术后并发症。术后随访一年,复查膀胱镜检查和MRI成像无复发。
炎性肌纤维母细胞瘤可能发生于身体的任何地方,尤其是内脏器官和体细胞软组织结构。2IMT通常起源于肺部,而不太常见于腹膜后和腹盆腔。膀胱炎性肌纤维母细胞瘤(IMTUB)较为少见,多见于儿童与青少年。虽然报道过膀胱邻近结构(包括前列腺和精囊)的局部受累,但无宫颈和卵巢的膀胱外浸润的记录。
小结
考虑到IMTUB通常是良性的,对周围组织的侵犯小,手术切除是首选的治疗方法。最常见的手术方法包括TURBT(60.8%),其次是部分(29.2%)和根治性膀胱切除术(9.2%)。治疗的预后通常很好,复发率为4%。大多数患者在随后的监测中没有复发。
医博士编译自:Neuenschwander L, Britt G, Young A, et al. A rare case of inflammatory myofibroblastic tumor of the bladder with local invasion of the cervix and right ovary. Urology Case Reports. 2023; 51:102576.doi:10.1016/j.eucr.2023.102576.
声明: 所有注明“来源:医博士”的文字、图片和音视频资料,版权均属于医博士所有,转载须注明“来源:医博士”;所有转载文章系出于传递更多信息之目的,且明确注明来源和作者,不希望被转载的媒体或个人可与我们联系,我们将立即进行删除处理。