来源:医博士 | 2023-11-29
继发性甲状旁腺功能亢进症(SHPT)几乎是终末期肾病(ESRD)的普遍现象。SHPT最初是一种生理适应,但随着进行性ESRD而变为病理性,除了其他表现外,还会导致高钙血症、骨营养不良和心血管疾病。SHPT最初可通过药物治疗,但当药物治疗无效时,通常需要进行甲状旁腺切除术进行最终治疗。切除所有增生的甲状旁腺对甲状旁腺切除术至关重要,因为ESRD会持续刺激残留的甲状旁腺组织,导致复发或持续的SHPT,这种情况发生率为2.0-9.2%。在大多数情况下,复发或持续性SHPT是由异位多发腺体、残存的甲状旁腺组织或腺体组织的增生引起,很少见于甲状旁腺腺瘤或甲状旁腺癌。
甲状旁腺癌是一种罕见的疾病,通常由原发性甲状旁腺功能亢进引起,很少由SHPT引起的长期慢性刺激引起。甲状旁腺腺瘤也很罕见,主要是因为甲状旁腺手术中甲状旁腺组织的溢出和植入。术前临床诊断、甲状旁腺癌和甲状旁腺腺瘤的组织病理学鉴别诊断以及后续治疗具有挑战性。本文报告了一例罕见的甲状旁腺切除术后SHPT复发病例,病因是一名血液透析患者同时患有甲状旁腺癌和甲状旁腺腺瘤。
病例介绍
一名46岁的中国女性患有继发于慢性肾小球肾炎的终末期肾病,自2013年5月起接受定期血液透析治疗。在当地医院的随访中,患者出现血清总钙水平正常、高磷血症和甲状旁腺激素(PTH)升高。2015年8月被诊断为继发性甲状旁腺功能亢进。推荐使用维生素D类似物(骨化三醇和碳酸钙)和碳酸镧,但治疗无效。
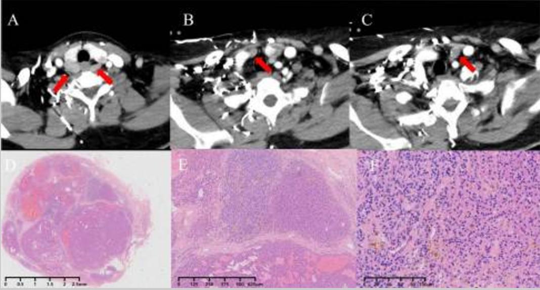
2017年10月,患者因全身瘙痒一年转诊。血液检测结果如下:血清PTH 1672 pg/mL(正常10-65);血清磷酸盐2.03 mmol/L(正常0.87-1.45);血清钙2.68 mmol/L(正常2.03–2.54);血清碱性磷酸酶112 U/L(正常40-150)。颈部增强计算机断层扫描显示四个增强结节与原位甲状旁腺一致(图1)。

图1 增强CT扫描(A-C)显示四个轻度增强的原位甲状旁腺结节(箭头),位于甲状腺后部和下方。组织病理学((HE染色):A放大×40,B放大×100,C放大×200)显示由主要细胞组成的结节性增生
超声检查显示甲状腺后部有四个低回声结节,甲状腺回声正常。没有证据表明存在异位甲状旁腺。进行了甲状旁腺切除术,右前臂自体移植(来自右下甲状旁腺),外科医生称完整切除四个增生的甲状旁腺,没有任何溢出。最终病理报告显示甲状旁腺结节性增生,无恶性证据(图1)。术后第一天,测试显示PTH为74.4 pg/mL,血清钙为2.11 mmol/L,血清磷酸盐为1.71 mmol/L,瘙痒逐渐缓解。
术后15个月,患者复查显示血清钙和甲状旁腺激素水平分别为2.54 mmol/L和154 pg/mL。在此期间,患者无瘙痒和骨痛。然而在手术五年后,出现背痛,PTH和钙水平逐渐升高。
入院时,PTH、血清钙和磷酸盐分别为3356 pg/mL、3.22 mmol/L和1.39 mmol/L。99mTc-MIBI SPECT/CT显示左侧甲状腺下极积聚,与增强CT和超声检查结果一致(图2)。右颈前部皮下有一个示踪剂积聚的结节,与CT结果一致(图3)。
图2 99mTc-MIBI SPECT/CT扫描显示聚焦示踪剂积聚,位于左甲状腺下方的低密度结节(红色箭头:a SPECT、B轴位图像、C冠状SPECT/CT融合图像、D冠状SPECT图像)。对比增强CT扫描显示位于左甲状腺下方的中度增强的甲状旁腺结节(红色箭头)的动脉期(D)和延迟期(E)轴未图像。甲状腺左下叶有一个边缘不规则、钙质成分的低回声结节的超声图像(G)

图3 99mTc-MIBI SPECT/CT扫描还显示轻度病灶示踪剂积聚,位于右侧颈部前部皮下低密度结节(红色箭头:a SPECT、B轴位图像、C轴位SPECT/CT融合图像、D冠状位SPECT图像)。对比增强CT扫描显示位于颈前部皮下的轻度增强结节(红色箭头)的动脉期(D)和延迟期(E)轴位图像
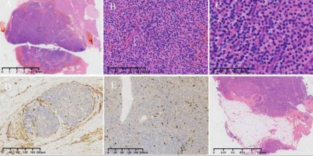
2022年12月进行颈部探查,切除右皮下结节(1.0 × 1.0厘米)和左甲状腺下结节(2.5 × 2.5cm),结节均具有不规则边缘和钙质成分。术后第一天,检查显示PTH为63.5 pg/mL,血清钙为1.91 mmol/L,血清磷酸盐为1.30 mmol/L,背痛逐渐缓解。病理学分析表明,左下结节主要细胞密集生长,核多形性,有丝分裂计数增加,结节上有纤维包膜。ERG染色显示某些区域有静脉浸润,Ki-67增殖指数超过5%,提示甲状旁腺癌(图4)。右皮下结节主要细胞呈结节状增生(图4)。

图4 组织病理学图像显示左甲状腺左下段甲状旁腺癌,主要细胞密集生长,结节上有纤维包膜(HE染色,放大倍数×10)。HE染色显示主要细胞实体生长,具有核多形性和有丝分裂计数增加(B放大倍数×200,C放大倍数×400)。ERG免疫组化染色(D放大×100)显示血管浸润的证据。Ki-67在甲状旁腺癌中的增殖指数超过5%(E放大×100)。右颈部皮下结节的组织病理学表现为结节内散在的良性增生甲状旁腺组织(F HE,放大×20)
根据临床表现和病理证实为甲状旁腺腺瘤和甲状旁腺癌。8个月的随访中,背痛有所改善。在定期血液透析下,PTH和钙水平分别在190至320 pg/mL和2.23至2.48 mmol/L之间波动。
小结
血液透析患者并发甲状旁腺癌和甲状旁腺腺瘤是SHPH复发的非常罕见病因。细致处理甲状旁腺以避免手术中破裂和溢出,以及通过多种成像方式精确定位术前位置,对于甲状旁腺切除术的成功至关重要。
医博士编译自: Yang J, Lu X, Zhou P, et al. Recurrence hyperparathyroidism caused by synchronous parathyroid carcinoma and parathyromatosis in a patient with long-term hemodialysis. BMC Nephrology. 2023; 24(1):293. doi:10.1186/s12882-023-03328-6.
声明: 所有注明“来源:医博士”的文字、图片和音视频资料,版权均属于医博士所有,转载须注明“来源:医博士”;所有转载文章系出于传递更多信息之目的,且明确注明来源和作者,不希望被转载的媒体或个人可与我们联系,我们将立即进行删除处理。