来源:医博士 | 2023-12-28
马蹄肾(HK)是最常见的肾脏异常,其发病率为0.1%-0.25%,经常出现在染色体非整倍体的男性中。尽管大多数HK患者没有症状,但由于HK的解剖变异,肾盂输尿管连接处(UPJ)被结石梗阻通常会发生,导致肾积水。肾类癌在HK患者中很少报道。然而,HK发展为肾母细胞瘤的风险增加。HK患者的肾脏感染、梗阻和结石可能导致肾盂肿瘤。目前,包括肾部分切除在内的手术是肾肿瘤的标准治疗方法,但由于其复杂的解剖结构和异常的血管形成,对HK肿瘤是一项挑战。本文描述了一例罕见的HK晚期右肾细胞癌(RCC),同时伴有左输尿管近端结石。
病例介绍
一名41岁的男性因尿液浑浊入院,否认疼痛。既往病史包括偏头痛、双相情感障碍和高脂血症。在检查中患者神清,生命体征正常。初步血液检查显示血液尿素氮(BUN)44 mg/dL、血清肌酐(SCr)1.35 mg/dL。尿液分析显示,尿液呈黄色半透明,有微量血液、0-2个WBC、6-8个RBC和少量草酸钙晶体。尿液培养呈阴性。
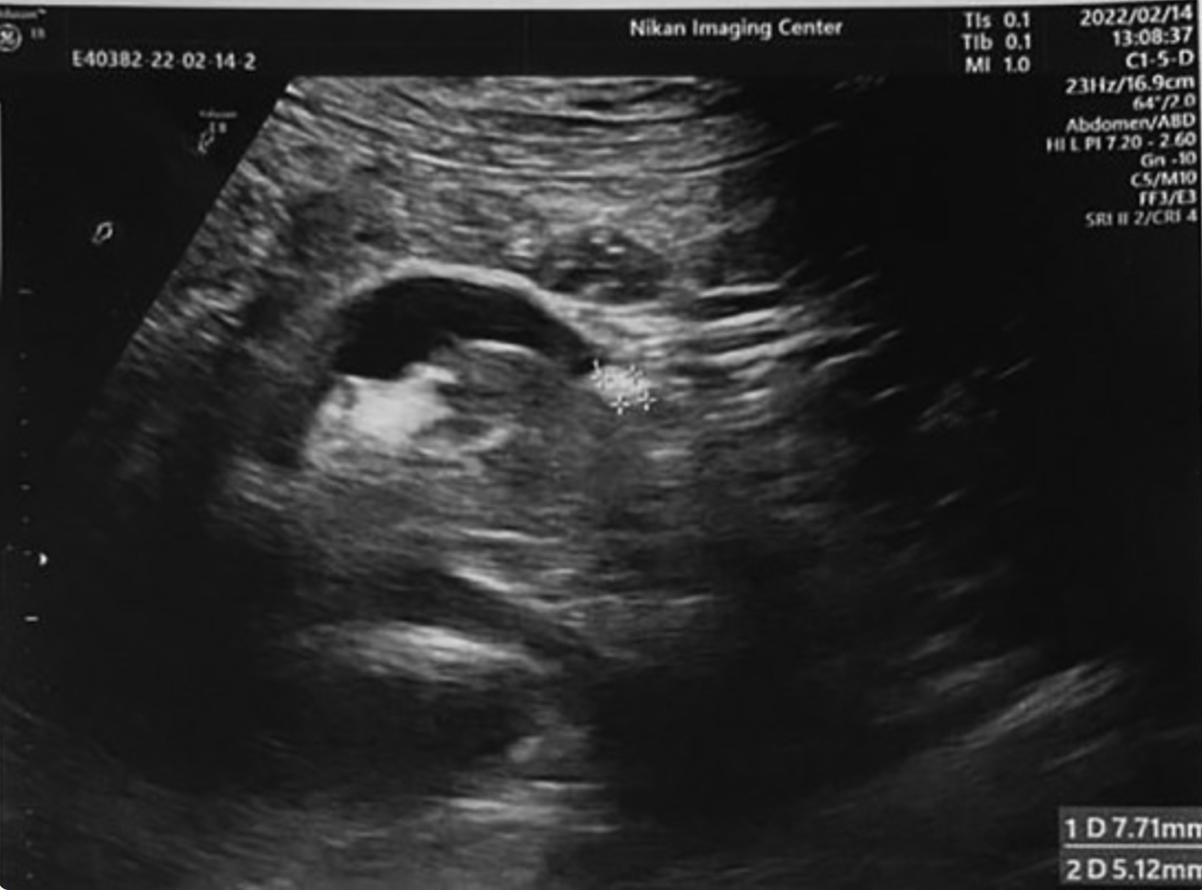
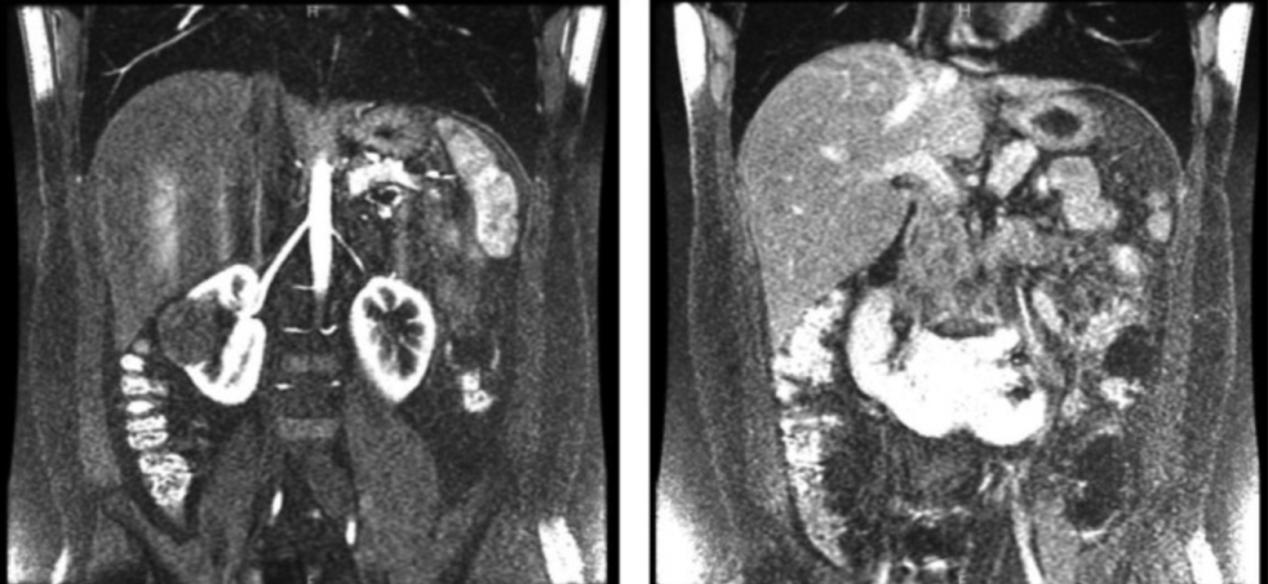
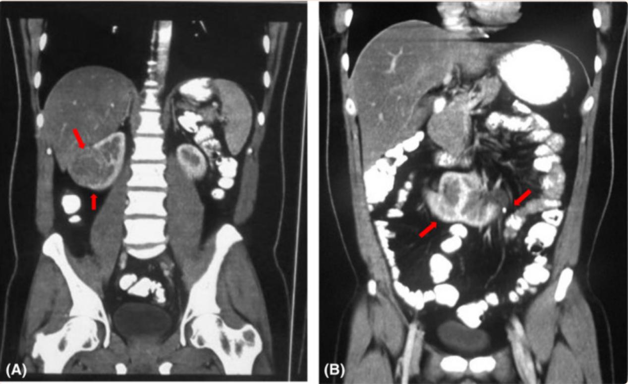
肾脏超声检查结果显示一个清晰的圆形异回声固体肿物(52 × 51 mm),在右肾中极向肾外延伸 (103mm),压迫肾窦。左肾旋转不良,位于正常解剖部位的尾部(图1)。随后,腹部和骨盆螺旋计算机断层扫描(CT)和腹部磁共振成像(MRI)显示 右肾中极50× 53 × 48 mm肿物,影响邻近右肝叶的肾盂输尿管系统,提示肾细胞癌(RCC),以及左输尿管近端一4mm结石,距离HK左侧肾盂输尿管连接处21mm(图2和3)。肾结石类型为草酸钙。在此之前,患者没有意识到自己的肾脏异常,也没有观察到任何泌尿系统相关症状。
图1 肾脏超声检查;左输尿管近端结石引起的左肾旋转不良伴盆腔充盈
图2 磁共振成像显示右中极马蹄肾及肿物,邻近右肝叶
图3 腹部和骨盆螺旋CT扫描(A) 右肾中极50× 53 × 48 mm肿物,影响邻近右肝叶的肾盂输尿管系统(B) 左输尿管近端一4mm结石,距离HK左侧肾盂输尿管连接处21mm
基于这些发现,选择行右肾肿瘤保留器官开放手术合并左输尿管切开取石术。先进行肾血管造影,显示右肾有两条动脉。通过腹部中线切口开始手术,随后分离升结肠和回肠系膜,完全暴露HK。可见右肾下极被一肿物占位,由于肿瘤体积大,钳夹右肾三动脉制备肾缺血模型。完全切除肿瘤后,缝合可见血管和集合系统(分别为8字和连续缝合)。松夹后,评估肾缺损是否出血,并进行选择性单层肾缝合。缺血时间为11 min。幸运的是,大部分右侧肾大块组织得以成功保存。然后探查左上输尿管,发现结石后进行输尿管切开取石术。插入双J型输尿管支架并缝合输尿管。
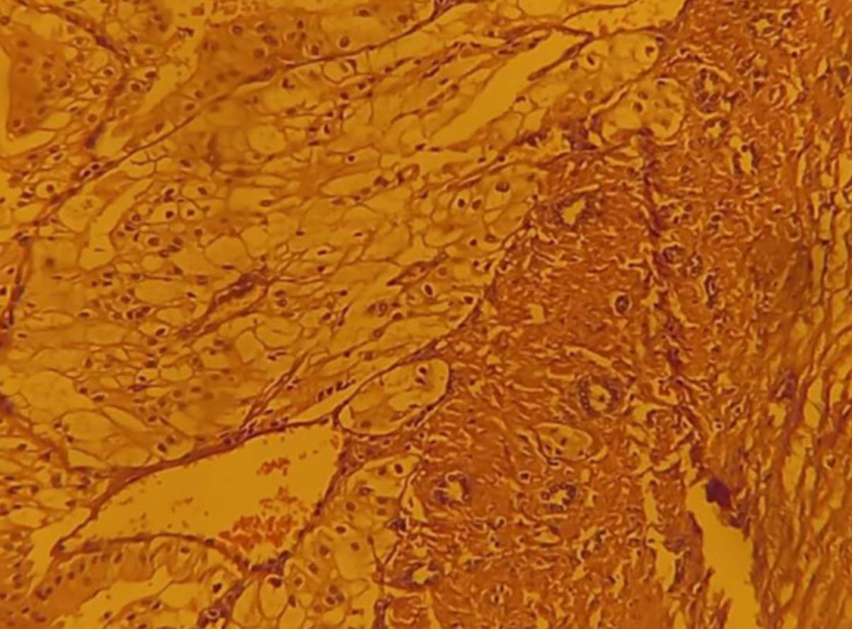
肿瘤的病理检查(图4)证实2级RCC,具有透明细胞亚型,直径6.0cm,并粘附0.5 cm周围组织。手术持续215 分钟,估计失血量为200 mL。患者7天后出院。在16个月的随访期间,患者报告没有泌尿系统症状。手术后的一系列影像学检查未见肿瘤的转移或生长。他的SCr水平稳定在2 mg/dL上下。

图4 显微镜检查,Van Gieson染色,显示具有透明细胞亚型的2级肾细胞癌
小结
HK是最常见的肾融合异常之一,占普通人群肾脏发育障碍的0.15%-0.25%。几乎30%的HK患者没有症状,是在治疗其他疾病时通过体检意外发现。在这些异常的患者中,近12%的患者发现了HK肿瘤,其中最常见的是肾细胞癌。先前的研究报告表示,侧腹疼痛、血尿和腹部肿块是肾肿瘤患者最常见的症状。尽管HK的解剖和血管异常可能具有挑战性,但在可行的可切除肿瘤中,应考虑保留器官的手术治疗。完善的术前影像学评估可以明确HK特征,制定准确的手术计划,减少并发症的发生。
医博士编译自:Khayyamfar F, Dalil D & Khayyamfar A. Partial nephrectomy of a horseshoe kidney associated with renal cell carcinoma and ureteral stone: A clinical case report. Clinical Case Reports. 2023; 11(11):e8116. doi:10.1002/ccr3.8116
声明: 所有注明“来源:医博士”的文字、图片和音视频资料,版权均属于医博士所有,转载须注明“来源:医博士”;所有转载文章系出于传递更多信息之目的,且明确注明来源和作者,不希望被转载的媒体或个人可与我们联系,我们将立即进行删除处理。