继发于链球菌的脓胸表现

来源:医博士  | 2024-01-12    


星形链球菌是一种机会性病原体,以前被认为是一种共生生物,属于血管链球菌群,是一种草绿色链球菌。本种是口腔、泌尿生殖道和肠道的一部分正常菌群;然而,直到最近,人们才知道它们在化脓性感染中起着重要作用。在这个病例报告中,报告了一个非免疫抑制的患者,由于星形球菌而导致胸膜脓胸。

 

病例介绍

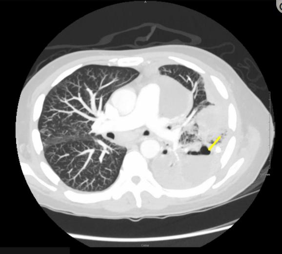
患者男性,60岁,既往有胰腺炎、酒精使用障碍、高血压、痛风和甲状腺功能减退症病史,因上腹部疼痛并向背部放射而被送往急诊科。患者还报告了就诊上周最低限度的口服摄入、带有绿色痰的咳嗽以及大量饮酒史(一次/天)。到达急诊室时,心动过速至每分钟130次,低血压至98/60 mmHg,低氧血症伴呼吸功增加,血氧饱和度为90%。胸部计算机断层扫描(CT)显示左肺下叶(LLL)几乎完全实变,左后心尖部胸腔积液(图1)。入院时,血清肌酐水平升高至4.77mg/dL,乳酸水平升高至4.4mmol/L。开始接受经验性的头孢吡肟、阿奇霉素和甲硝唑治疗,并住进重症监护室接受进一步治疗。

图1、胸部计算机断层扫描显示左肺下叶几乎完全实变,左后心尖部胸腔积液

 

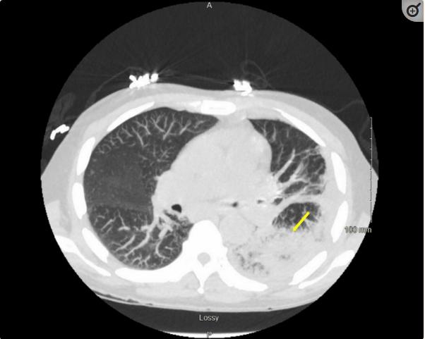
该患者最初的胸部CT检查与LLL肺炎有关,很可能是由于恶心和长期饮酒引起的误吸入。嘱进行感染性检查,并转为静脉注射哌拉西林/他唑巴坦(左辛)和应激剂量类固醇。入院两天后,患者对左侧局限性积液进行了诊断性胸腔穿刺,并清除了700cc化脓性液体。液体培养显示4+星形链球菌。细胞学检查恶性细胞阴性,但显示大量炎性细胞,这与脓胸一致。痰培养培养出正常的口腔菌群。胸部CT复查显示LLL广泛浑浊,有空洞区域,提示坏死性感染(图2)。

图2、胸部CT显示左下叶空洞性病变的浑浊和坏死

 

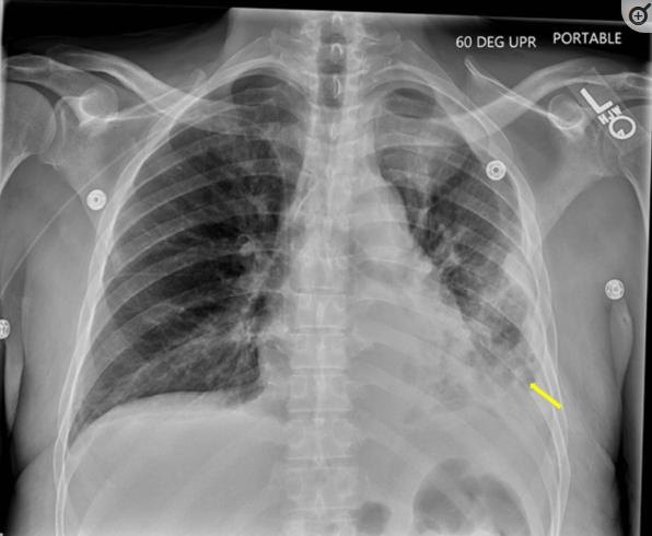
两天后进行胸管放置。患者接受了两剂组织纤溶酶原激活物(tPA)和丹纳酸酶阿尔法,一天后,当胸腔液分析显示血细胞比容为23%时,引起对血胸的关注,因此停药。使用左旋唑啉7天后仍有白细胞增多,因此改用头孢唑林。入院后8天的复查发现左腔病变恶化,未被胸管完全排空。也有进行性双侧肺实变,涉及坏死性肺炎。感染性疾病使患者转用静脉注射头孢吡肟和鞭毛灵的两周疗程。咨询了心胸外科和介入放射学,并决定在入院后13天使用tPA进行第二次左心尖胸导管放置。两个胸管在四天后被移除;两者的排出量都很低。胸部x光显示有稳定的积液,患者随后在三天后出院(图​(图3)。

图3、入院时胸部x光显示稳定的左侧胸腔积液相对没有变化

 

患者随后由其初级保健医生和呼吸科专家密切监测,注意到空洞性肺炎和脓胸的稳定正常恢复。

 

结论

在本病例中,星座链球菌在非免疫抑制患者的胸膜脓肿中发挥了侵袭性作用,显示出血管性链球菌群感染的上升。了解有并发症的老年男性患者感染这些细菌的可能性更大,及时识别细菌并快速排脓/使用抗生素可以使患者对这种感染有更好的治疗效果。

 

医博士编译自:Li A, Razzak AN, Patel MR, et al. Empyema Presentation Secondary to Streptococcus constellatus. Cureus. 2023; 15(8):e43468. doi:10.7759/cureus.43468.

https://pubmed.ncbi.nlm.nih.gov/37711946/


声明: 所有注明“来源:医博士”的文字、图片和音视频资料,版权均属于医博士所有,转载须注明“来源:医博士”;所有转载文章系出于传递更多信息之目的,且明确注明来源和作者,不希望被转载的媒体或个人可与我们联系,我们将立即进行删除处理。