来源:医博士 | 2024-01-31
内脏动脉动脉瘤(VAA)和假性动脉瘤是影响腹腔干、肠系膜上、下动脉及其分支的罕见病变,不包括腹主动脉与髂主动脉轴的连接。VAA见于0.01-0.2%的患者。胃十二指肠动脉瘤(GAA)占全部VAA的1.5%。GAA位于胃十二指肠动脉(GDA),介于肝总动脉和右胃网膜动脉之间,破裂的风险为25%,发生胃肠道出血,死亡风险为70%。
VAA通常与动脉粥样硬化、纤维发育不良、胰腺炎或血流动力学改变如门静脉高压症相关,而假性动脉瘤多与感染、炎症、创伤或医源性病变相关。通常情况下,VAA无症状或无特异性临床表现。与大多数VAA相反,GAAs往往是有症状的。症状与急性或慢性疾病相关:急性病例可表现为腹痛、呕血、出血,最终继发于胃肠道破裂和出血的失血性休克。慢性病例大多与慢性失血引起的贫血有关。
病例介绍
患者女性,82岁,因腹痛和呕血来到急诊科就诊。患者生命体征正常,体格检查腹部至上腹部疼痛,未见腹胀,直肠指检未见客观改变。8小时前开始吐血。患者身体质量指数(BMI)为28,病史包括动脉高血压和因“原位”乳腺癌而行右乳四象限切除术。实验室检查血红蛋白8.50 g/dl(医院正常值:12.00)。
急诊上消化道内镜检查(GE)。GE显示胃内有血凝块,十二指肠管腔粘膜下突出病变,呈中央糜烂和可见血管,诊断为疑似胃肠道间质瘤(GIST)(图1)。

图1、GE示十二指肠管腔粘膜下突出病变,呈中央糜烂及可见血管,怀疑胃肠道间质瘤
将金属夹夹在出血血管上,并用肾上腺素粘膜下注射治疗病变。未进行活检以避免潜在的进一步出血来源。
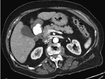
GE后,行静脉造影剂计算机断层扫描(CT)(图2)。CT扫描显示位于胃窦和幽门之间的外生和顶内肿块,在动脉期有明显的造影剂外渗。腹腔内未发现自由空气或腹腔积液的证据。诊断为大GAA。

图2、患者腹部CT,显示对比物明显外渗
考虑到患者血流动力学的稳定性,尝试血管内治疗。急诊选择性动脉造影腹腔三脚架和超选择性动脉造影肝动脉和胃十二指肠动脉。使用2.9 Fr微导管超选择性置管传入和传出血管,并使用两个5mm×15 mm控释线圈栓塞传出血管。分别用7×29 mm、5×24 mm和4×29 mm线圈栓塞进血管。栓塞后,假性动脉瘤的供应缺失和栓塞道血管的关闭被证实。
发现肝总动脉线圈部分移位。然而,肝总动脉造影显示通畅,可见小的混浊缺损(图3)。

图3、紧急选择性动脉造影
术后患者又出现两次呕血,生命体征保留,血红蛋白高于10 g/dl。手术后第一天,注射造影剂的CT扫描显示假性动脉瘤几乎完全消失。衣领处有一个约1厘米的小血管化斑点(图4)。患者保持稳定,没有新的呕吐发作,并通过CT扫描进行监测。
图4、CT扫描显示假性动脉瘤几乎完全消失,残留约1厘米的小血管化斑点
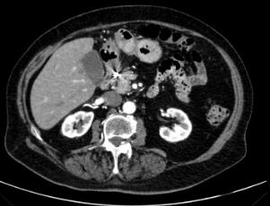
患者于术后第5天出院,出院后21天进行CT扫描,依诺肝素4000 IU/天治疗10天。随访时患者无症状,血液检查正常,血红蛋白稳定。CT扫描显示胃十二指肠动脉假性动脉瘤完全血栓形成,颈圈处未见残留补充征象(图5)。动脉瘤囊大小稳定。未发现肝脏或其他器官病变。没有安排进一步的后续行动。
图5、CT扫描显示胃十二指肠动脉假性动脉瘤完全闭塞,没有残留的补充迹象
讨论
VAA主要位于脾动脉(40 - 60%)和肝动脉(10 - 30%),胃十二指肠动脉动脉瘤的发生率为0.01-1%。大多数VAA是通过CT扫描等影像学检查偶然发现的,因此,VAAs的真实发病率可能高于文献报道。
VAA症状主要与邻近器官的压力增加有关,这会引起腹痛、呕吐或胆汁淤积。GAA往往是有症状的。VAA破裂的死亡率高于76%,其症状包括急性腹痛、呕血、血红蛋白立即降低和血流动力学休克。也有文献记载,与假动脉瘤或假性动脉瘤相比,真动脉瘤的症状更少,破裂风险更小。
真正的动脉瘤发病机制与动脉粥样硬化、纤维发育不良、血流动力学模式改变(如门静脉高压或腹腔干狭窄)有关。假性动脉瘤与感染、炎症、创伤或医源性病变有关。酗酒、胆管炎或胰腺炎也可能与假性动脉瘤有关。
VAA的诊断通常通过CT扫描和血管造影进行,由于CT扫描可以正确地确定病变的解剖结构,因此在所有VAA病例中都使用CT扫描和血管造影。经皮血管造影也具有高敏感性和在同一干预期间治疗患者的可能性。MRI,脉冲多普勒或彩色多普勒和三维CT也可以进行。对于消化道出血,也可以进行内窥镜检查。在本病例中,内镜检查被误认为是十二指肠肿块疑似肿瘤病变(GIST)。
在急诊病例中,应稳定患者的生命体征,并通过CT血管造影做出正确诊断。VAA和GAA的治疗选择是血管内治疗和开放手术修复。血管内治疗的成功率为89% - 98%[7],是一种侵入性较小的治疗方法,可用于手术风险较高的患者或动脉瘤位于手术难以接近的位置,所有患者的围手术期和术后风险均较低。
血管内治疗通常被认为是VAA的首选治疗方法,尽管在文献中没有随机研究表明这种治疗方法更有效。Rebelo等人在一项回顾性单中心分析中发现,相比于在择期和急诊手术中接受开放手术治疗的患者,接受血管内治疗的VAA患者没有死亡率,住院时间更短。
结论
本病例为大出血GAA的急诊诊断和治疗提供了一个很好的例子。医生通过血管内栓塞成功地处理了这个病例。
医博士编译自:Yusef M & Barone SC. Large and bleeding gastroduodenal artery aneurysm: Challenging diagnosis and treatment. A case report. International Journal of Surgery Case Reports. 2023; 114:109105. doi:10.1016/j.ijscr.2023.109105.
声明: 所有注明“来源:医博士”的文字、图片和音视频资料,版权均属于医博士所有,转载须注明“来源:医博士”;所有转载文章系出于传递更多信息之目的,且明确注明来源和作者,不希望被转载的媒体或个人可与我们联系,我们将立即进行删除处理。