张力性尿胸是心脏骤停的可逆原因

来源:医博士  | 2024-02-04    


尿胸(尿液胸),是尿液在胸膜间隙的积聚,是一种罕见疾病。造成这种情况的原因有多种,其中创伤是最常见的,还有肾外科手术(经皮肾镜取石术,PCNL)、腹膜后炎症、尿路梗阻和恶性肿瘤。大量尿胸或胸腔积液可导致胸腔张力加大、纵隔移位和心脏骤停。下面描述一例张力性尿胸导致心脏骤停并在急诊科成功复苏的病例。

 

病例介绍

患者男性,42岁,高血压病史,急诊接诊,临床表现为急性呼吸窘迫,在过去2小时内逐渐恶化,并伴有出汗。到达时,患者的生命体征如下:血压无法记录,脉搏率68次/分钟,呼吸率30次/分钟,室内空气中氧饱和度60%,血糖189 mg/dL,体温36.8°c。患者在右腰椎区原位放置了一根细尾导管。

 

首诊后患者心脏骤停。当团队从家庭和主治医生那里了解病史时,开始了心肺复苏(CPR)。医护人员提供了一天前的出院记录。值得注意的是,患者在就诊前一周因梗阻性结石接受了右侧PCNL检查。在同一次住院期间,患者患有右侧胸腔积液,已经引流。

 

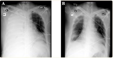
怀疑患者可能有胸腔积液复发,导致缺氧性停搏。在暂停胸部按压和插管期间,迅速进行胸部X光检查。令人惊讶的是,X线片提示右侧半胸完全混浊,并伴有肺塌陷(图1A)。因此怀疑这是张力性胸水导致的填塞效应。继续进行心肺复苏术,同时在右侧第5肋间隙行导管开胸术。

图1、病人的X光片。a:预插管胸腔造口术(患者仍处于心脏骤停状态);b组:胸腔造口术后引流尿液(ROSC实现)

 

放置28F肋间引流管,最初排出近4升液体,立即实现了自然循环(ROSC)的恢复。ROSC之后,X射线显示肺扩张和液体的部分清除,没有中线移位的证据(图1B)。排出的稻草色液体有一股可疑的刺鼻氨味。因此,考虑到可能是尿胸,发送了胸膜液进行肌酐检测。

 

ROSC后,患者的生命体征如下:血压90/72 mmHg (1 mmHg=0.133 kPa),心率109次/分钟,呼吸频率22次/分钟,呼吸机支持下氧饱和度100%,体温35.8℃,血糖195 mg/dL。ROSC后目标温度管理也已启动。血清肌钙蛋白0.05 ng/mL,国际标准化比值(INR) 1.18,血清肌酐7.13 mg/dL,血清尿酸11.3 mg/dL, HCO3- 10.53 mmol/L,血清尿素150.7 mg/dL。动脉血气测量值:pH 7.128, pCO2 40 mmHg, pO2 56.6 mmHg, Na+ 124 mmol/L, K+ 5.7 mmol/L, Cl- 103 mmol/L,强离子差(SID) 21 mmol/L, Lac 4.3 mmol/L,葡萄糖278 mg/dL,血红蛋白9.3 g/dL。与血清肌酐相比,胸膜液肌酐为34.6 mg/dL,证实了临床对尿胸的诊断。

 

心肺复苏术进行期间进行了护理点超声(POCUS)检查,显示大量胸腔积液。胸水与血清肌酐的比值大于1通常支持尿胸的诊断,而比值大于1.7可被认为是诊断性的,在本病例中为20.6:1。

 

鉴于患者已休克,开始以20 mL/h的速率输注去甲肾上腺素(10 μg/min,通过输液泵在50 mL注射器中)和20 mL/h的速率输注碳酸氢钠(5 mEq/kg,通过输液泵在50 mL注射器中滴定)。插管后,开始以50 μg/h的速率使用芬太尼进行镇静,并以100 mL/h的速率维持晶体平衡。患者被转移到多学科团队的重症监护病房。后来出现了大面积的脑内出血,在医院住了一个月后病逝。

 

讨论

如今,许多急诊室都配备了自己的超声波仪器。在本病例中,由于有超声波仪器可用,所以在心肺复苏术治疗期间,在进行胸部X光检查之前,使用了超声波仪器,试图找到一侧胸部上升减少的原因。超声波可以检测胸腔内3-5ml的液体,而放射线照相术可以检测50ml以上的液体。超声也有助于区分囊状积液和增厚的胸膜,也有助于引导胸腔穿刺术。胸膜腔内液体的定义特征是四方征和正弦征。四边形符号有助于确定在两根肋骨之间看到的胸腔积液的边界,而正弦符号显示在M-模式下吸气期间积液深度的减少。在B模式中,当肺完全浸没在液体中时,它描绘了水母样行为,因此被称为水母征,它是正弦征的子集。

 

结论

对于急诊医生来说,谨慎的做法是记住,任何胸水,尤其是尿酸性胸水,都可能迅速升级为高张力,导致压塞效应,导致心脏骤停。

 

医博士编译自:Wanchu A, Verma A, Jaiswal S, et al. Tension urinothorax as a reversible cause of cardiac arrest: a case report. World Journal Of Emergency Medicine. 2023; 14(6):499-501. doi:10.5847/wjem.j.1920-8642.2023.097.

https://pubmed.ncbi.nlm.nih.gov/37969212/


声明: 所有注明“来源:医博士”的文字、图片和音视频资料,版权均属于医博士所有,转载须注明“来源:医博士”;所有转载文章系出于传递更多信息之目的,且明确注明来源和作者,不希望被转载的媒体或个人可与我们联系,我们将立即进行删除处理。