来源:医博士 | 2024-02-06
恶性淋巴瘤可以发生在不同的部位。在头颈部恶性淋巴瘤中,淋巴结、扁桃体和唾液腺是最常见的部位。约95%的下咽恶性肿瘤是鳞状细胞癌。下咽肿瘤具有气道阻塞的风险,应在早期诊断和治疗。下咽恶性淋巴瘤的病例很少,其具体特征尚不清楚。尽管部位不同,以前报道过会厌B细胞淋巴瘤的类似病例。本文报告一例74岁男性下咽弥漫性大B细胞淋巴瘤(DLBCL)伴吞咽困难。
病例介绍
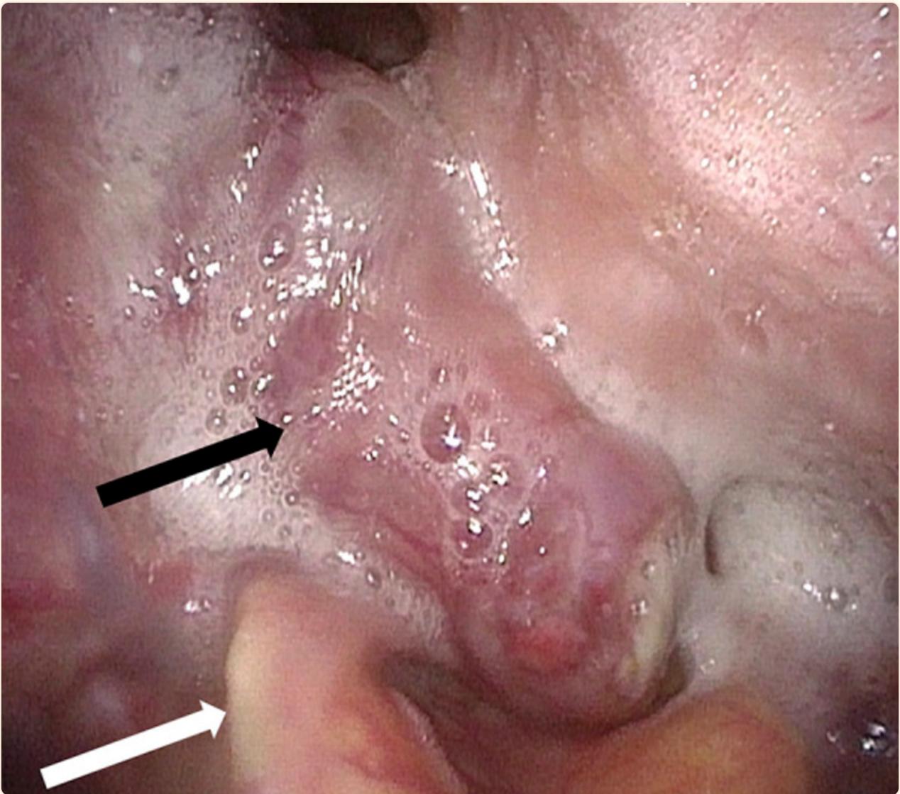
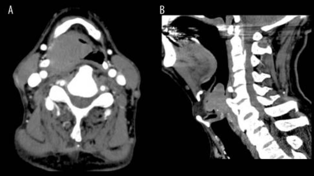
一名74岁老年患者因吞咽困难就诊,患者无疼痛。该患者没有相关病史。内镜检查显示右下咽肿瘤占据声门(图1)。肿瘤表面光滑,无出血迹象。计算机断层扫描显示下咽有一个40毫米的肿物(图2)。淋巴结无肿大。

图1 内镜检查显示右下咽肿瘤(黑色箭头)占据声门(白色箭头)
图2 计算机断层扫描显示下咽有一个40毫米的肿块,压迫气道。(A) 轴向;(B) 矢状
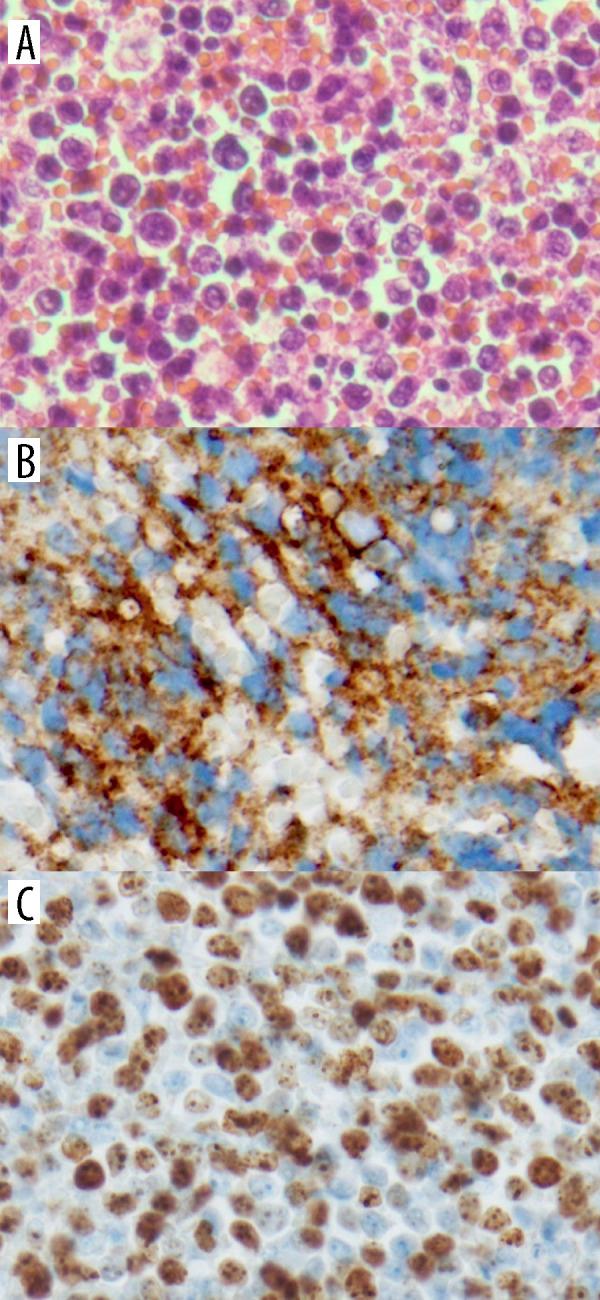
血液学检查结果显示外周血白细胞计数为7460/μl;C反应蛋白为0.75mg/dl,乳酸脱氢酶为218IU,鳞状细胞癌相关抗原为0.6ng/ml,可溶性白细胞介素2受体为328U/ml。患者接受了气管切开和活检。组织病理学检查显示,通过原位杂交,Epstein-Barr病毒阴性染色的非典型大B细胞弥漫性增殖。免疫组织化学染色CD20阳性,CD3、CD10和p16阴性,Ki67提示淋巴细胞高增殖(图3)。患者被诊断为DLBCL,IE期,R-IPI评分为1。
图3 (A) 大B细胞弥漫性增殖(苏木精-伊红染色400×),(B)CD-20阳性(400×)和(C)Ki67增殖指数(400×)
患者就诊血液科进行化疗,并接受了6个疗程的利妥昔单抗、环磷酰胺、阿霉素、长春新碱和泼尼松(R-CHOP)治疗。肿瘤缩小,患者完全康复(图4)。在2年的随访中,肿瘤没有复发。

图4 内窥镜检查显示肿瘤消失
头颈部更常见的是鳞状细胞癌,其他组织学类型的肿瘤较为罕见。下咽恶性肿瘤相对罕见,约占所有头颈部癌症的3%。下咽肿瘤患者的平均年龄为63岁,75%为男性。大多数恶性下咽肿瘤是鳞状细胞癌。
恶性淋巴瘤常发生在淋巴结,大约40%的非霍奇金淋巴瘤发生在结外。头颈部淋巴瘤多发于Waldeyer咽环,占病例的40-50%。DLBCL占B细胞淋巴瘤的32%左右,结外头颈部DLBCL占13.6%。到目前为止,只有少数恶性下咽淋巴瘤的报道。在头颈部恶性淋巴瘤中,下咽/喉恶性淋巴瘤非常罕见,约占病例的3%。下咽肿瘤涉及气道阻塞的风险,需要快速诊断和治疗。
医博士编译自:Ominato H, Komabayashi Y, Suzuki S, et al. Hypopharyngeal Diffuse Large B-Cell Lymphoma in a 74-Year-Old Man Presenting with Dysphagia: A Case Report. American Journal of Case Reports. 2023; 24:e942070. doi:10.12659/AJCR.942070.
声明: 所有注明“来源:医博士”的文字、图片和音视频资料,版权均属于医博士所有,转载须注明“来源:医博士”;所有转载文章系出于传递更多信息之目的,且明确注明来源和作者,不希望被转载的媒体或个人可与我们联系,我们将立即进行删除处理。