胸椎硬膜内蛛网膜囊肿伴暴发性病程

来源:医博士  | 2024-02-21    


蛛网膜囊肿是颅内或脊柱中含有脑脊液(CSF)的良性非肿瘤性薄壁肿块病变。位于脊柱的蛛网膜囊肿根据其与硬脊膜和脊髓的关系分为硬膜外、硬膜内、髓外或髓内,它们可能发生在椎管的背侧或腹侧。脊髓蛛网膜囊肿通常比颅侧囊肿少见。颅蛛网膜囊肿在儿童中比在成人中更常见,而脊髓蛛网膜囊肿更常见于成人。蛛网膜囊肿可能有感染性、外伤性或医源性的病因,但也可能是特发性的。

 

脊髓蛛网膜囊肿更常见于胸部,且大多位于背部。大多数脊髓蛛网膜囊肿是无症状的;然而,一些患者表现出椎管内脊髓和/或神经根压迫的临床特征,以及由于脑脊液引流入囊肿而导致的低颅压。脊髓蛛网膜囊肿的自然史是最初的无症状生长,之后患者出现临床症状。来自脊髓和/或神经根压迫的疼痛通常是隐匿的,正如相关的神经功能缺损一样。疼痛很可能是由囊肿增大和由此引起的硬脊膜拉伸引起的,硬脊膜接受来自鼻窦神经和后纵韧带的神经丛以及节段性动脉根支的神经支配。该病的通常病程相对良性,如果早期干预,预后良好。

 

磁共振成像(MRI)是诊断性成像的金标准,用于定位囊肿,显示神经元件压迫,并将囊肿与其他病变(如蛛网膜下腔和其他脊柱囊肿)相鉴别。根据脊髓空洞症形成的一种理论,脊髓空洞症可能与蛛网膜囊肿相关,推测是因为脑脊液流动动力学的改变。脊髓蛛网膜囊肿的治疗是外科手术,目的是减压神经成分和防止囊肿再填充。

 

下面报告一例特发性腹外侧胸椎硬膜内髓外蛛网膜囊肿的不寻常表现。

 

病例介绍

患者男性,49岁,突发中背部疼痛,并辐射到前胸壁,被送往尼日利亚拉各斯一家中低收入非洲国家的医院。患者在症状出现后7小时内出现步态不稳,并在背痛开始后10小时出现尿潴留,随后出现截瘫。患者伴有脐下疼痛和温度感觉丧失以及自发性双侧下肢强直性痉挛。没有外伤、脊柱手术、感染或脊髓麻醉史。由于没有费用用于治疗,入院医院没有进行神经影像学评估。在接下来的两个月里,患者症状发展为膀胱和肠道失禁。

 

由于保险障碍和经济困难,患者无法获得恰当的影像学检查,直到症状出现3个月后,才到文章发表医院进行神经外科评估和护理。神经病学检查显示下肢力量为0/5,深部腱反射减少,和足底伸肌反应。感官等级为T6(轻触)。脊柱磁共振成像显示腹外侧硬膜内髓外囊性病变跨越T5-T6。囊肿占据了椎管横截面的50%以上(图1)。患者被诊断患有胸椎蛛网膜囊肿,美国脊柱损伤协会损伤分级为A级。接受了囊肿的手术切除,目的是提高从脊髓损伤中康复的机会。

图1、胸椎MRI矢状面(左)和轴面(右)显示腹侧囊性病变伴有严重脊髓压迫。黑色箭头表示蛛网膜囊肿,黑色箭头表示受压和移位的脊髓

 

在荧光镜定位的帮助下,进行了T5-T6和T6-T7椎板切除术,并在术中超声检查的帮助下确认了囊肿的头尾部范围(图2)。分离第五和第六左侧肋间神经,以便于硬脑膜的活动,沿着硬脑膜袖的线打开硬脑膜。硬膜内髓外蛛网膜囊肿被确认并使用显微外科技术切除(图3)。减压后,脊髓在术中再次扩张。

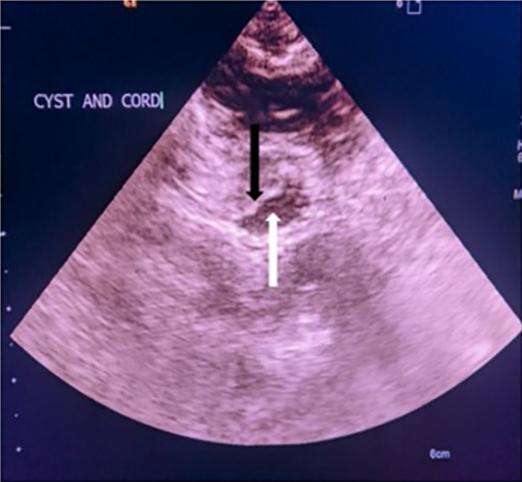
图2、术中超声显示脊髓和蛛网膜囊肿的横截面。黑色箭头表示脊髓,白色箭头表示蛛网膜囊肿

图3、术中观察(通过椎板切除术)胸椎硬膜内髓外蛛网膜囊肿。白色箭头表示切开硬脑膜的回缩边缘,黑色箭头表示蛛网膜囊肿,黑色箭头表示脊髓受压

 

该患者没有并发症,术后MRI显示蛛网膜囊肿完全切除,脊髓再次扩张以填充椎管横截面,伴有脊髓水肿和少量硬膜外脑脊液收集。(图4)

图4、胸椎磁共振成像矢状面(左)和轴面(右)显示蛛网膜囊肿完全切除,脊髓再扩张(白色箭头),少量硬膜外脑脊液收集(黑色箭头),以及相关的脊髓水肿(黑色箭头)

 

手术后4天,患者出院到住院康复机构。切除的囊壁的组织病理学检查显示了由脑膜上皮细胞排列的纤细的纤维结缔组织,证实了蛛网膜囊肿的诊断。手术后三个月,尽管患者仍然截瘫,报告膀胱和肠道控制有所改善,但不是完全控制。

 

讨论

脊髓蛛网膜囊肿表现为疼痛、虚弱、感觉障碍、步态异常和括约肌问题。脊髓蛛网膜囊肿引起的疼痛通常是隐匿的和慢性的,而不是突发性的,如本文病例所见。同样,虚弱也常常是潜在的,不像本病例患者,发展惊人的快。可以认为,这位患者的病例是这种良性病变暴发性病程的第一份报告,如果不进行手术治疗,这种疾病将发展到病程的终点——脊髓损伤和残疾。

 

蛛网膜囊肿中的CSF通常通过囊肿膜中的连接开口在囊肿和蛛网膜下腔之间流动,并非所有患者都需要干预。在埃尔贡等人的硬膜外囊肿的病例报告中,唯一的症状是慢性间歇性腰痛;患者没有神经损伤或囊肿增大,并且在2年的随访中疼痛有所改善。囊肿生长是由CSF流入引起的,并且当连通部位具有单向阀效应时,囊肿迅速增大而不排空。

 

作者认为,神经系统完整的脊髓蛛网膜囊肿患者的突然疼痛是囊肿快速扩张的标志,预示着神经系统的恶化。这种疼痛应促使紧急成像检查和干预治疗,以防止即将到来的快速神经功能衰退。即使不能立即重复成像,不延迟手术减压也是值得的。

 

结论

蛛网膜囊肿是良性病变。然而,如果不紧急治疗,当症状急剧或进展时,它们会产生灾难性的后果。

 

医博士编译自:Ayantayo TO, Owagbemi OF, et al. Thoracic Spinal Intradural Arachnoid Cyst With a Fulminant Course. Ochsner Journal. 2023 Winter;23(4):332-342. doi: 10.31486/toj.23.0029.

https://pubmed.ncbi.nlm.nih.gov/38143542/


声明: 所有注明“来源:医博士”的文字、图片和音视频资料,版权均属于医博士所有,转载须注明“来源:医博士”;所有转载文章系出于传递更多信息之目的,且明确注明来源和作者,不希望被转载的媒体或个人可与我们联系,我们将立即进行删除处理。