来源:医博士 | 2024-02-26
粒细胞集落刺激因子(G-CSF)制剂促进嗜中性粒细胞祖细胞的分化和增殖、成熟嗜中性粒细胞从骨髓中的释放以及嗜中性粒细胞功能亢进效应。已被用于治疗各种癌症中由细胞毒性化疗引起的发热性中性粒细胞减少症(FN)。聚乙二醇化(PEG)-G-CSF 也通过结合PEG而具有延长的半衰期,并且当在细胞毒性化疗后给药时可以防止中性粒细胞减少。在临床上,当使用高频率FN方案或在某些癌症的细胞毒性化疗期间,它被广泛用于FN预防。然而,据报道,G-CSF会引起轻度副作用,如肌痛和发热,以及严重但罕见的副作用,如主动脉炎。近年来,关于G-CSF诱导的主动脉炎的报道有所增加,特别是在乳腺癌和产科/妇科癌症领域,并且已经报道了许多全身性皮质类固醇治疗的病例。然而,在某些情况下,我们会因为皮质类固醇的免疫抑制特性而犹豫是否使用皮质类固醇,例如有乙型肝炎病史的患者,因为再活化;或接受免疫检查点抑制剂(ICIs)治疗的患者,因为皮质类固醇会抵消抗肿瘤作用。
病例介绍
患者男性,73岁。在工作场所的年度检查中发现异常的胸部X片,被医院收治。病史包括房颤、脑梗塞、良性前列腺增生和乙型/丙型肝炎,自行服用富马酸比索洛尔、水合羟沙班和西洛多辛。吸烟(从20岁到73岁)未戒,否认过敏史。健康状况良好,在东部肿瘤协作组绩效状态量表中得分为0。胸部影像显示右肺区域有结节状病变,胸部CT显示右上肺有结节状病变,纵隔淋巴结肿大。PET-CT显示氟脱氧葡萄糖在原发病灶和纵隔淋巴结中大量积聚。头部对比增强(CE)磁共振成像显示没有脑转移的证据。进行支气管镜检查,并诊断患者患有SCLC(根据国际癌症控制联盟TNM恶性肿瘤分类第8版,根据2021年日本指南,cT3N3M0,3C分期的扩展疾病)。
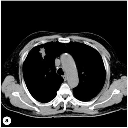
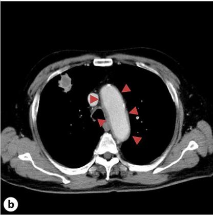
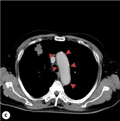
患者接受了卡铂/依托泊苷/杜伐单抗(Dur)和PEG-G-CSF的全剂量组合治疗,重点是剂量强度。在施用PEG-G-CSF后10天施用第四剂冠状病毒疫苗。在PEG-G-CSF给药后的第12天,出现38℃的发热和右耳疼痛,这种情况没有改善,并在第17天就诊。血液检查显示炎症反应明显升高,白细胞计数为15600/μL,C-反应蛋白为33.9 mg/dL,白细胞介素6 (IL-6)水平为114 pg/mL。然而,对整个躯干和头部的物理检查和简单的CT未能检测出发热源或炎症反应升高的原因(图一a)。虽然患者没有出现FN,但不能排除细菌感染的可能性,立即住院并使用了氨苄西林/舒巴坦。第二天对整个躯干进行的CE-CT显示主动脉弓降胸主动脉周围的脂肪组织密度增加,提示主动脉炎(图一b)。患者抗中性粒细胞胞浆抗体和其他自身抗体检测呈阴性。有乙型/丙型肝炎病毒(HBV/丙型肝炎病毒)感染史,入院后有退热趋势,并接受过ICIs治疗。因此,在没有全身皮质类固醇治疗的情况下,仅用解热镇痛药并进行了仔细的随访。第20天,患者体温改善至36°C,右耳疼痛和炎症反应逐渐改善,第33天的对比CT显示主动脉周围炎症表现改善(图一C,2)。那时血清IL-6水平降至8.7 pg/mL。由于免疫相关不良事件的可能性仍然存在,卡铂/依托泊苷的剂量减少到80%,Dur在第二个疗程的化疗中被停用。患者的病情进展顺利,除了白细胞计数略有下降。剂量减少的卡铂/依托泊苷以4周的间隔继续治疗,患者的进展良好,没有主动脉炎发作的迹象。



图1、患者的CT图像。A、PEG-G-CSF给药后第17天拍摄的胸部平面CT图像。此图像没有显示主动脉周围阴影增加。B、在PEG-G-CSF给药的第18天获得的胸部对比增强(CE)-CT扫描。此图显示主动脉周围阴影增加,提示主动脉炎。C、在PEG-G-CSF给药的第33天进行胸部CE-CT扫描。如图中的红色三角形所示,主动脉周围的阴影比图B中所示的要小

图2、白细胞(WBC)计数和C反应蛋白(CRP)趋势线图。蓝线表示CRP水平的趋势,红线表示WBC计数的趋势。在PEG-G-CSF给药后的第17天,CRP水平和WBC计数都异常高。然而,在没有给予皮质类固醇的情况下,它们继续减少,并且在给予PEG-G-CSF的第33天几乎正常化
讨论
包括这个病例在内,应该注意到以前报道的PEG-G-CSF诱导的主动脉炎病例中没有一例是致命的。本病例在以下方面是PEG-G-CSF诱导的主动脉炎的典型表现。1,PEG-G-CSF治疗后第12天出现发热和右耳疼痛。2,入院后进行的CE-CT证实了主动脉炎的诊断,这说明了主动脉炎的典型表现。3,患者症状在不用皮质类固醇的第20天消失。
在目前的情况下,本病例成功地检测到提示PEG-G-CSF诱导的主动脉炎的发现。CE-CT是大多数情况下使用的诊断方法,在主动脉和其他动脉周围观察到软组织增厚。主动脉炎的中位发病时间为G-CSF给药后8天,大多数初始症状为发热和疼痛;这使得很难区分G-CSF诱导的主动脉炎和FN,因为主动脉炎的时间和症状也是FN的典型表现。G-CSF诱导的主动脉炎可能是不明原因发热的主要原因,使用抗生素后似乎有所改善。在这种情况下,使用抗生素后,发烧似乎会自然好转,如本例所示。基于以前的报告和目前的病例,我们认为当患者在G-CSF给药后出现不明原因的发热并伴有明显的炎症反应时,应进行CE-CT以诊断主动脉炎。临床医生应该意识到主动脉炎是G-CSF治疗的一种罕见但严重的副作用。
由于其抗炎和免疫抑制作用,皮质类固醇在炎性疾病的治疗中起着关键作用。然而,它们的副作用各不相同,并且通常难以适当地管理。皮质类固醇的一个特别值得注意的副作用是HBV的再活化,这可导致暴发性肝炎和死亡。在皮质类固醇治疗期间,应仔细监测既往HBV感染患者的症状,如疲劳和肝酶趋势。皮质类固醇的另一个副作用是它们抵消ICIs的抗肿瘤作用。尽管ICIs在乳腺和产科/妇科领域仍不常用,但它已经普遍用于肺癌,并且ICIs和G-CSF经常一起使用。由于ICIs激活自体免疫细胞以实现其抗肿瘤作用,据信皮质类固醇的免疫抑制作用不可避免地减弱了它们的作用。因此,接受皮质类固醇治疗的患者应避免使用ICIs治疗,或者ICIs治疗的目标人群应仅限于皮质类固醇剂量小于10mg/天泼尼松当量的患者。由于本病例中的患者接受了ICIs治疗并有乙肝病史,医生担心HBV的再激活和抵消ICIs的作用。此外,他的症状趋于解决;因此,没有给予其皮质类固醇,并仔细监测他的进展。
结论
本病例中报告一例罕见的主动脉炎病例,在ICI和SCLC化疗联合应用后,使用PEG-G-CSF预防FN。当我们诊断患者患有G-CSF诱导的主动脉炎时,特别是在预先存在HBV感染或使用ICIs后的情况下,应避免免疫抑制状态,应避免使用皮质类固醇,并且应仔细观察是否仅使用解热镇痛药。
医博士编译自:Ito T, Kanai O, Saito Z, et al. Pegfilgrastim-Induced Aortitis in a Patient with Small-Cell Lung Cancer Who Received Immunotherapy Combined with Chemotherapy. Case Reports in Oncology. 2023; 16(1):1466-1474. doi:10.1159/000534931.
声明: 所有注明“来源:医博士”的文字、图片和音视频资料,版权均属于医博士所有,转载须注明“来源:医博士”;所有转载文章系出于传递更多信息之目的,且明确注明来源和作者,不希望被转载的媒体或个人可与我们联系,我们将立即进行删除处理。