异位颈内动脉引起的发音困难

来源:医博士  | 2024-02-27    


颅外异位颈内动脉(eICA)很常见,有文章报道了10%-40%的人群发病率,重症达6%。解剖学将eICA的走形描述为从颈动脉分叉到颞骨的连线。在异常的情况下,动脉可能会出现环状、扭曲,甚至明显的中位。若发生在外科手术或插管过程中,可能由于靠近咽侧壁而产生意外危险。这些异位通常因口腔或下咽的搏动性肿块或影像学检查中偶然发现。尽管在绝大多数病例中没有症状,但有部分患者出现咽部异物感、吞咽困难或发声困难。本文报道一例患者,仅表现出发音困难。

 

病例介绍

一名72岁的患者因轻微的慢性进行性发音困难就诊,患者诉嗓音的波动影响了他作为教堂歌手的活动。他无吸烟史,否认吞咽困难或咳嗽等其他相关症状。纤维频闪喉镜检查显示一个搏动性环后肿块压迫右侧杓状软骨(图1)。考虑到肿块的搏动性外观,怀疑是颈内动脉的解剖变异。耳鼻喉科余检查均正常。

图1 喉镜检查。咽后壁肿物(红色箭头),压迫右侧杓状软骨(白色箭头),右声带(绿色箭头)无损伤

 

颈部CT扫描证实右颈动脉分叉居中,内支(图2)位于咽后脂肪间隙内,并向前和向下压迫右侧杓状软骨及梨状窝,导致声门平面异常(图3和4)。根据患者5年前的CT检查,排除了动脉瘤的假设,因为两次颈部图像无明显变化。考虑症状较为罕见,且手术并发症发生率较高,手术医生建议保守观察。

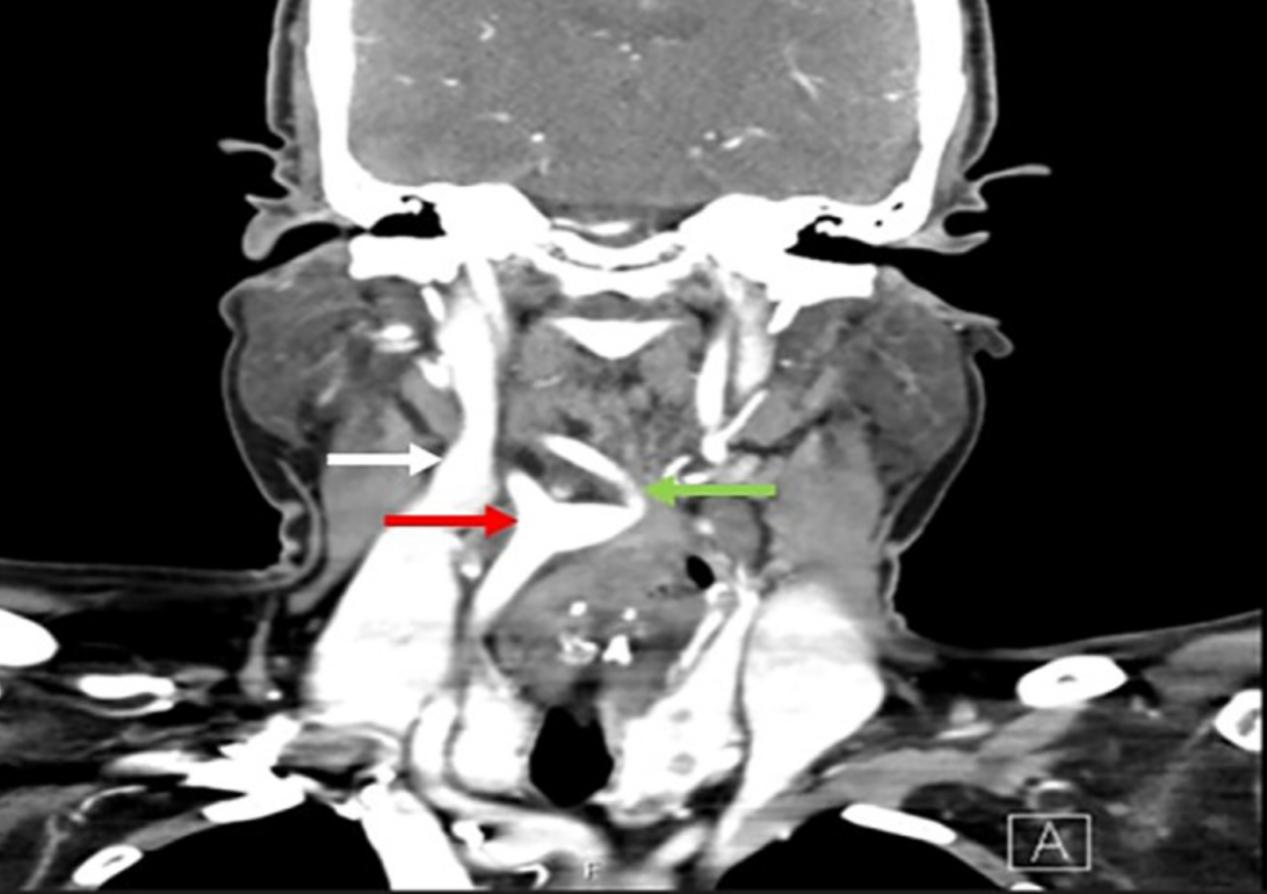
图2 颈部CT扫描,冠状位:颈动脉分叉居中(红色箭头),右颈内动脉(绿色箭头),右侧颈内静脉(白色箭头)

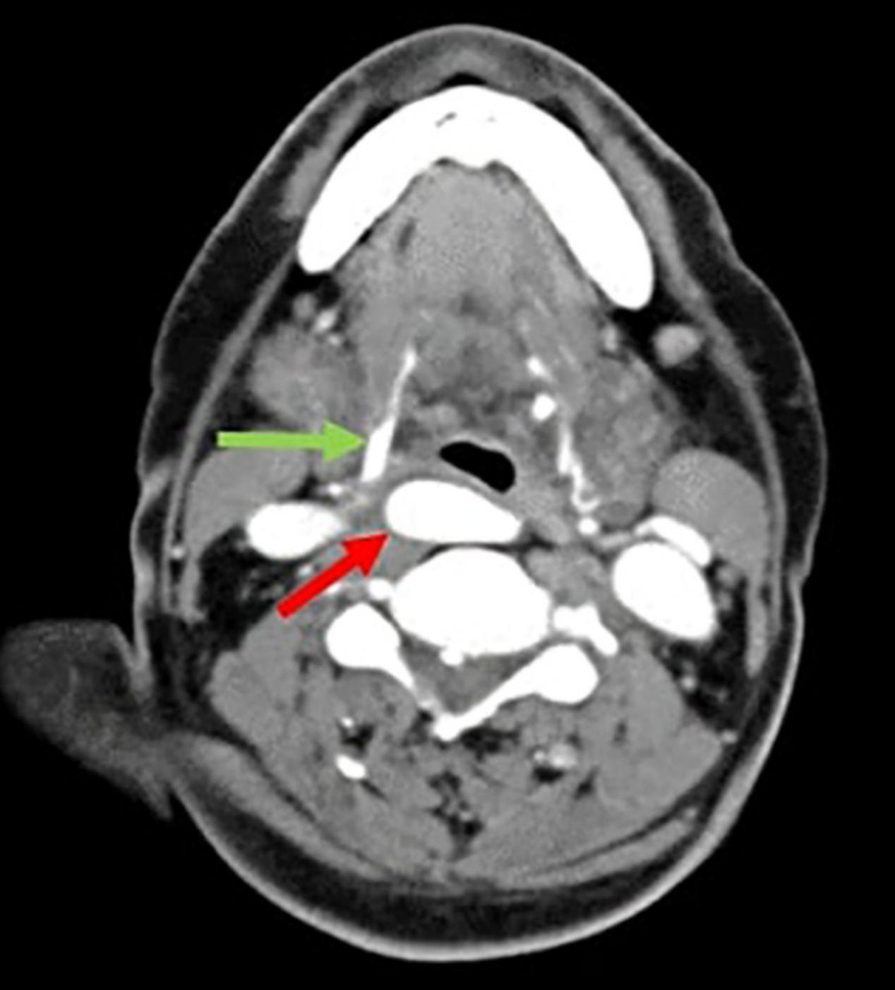
图3 颈部CT扫描,轴位;右侧颈内动脉的咽后位置(红色箭头),咽后壁有肿物压迫。舌骨(绿色箭头)

图4 颈部CT扫描,矢状位:颈内动脉引起的咽后壁膨出(红色箭头)

 

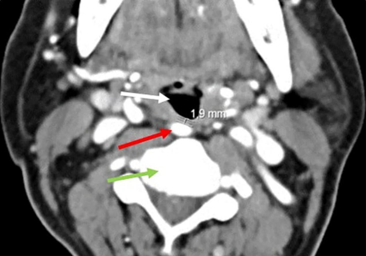
1965年,Weibel和Fields提出了一个分类系统来研究颈动脉异常在脑血管功能不全中的作用。他们根据与垂直平面的偏差区分了三种类型的走形。这种分类的主要局限是缺乏与咽壁距离的概念,这在临床和手术中具有重要意义。因此,Pfeiffer和Ridder在2008年提出了修改,增加了与咽壁的最小距离、异常位置以及由此产生的ICA损伤风险等数据。根据这一分类,我们的患者应为III级,因为其下咽位置 距离咽后壁最小距离为1.9mm(图5),在进行手术时有很高的损伤风险。

图5 在C3水平(绿色箭头)颈内动脉(红色箭头)和咽后壁之间的最小距离为1.9 mm。下咽间隙(白色箭头)被颈动脉凸起压迫

 

小结

根据文献报告,通常不建议对患者进行治疗,尤其是无生命危险的患者。患者应进行密切随访以避免恶化,尽量食用软性饮食,避免如鱼骨和鸡骨头等危险食物。此外强烈建议患者在进行医疗活动时告知医师他们的解剖异常,避免在医疗操作中出现意外。

 

医博士编译自:De Stercke A, Dequanter D & Rodriguez A. Having a carotid in the throat: A rare case of internal carotid medialization-induced dysphonia. Clinical Case Reports. 2023; 11(11):e7997. doi:10.1002/ccr3.7997.

https://pubmed.ncbi.nlm.nih.gov/38028077/


声明: 所有注明“来源:医博士”的文字、图片和音视频资料,版权均属于医博士所有,转载须注明“来源:医博士”;所有转载文章系出于传递更多信息之目的,且明确注明来源和作者,不希望被转载的媒体或个人可与我们联系,我们将立即进行删除处理。