结合骶神经调节机制针灸治疗水痘带状疱疹病毒急性尿潴留

来源:医博士  | 2024-03-11    


带状疱疹(HZ)是一种由潜伏在人体内的水痘-带状疱疹病毒(VZV)重新激活引起的神经系统皮肤感染。感染者易受病理变化的影响,如脊神经后根神经节、脑膜或脊髓炎性损伤,其表现为局部皮肤疼痛的水泡状皮疹。最近的流行病学调查显示,在中国,HZ平均每年发病率为476万,一些患者由于VZV从脊髓后根神经节侵入交感神经和副交感神经而患有尿路和胃肠道疾病。病毒累及内脏的情况不太常见,临床症状通常从皮肤开始,其中由于涉及膀胱功能而导致的急性尿潴留(AUR)也称为Elsberg综合征,属于神经源性膀胱的一种。

 

Davidsah于1890年首次描述了带状疱疹引起的排尿功能障碍,截至目前文献已经报道了200多例带状疱疹病例,还回顾了一家大型机构中423例带状疱疹病例,其中骶骨区域的带状疱疹感染占所有带状疱疹感染的8%,并且4.02%的功能障碍与VZV感染有关。由于ES的报告病例数较低,临床医生对其认识不深,无法及时进行影像学或病因检查以进行明确诊断,因此常因忽视带状疱疹病史而误诊。此外,由于部分患者在感染后并不总表现出皮肤症状,其发病更为隐蔽。上述原因在很大程度上增加了诊断难度,使得临床医生很难将HZ作为急性尿潴留的病因之一进行治疗。ES通常被视为特发性炎症,有导致膀胱破裂和肾后疾病的风险。

 

如今,逼尿肌无力型尿潴留的治疗在临床上是一个挑战,其主要治疗方法包括非保守手术治疗和药物保守治疗;然而,由于这些疗法的局限性,针灸作为一种有效的补充疗法是值得在全球推广和实践的。在本病例研究中,主要基于对患者尿动力学变化的评估,研究针灸治疗对VZV诱导的膀胱逼尿肌收缩力恢复的影响。

 

病例介绍

患者因排尿困难12天,持续加重一周就诊。12天前无明显诱因出现左侧骶尾部皮肤和粘膜红斑、水泡和局部溃疡,并伴有疼痛,偶有排尿困难,于皮肤科诊断为带状疱疹,并口服泛昔洛韦片(75 mg/d)及普瑞巴林胶囊(300 mg/d)。用药4天后,皮肤和疼痛症状缓解,第5天,患者小便无力、排尿困难加重,并伴有腹胀、排便停止,偶有恶心呕吐,无发热发冷等不适。患者遂前来针灸治疗。

 

体格检查见患者下腹扩张,未见胃肠蠕动波或腹壁静脉曲张。下腹部压痛阳性,可触及膀胱扩张,肠鸣音减弱,肛周感觉减弱。直肠触诊:前列腺无肿大或异常结节。皮肤科检查:患者左侧骶骨区可见大小不等的结痂状水疱,已大致恢复,未超过中线;压痛(+/-)。

 

患者入院前提示VZV阳性。实验室检查包括生化分析、全血计数、血清免疫球蛋白(IgG、IgA和IgM)、传染病筛查和粪便检查均正常。血清前列腺特异性总抗原(TPSA):4.07µg/L。尿液分析和尿液细菌培养(-);泌尿系统多普勒超声显示:前列腺大小正常(3.9厘米*2.9厘米*2.6 cm);排尿后膀胱残余尿液:1153 mL(图1) ;2022年7月27日的尿动力学检查结果表明:排尿期间未发现逼尿肌收缩,排尿方式为腹压辅助排尿,多次尝试均无尿排出。提示膀胱逼尿肌收缩无力;残余尿液提示膀胱排空严重受损(图2)。大脑、腰椎和骶骨的磁共振成像(MRI)、心电图、胸部CT和上腹部的多普勒超声均未显示明显异常。

图1 尿路多普勒超声显示:前列腺大小正常(3.9厘米*2.9厘米*2.6 cm);排尿后膀胱残余尿液:1153 mL

图2 (i) 在储存期膀胱灌注的早期阶段,膀胱内压力为15.0 cmH2O,初始感觉尿量为255 mL,膀胱内压为21.5 cmH2O,正常尿量为315 mL,膀胱内压力为26cmH2O,这表明膀胱顺应性正常,膀胱尿路感觉正常。(ii)膀胱的功能容量大于400 mL,表明膀胱测量容积正常;(iii)排尿期间未观察到逼尿肌收缩,排尿方式为腹压辅助排尿,重复排尿时未排出尿液,提示逼尿肌功能不全;(iv)残余尿液大于400 mL,提示膀胱排空严重受阻

 

结合病史和检查结果,最终诊断为急性尿潴留(神经源性膀胱)。入院第一天,他接受了尿道插管。入院第5天,尝试移除尿管但失败。随后开始电针,取双侧BL33、BL32、CV3、CV2、SP6穴位。BL33、BL32和SP6使用3英寸的实心针,定位BL33,并将针插入第三骶后孔外上方1cm处,以与患者皮肤成约45°至60°的角度向内和向下倾斜刺入45至55 mm,其他穴位直接用针刺30~40 mm;使用长针垂直刺入CV3和CV2 70mm。将各穴位均匀托起、插入、扭转,使患者感觉到气的到来,将电针仪电极连接在两侧BL33、BL32针柄上,调整骶孔针的位置,主要询问患者是否有骶神经反应(直肠牵引感、对会阴的放射感、肛门区的开合运动、同侧大脚趾或其他脚趾的跖骨弯曲),反应后给患者通电30分钟。如果插入第一针后神经反应不明显,则在其边缘插入另一针,给第二针通电,如果可以检测到神经反应,则取出第一针,用第二针治疗,重复上述步骤,直到找到合适的反应位置。EA参数:稀疏密集波,频率50 Hz,最初施加的电流强度为1-5 mA,逐渐增加电流强度至患者耐受的程度。留针时间及疗程:每次留针30分钟,隔日电针治疗,每周3次,治疗周期4周,总治疗次数为12次。

 

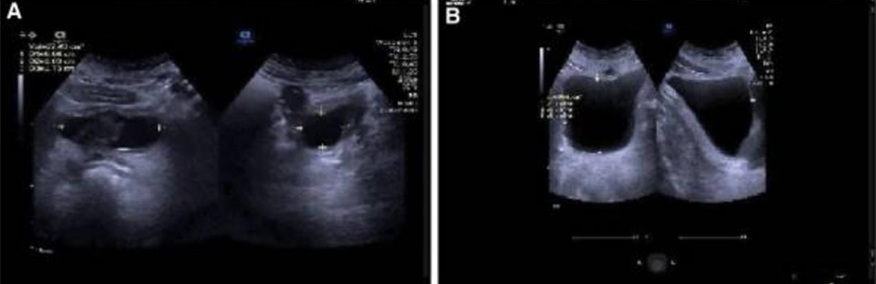
在电针治疗的前3周,患者出现了短暂的尿路感染,可能是由于他长时间的尿潴留,在没有抗菌治疗的情况下自行缓解。经过9周的治疗,患者感觉排尿有力,排气和排便比治疗前流畅,会阴周围的皮肤感觉逐渐恢复。2022年9月22日,膀胱残余尿液27mL(图3A)。然而在移除尿管后再次出现尿潴留,超声检查显示残余尿量为166 mL(图3B)。在门诊继续接受了3周的电针治疗。在随后的治疗结束时,已经完全康复,排尿后无残余尿液(图4)。

图3 A.2022年9月22日,膀胱残余尿液的随访超声显示排尿后膀胱中残留的尿液27mL

B.移除尿管后再次出现尿潴留,超声检查显示残余尿量为166 mL

 

图4 在随后的治疗结束时,他已经完全康复,排尿后不再出现残余尿液

 

尿动力学检查表明(i)膀胱的尿路感觉和膀胱顺应性正常,(ii)膀胱测量容积正常,(iii)从灌注开始到灌注结束,未观察到逼尿肌的不自主收缩和冲动性失禁,(iv)膀胱流出道可能存在梗阻,(v)膀胱排空正常(图5)。

图5 2022年11月14日复查尿动力学:(i)储存期膀胱灌注开始时的膀胱内压力为18.5 cmH2O,初始排尿量为165 mL,正常排尿量为341 mL,膀胱内压力为25.5cmH2O,这表明膀胱的尿路感觉和膀胱顺应性正常;(ii)膀胱功能容积约为400 mL,表明膀胱测量容积正常;(iii)从灌注开始到灌注结束,没有看到逼尿肌的不自主收缩,也没有看到冲动性失禁;(iv)排尿期间出现逼尿肌收缩,排尿方式为腹压辅助排尿,最大逼尿肌缩压力为71.5cmH2O,最大尿流速为4 mL/s,排尿处于高压低流量状态,提示膀胱流出道可能存在梗阻;(v) 残余尿液约42 mL,表明膀胱排空尚可

 

在6个月和12个月的后期随访中,所有症状都已完全消失,常规随访超声检查不再有明显的膀胱残余尿液,患者对此非常满意。在治疗期间,未观察到与所述治疗相关的不良反应或意外事件。

 

小结

针灸是中医学的重要组成部分,被广泛用作非药物治疗,以促进神经功能障碍的恢复和疼痛缓解。高质量的研究表明,针灸在改善排尿障碍方面是有效的。

 

医博士编译自:Tan Z, Shen J. Acupuncture treatment of acute urinary retention caused by varicella-zoster virus through by combining the mechanism of sacral neuromodulation: A rare case report. Medicine (Baltimore). 2023; 102(48):e36007. doi:10.1097/MD.0000000000036007

https://pubmed.ncbi.nlm.nih.gov/38050201/


声明: 所有注明“来源:医博士”的文字、图片和音视频资料,版权均属于医博士所有,转载须注明“来源:医博士”;所有转载文章系出于传递更多信息之目的,且明确注明来源和作者,不希望被转载的媒体或个人可与我们联系,我们将立即进行删除处理。