来源:医博士 | 2024-04-22
动力沙(即太空沙,本文中采用太空沙),也称为魔术沙或疏水沙,作为三岁以上儿童的游戏沙出售。在1915年首次引用时,太空沙最初被描述为涂蜡沙。太空沙的现代成分是98%的超细沙和2%的聚二甲基硅氧烷(即硅油),这提供了其疏水性。这种可塑的沙子以游戏套组的形式出现,主题范围包括从建筑工地到冰淇淋等食品套件,精选的沙子带有香味以补充主题。虽然告知父母的信息标签表明这种产品是无毒的,包装显示由于其小体积因此有部分的窒息危险。目前,还没有关于太空沙摄入的副作用或其摄入引起的胃肠不适程度的报告。
本文提出了第一例报道的运动性积沙摄入导致小肠套叠和大肠套叠的肠梗阻。本报告的目的是提高对摄入太空沙的潜在危险和后遗症的认识,并描述继发于摄入太空沙的肠梗阻的医疗管理。
病例介绍
一名有自闭症、拔毛癖和异食癖病史的年轻女孩因腹痛和非血性胆汁性呕吐2天就诊。在入院前两天,摄入了数量不明的太空沙。次日早上从痛苦中醒来,抱怨全腹痛。当天下午出现了四次胆汁性呕吐,被送往当地急诊科。
初步检查包括全血细胞计数、腹部X线和腹部超声(US)及平片(图1)。初始白细胞计数为19.6×109/L 腹部超声显示回结肠肠套叠,肠套叠部位有致密碎屑(与沙子一致)(图2)。腹部X光显示右下象限气体缺乏,与回结肠肠套叠的推测诊断相符。患儿被转诊以进一步治疗。
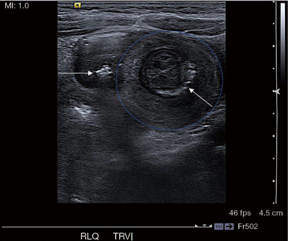
图1、初始X光照片显示右下象限的软组织密度(蓝色圆圈)。其内部呈线性高密度,代表沙子的凝结体(白色箭头)。小肠和大肠的充气环扩张是发展中的梗阻的隐患(蓝色箭头)

图2、超声显示右下象限肠套叠,目标征为肠壁的交替高回声和低回声环(蓝圈)。肠套叠内也可见回声砂粒聚集(白色箭头)
入院时,患儿发热,血压正常。无急性窘迫症状,否认恶心或近期呕吐,但证实运动性弥漫性腹痛。鉴于患者的年龄,无法获得详细的病史;监护人提供的信息很少,最后一次排便不详。体格检查,腹部轻度肿胀伴鼓室。浅、深触诊皆有腹痛,无腹膜刺激征,对床的轻晃动防备或引起疼痛。其余身体检查未见异常,除了由于已报告的拔毛癖,右颞部头发稀疏。体检后,未给予口服药,并开始维持静脉输液。
腹部和骨盆的CT与静脉造影显示多个突出的空气和充满液体的肠袢贯穿腹部。结果涉及回肠-回肠、回肠-结肠和结肠-结肠肠套叠累及远端横结肠/近端降结肠(图3、4、3、4)。在影像学证实的情况下,通过荧光剂对比灌肠对回肠-结肠肠套叠进行复位。插入一根儿童直肠管,通过重力将约360cc稀释的泛影葡胺直接注入结肠。本研究发现造影剂在整个结肠内自由流动,容易回流到回肠末端,表明在此手术之前成功减少或自发消退了轻微的回肠-结肠肠套叠 (图5)。
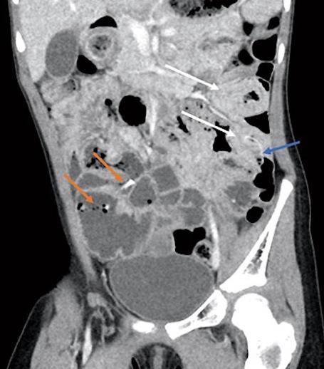
图3、CT显示多个小肠/小肠肠套叠(白色箭头),肠套叠处有高密度砂粒结石(蓝色箭头)。在右下象限(橙色箭头)还可以看到高密度的沙结核

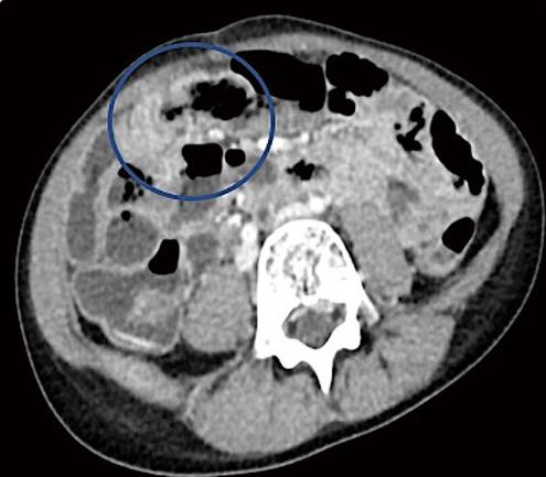
图4、轴向对比增强计算机断层扫描图像显示疑似结肠肠套叠(蓝圈)

图5、最终图像显示造影剂回流至小肠袢(蓝圈)
第二天,仰卧位腹部X光显示整个结肠浑浊,剩余造影剂口径正常,与非阻塞性肠气相一致。查体时,患者的腹痛持续改善,饮食也慢慢恢复。她开始放屁,排便有规律。值得注意的是,最初排出的粪便有明显的太空沙,护理记录显示在灌肠后24小时内排完含太空沙便。在完全清除患者粪便中可见的太空沙并持续规律排便后,停止了维持性静脉输液,并在首次出现症状后的第2天出院(图6)。
图6、住院前和住院期间的患者事件时间表
讨论
摄入太空沙会导致肠梗阻和结肠肠套叠。肠套叠被认为是一种医疗急症,应在潜在的致命并发症发生前尽快治疗。肠套叠的后果从良性症状(如便秘)到更严重的并发症,包括肠穿孔、腹膜炎、肠坏死和败血症。本文管理方案包括流体静力复位、肠道休息、静脉水合、随访成像和在医院的受控环境中观察。持续呕吐时应进行胃减压。一旦患者无疼痛且无肠梗阻的临床或影像学证据,则允许其饮用清澈的流质饮食。本报告旨在提高对摄入太空沙潜在危险的认识,并强调通过复位灌肠对肠套叠的标准管理在这种临床情况下也是有效的。
医博士编译自:Turner A, Sico R & Seifarth FG. Ingestion of kinetic sand leading to intussusception and bowel obstruction in a child: a case report. AME Case Reports. 2023; 8:13. doi:10.21037/acr-23-37.
声明: 所有注明“来源:医博士”的文字、图片和音视频资料,版权均属于医博士所有,转载须注明“来源:医博士”;所有转载文章系出于传递更多信息之目的,且明确注明来源和作者,不希望被转载的媒体或个人可与我们联系,我们将立即进行删除处理。