来源:医博士 | 2024-05-11
肾脏血管平滑肌脂肪瘤(AMLs)是一种良性肿瘤,含有不同比例的脂肪、平滑肌和血管成分。自发性破裂是肾脏AMLs的严重并发症,可导致危及生命的腹膜后出血。直径> 4cm的大肿瘤或瘤内动脉瘤,由于已知的破裂风险,>5毫米被提倡作为预防性治疗标准。下面报告了一起2.5厘米的AML伴有丰富的血管成分的危及生命的破裂病例,在2年的随访期间未发现瘤内动脉瘤>5mm。使用N-丁基氰基丙烯酸酯(NBCA)胶成功进行急诊经导管动脉栓塞(TAE)。
病例介绍
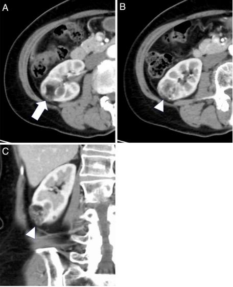
患者女性,70余岁。2年前被诊断为无症状,散发性,典型AML。既往有高血压病史,正在服用钙离子通道阻滞剂。对比增强CT (CECT)显示右肾后下段有一个18×21×25mm的混合密度肿块,其中包括脂肪和血管成分。尽管未发现瘤内动脉瘤>5mm,但丰富的血管病变向肾后周间隙突出(图1)。

图1、肾血管平滑肌脂肪瘤破裂的患者2年前对比增强计算机断层扫描(CECT)。CECT显示右肾后下段一个18×21×25 mm的混合密度肿块,包括脂肪(A,箭头)和丰富的血管成分(1B和1C,箭头)。CECT显示高血管病变突出至肾周间隙,但未见瘤内大于5mm的动脉瘤(1B和1 c,箭头)
常规随访每6个月行双超检查,未见肿瘤生长或动脉瘤改变。然而,随访2年后,患者因急性右侧腹痛被送到急诊科。到达医院后,因血流动力学不稳定而神志不清;血压和脉搏80/50mmHg和120次/分钟。入院时血液检查显示血红蛋白水平为5.9 g/dL,血细胞比容17%,CECT显示腹膜后血肿(11×14×20cm),瘤内动脉瘤造影剂外渗5mm(图2)。患者被诊断为急性髓性白血病破裂,并立即转移到血管造影室进行TAE。

图2、入院时的对比增强计算机断层扫描(CECT)
图2A、2B的轴向横切面和图3C的冠状面横切面分别对应图1A、1B、1C的切片。CECT显示肾血管平滑肌脂肪瘤微动脉瘤(2B和2C,箭头)腹膜后血肿(11×14×20 cm)伴造影剂外渗(2B和2C,箭头)
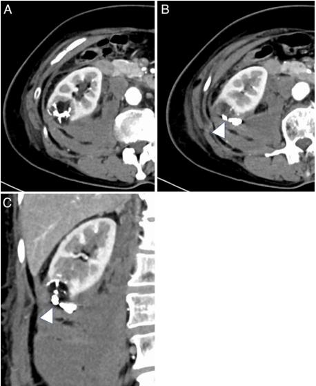
4-F血管造影导管(RC-09;Medikit, Tokyo, Japan)经右股动脉插入右肾动脉。血管造影显示,在弯曲的母血管周围有一个微动脉瘤,有大量造影剂外渗(图3A)。1.9-F的微导管通过0.014英寸的微导丝尽可能地进入母动脉(图3B)。NBCA和乙二磺酸油以1:2的比例混合,(33% NBCA),缓慢持续注射,填充微动脉瘤及近端动脉分支的出血点。(图3C)。术后血管造影未见造影剂外渗(图3D)。随访CT证实血肿缩小,出血部位充满NBCA碘化油铸型(图4)。随后的血液检查未发现贫血进展或肾功能恶化。患者于TAE术后14天无并发症出院。

图3、(A)右肾动脉造影显示微动脉瘤外渗大量造影剂(箭头所指)。(B)肾动脉分支选择性血管造影;箭头指向微导管的尖端。(C)将破裂的微动脉瘤和近端动脉分支以1:2比例(33% NBCA)的氰基丙烯酸酯-脂醇混合物栓塞。(D)栓塞后血管造影显示造影剂外渗停止

图4、经导管动脉栓塞后10天的增强ct显示出血部位充满了n -氰基丙烯酸丁酯-脂醇铸型(箭头),显示血肿缩小
讨论
大多数AML可以随访且不破裂;然而,有些破裂会导致危及生命。因此,应制定随访算法或积极治疗标准。在影像学上,肿瘤大小>4cm或>6cm和/或存在>5mm的瘤内动脉瘤常被用作积极治疗的标准。无症状的小散发性AML患者或未进行瘤内CT和MRI检查的患者每6个月或每年进行一次。然而,在本病例中,遇到了危及生命的散发性AML破裂,不符合基于标准随访算法的预防性治疗标准。因此,不符合预防治疗标准的AML破裂是罕见的,但可能发生,适当的随访方案和确定破裂的危险因素是必要的。
AML破裂的危险因素主要集中在肿瘤大小上,根据1986年的文献综述,肿瘤> 4cm传统上被认为是预防性治疗标准。然而,4cm的截止尺寸近年来被重新考虑。近期一项系统综述显示,尽管更大的AML可能与破裂的高风险相关,但AML大小和破裂之间没有明确的相关性。Kuusk等人报道,基于对441例患者数据的汇总分析9.4%的肾AML破裂患者直径为<4cm。
在本病例中,一个小的2.5厘米AML引起了危及生命的出血。本病例和以前的研究表明,肿瘤大小不应单独用于预测破裂的风险或作为积极的治疗标准。即使是很小的AML也可能导致危及生命的破裂,除了肿瘤大小,还必须建立预防性治疗标准,包括患者的症状、肿瘤血管分布、生长速度、患者背景等。最近的研究表明,与AML相关的瘤内动脉瘤或高血管密度是比肿瘤大小更强的破裂预测因子。Yamakado等人报道,瘤内动脉瘤>5mm比肿瘤尺寸>4cm更可靠地预测破裂,这表明瘤内动脉瘤>5mm应被推荐为AML的预防性治疗标准。据报道,血管造影显示血管活度高的AML比血管活度低的AML更容易破裂。然而,AML患者微动脉瘤的血管分布和发展变化尚不清楚。在本病例中,发现了<4 cm且血管成分丰富的AML,而在CECT上仍未发现>5mm的瘤内动脉瘤,并且在2年的稳定随访后出现了危及生命的出血。直至破裂,每6个月进行一次双超检查,未发现瘤内动脉瘤>5mm。超声随访被认为是小AML的合理选择,具有成本较低和无辐射暴露的优点。一个病例报告也显示彩色多普勒超声对发现破裂的AML瘤内动脉瘤是有用的。在本病例中,瘤内动脉瘤的发生尚不清楚,因为超声检查的低准确性可能无法成功检测其外观。Gandi等人证明了这一点:64层CT血管造影可检出直径>3mm的微动脉瘤。因此,对于血管成分丰富的AML, CECT的随访可能是必要的,CECT可以提供更客观的血管状况评估。在本病例中,如果在随访期间进行CECT,则可以发现微动脉瘤的发展,并及时提供预防性治疗。
在肝细胞癌(HCC)中,肿瘤从肝脏表面突出,有破裂的危险,导致危及生命的腹膜内出血[9]。然而,在肾性AML中,肿瘤位置与破裂风险之间的关系尚不清楚。根据Lu 等人报道,7例肾AML破裂伴大量腹膜后血肿的病例中,有6例位于肾外周并突出至肾周间隙。此外,在他们案例中的两个,小于4cm的AML破裂并引起大量腹膜后出血。同样,在本病例中,2.5 cm AML,其中丰富的血管成分突出到肾周间隙,导致危及生命的腹膜后出血。文献回顾没有发现从肾脏突出的AML容易形成动脉瘤的证据。然而,像肝癌一样,具有丰富血管成分的AML位于肾脏表面,可能容易发生危及生命的破裂,这类病变应该有针对性地进行仔细的随访和预防性治疗。
急诊TAE是针对破裂的动脉瘤和周围血管成分进行止血,而不是针对AML。急诊TAE后,患者在文章发表医院随访CT成像3个月。随后,在另一家医院继续进行超声和CT随访。TAE5年后,未观察到血管成分的发展或新的瘤内动脉瘤。然而,监测患者的临床医生应该意识到,如果肿瘤的血管病变再次发展,可能会再次破裂。
小结
总之,当AML患者主诉突然腹痛时,临床医生应警惕肿瘤破裂,即使肿瘤很小或为壁内动脉瘤。随访时未见5mm。肾表面血管成分丰富的AML可能需要仔细随访,因为它们容易形成瘤内动脉瘤,导致危及生命的破裂。需要进一步的研究来阐明肾性AML破裂和血管改变的危险因素。
医博士编译自:Tajiri M, Gentsu T, Yamaguchi M, et al. A Case of Life-threatening Rupture of Small Renal Angiomyolipoma with an Unidentified Intratumoral Aneurysm during Follow-up. Intervent Radiol (Higashimatsuyama).2024; 9(1):20-25. doi:10.22575/interventionalradiology.2023-0013.
声明: 所有注明“来源:医博士”的文字、图片和音视频资料,版权均属于医博士所有,转载须注明“来源:医博士”;所有转载文章系出于传递更多信息之目的,且明确注明来源和作者,不希望被转载的媒体或个人可与我们联系,我们将立即进行删除处理。