来源:医博士 | 2024-05-24
甲状旁腺癌(PC)是一种极为罕见的内分泌恶性肿瘤,约占所有恶性肿瘤的0.005%,占0.5%-5%的原发性甲状旁腺功能亢进(PHPT)病例,导致骨代谢异常、血清钙升高和肾功能受损。PC的术前诊断具有挑战性,因为缺乏恶性病变的特定临床鉴别特征,浸润性生长和转移的病理诊断被认为是恶性肿瘤最可靠的证据。第一次手术时对肿瘤病变进行彻底根治性切除是治愈PC的关键。
骨饥饿综合征(HBS)是甲状旁腺手术的一种严重并发症,其特征是甲状旁腺切除术后的严重低钙血症,通常伴有低磷血症和低镁血症。到目前为止,很少有以肌肉萎缩为主要症状的PC病例被报道。本文报告一名PC患者,其主要症状为多发性病理性骨折和肌肉萎缩,甲状旁腺切除术后并发HBS。
病例介绍
一名57岁的男子于2023年1月9日因全身性骨痛伴疲劳2年,加重1 周入院。2 年前全身骨痛伴随着无明显诱因的疲劳,病情逐渐加重,在自己服用口服镇痛药后并没有明显缓解。在过去1 周,上肢和臀部的疼痛明显比以前更严重。患者没有外伤史、体重减轻史或任何肿瘤家族史。
体格检查显示,患者被推进病房时出现局部压迫性疼痛,双上肢活动能力受损;双下肢等长,活动受限明显;右下肢正轴性撞击痛;右侧髋关节活动受损,压痛明显,皮肤下无肿胀和瘀伤;四肢肌肉不同程度萎缩,两上肢、两下肢肌力约为3级;二头肌反射、三头肌反射、膝腱反射减弱;四肢无感觉异常;未引起病理反射;脑膜刺激为阴性;左侧颈部触及一2 cm × 2cm较硬肿块,活动差;没有明显肿大的淋巴结。
实验室检查显示血清钙水平为3.55 mmol/L(正常范围:2.25-2.75 mmol/L),碱性磷酸酶(ALP)为608 U/L(正常范围:40-125 U/L),肌酸(Cr)为110 mmol/L(正常范围:57-97 mmol/L),尿素氮(UN)为8.7 mmol/L(正常范围:2.5-7.1 mmol/L),甲状旁腺激素(PTH)为2565.0 pg/mL(正常范围:15-65 pg/mL),甲状腺功能检查和其他检查均无明显异常。
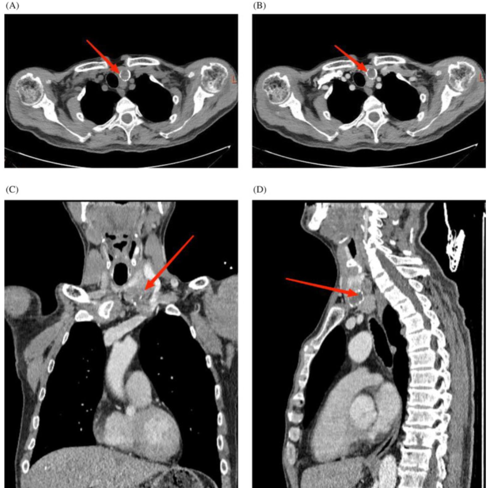
颈部超声(US)显示左侧甲状腺有3.5 cm×3.2 cm低回声肿块伴微小钙化点,左侧甲状腺下叶后方1.5 cm×1.5 cm低回声结节,边缘不明确,考虑到甲状旁腺起源的可能性;颈部计算机断层扫描(CT)和增强CT扫描显示左甲状腺叶增大,一3.4 厘米×2.8 cm不规则稍低密度影和圆形钙化灶向下突出至左侧气管旁间隙;左甲状腺下叶后部的1.3cm轻微圆形低密度阴影向后生长到食管前间隙,考虑为甲状旁腺肿块(图1)。

图1 颈部计算机断层扫描(CT)和对比增强计算机断层扫描:(A)CT显示左甲状腺叶增大,有不规则的轻微低强度阴影和圆形钙化灶,左甲状腺下叶后方有轻微圆形低强度阴影;(B) CECT显示左甲状腺叶低密度阴影增强扫描;(C) 甲状腺冠状位显示一个不规则形状的左侧颈部肿块向下突出到左侧气管旁间隙并压迫颈静脉;(D) 左甲状腺叶的矢状面显示乳头状肿块向后生长到食管前间隙
骨盆X光片显示右股骨颈骨折,左髋关节周围肌肉萎缩(图2A)。肩关节和骨盆的三维CT扫描显示双侧肱骨干骨折、右股骨颈骨折以及肩关节和盆腔组成骨的骨密度下降(图2B,C)。腹部CT扫描显示两个肾脏有多处腹腔内结石。

图2 (A) 骨盆X光片,显示右股骨颈骨折和左髋周围肌肉萎缩;(B) 肩关节三维计算机断层扫描(CT),显示双侧肱骨干骨折;(C) 骨盆三维CT,显示右股骨颈骨折,对齐良好
考虑到患者的钙水平(3.55 mmol/L)和甲状旁腺激素(2565.0 pg/mL)明显升高,UN(8.7 mmol/L)和Cr(110 mmol/L)升高、颈部肿块和严重骨骼损伤,内分泌科、骨科、肾脏科、神经病学、影像学和肿瘤外科被邀请参加多学科会诊(MDT)。MDT建议,鉴于严重的骨质疏松和骨皮质薄,患者不能进行骨折内固定手术;双侧肱骨干骨折和右股骨颈骨折均无明显移位,可采用保守治疗,如应用石膏绷带、镇痛药、静脉滴注唑来膦酸(4 mg),口服骨化三醇胶囊;此外,也没有排除甲状旁腺肿瘤的可能性,因此建议对甲状腺进行手术治疗。
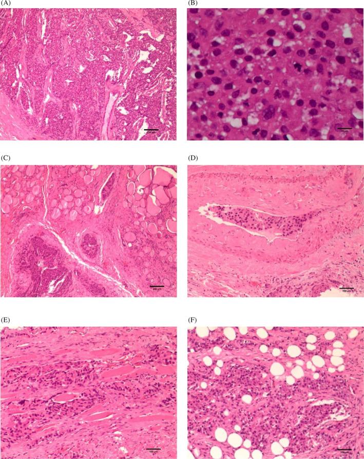
在完成骨扫描等相关检查以排除原发性和继发性骨恶性肿瘤后,于2023年1月18日对左甲状旁腺肿块进行了完全切除。术中发现左侧甲状旁腺肿块侵犯左侧甲状腺叶及其周围组织,冷冻结果被认为是甲状旁腺起源的肿瘤,然后对甲状旁腺肿瘤进行根治性切除 + 移除相关组织结构 + 左甲状腺和峡部切除术 + 左颈部VI区淋巴结清扫。术后病理诊断为PC,无淋巴结转移(0/4)。苏木精和伊红(HE)染色显示PC侵入甲状腺叶、脂肪和横纹肌组织(图3)。免疫组化显示,肿瘤细胞甲状腺转录因子-1(TTF-1)阴性,甲状腺球蛋白阴性,嗜铬粒蛋白A(CgA)阴性,突触素部分阳性,甲状旁腺激素阳性,CD31和CD34(血管表达)阳性,D2-40(淋巴+)阳性,Ki67为10%(图4)。术后给予补钙、补液和口服左旋甲状腺素片。

图3 苏木精和伊红染色:(A)为甲状旁腺癌肿瘤细胞(比例尺=250μm,×40);(B) 肿瘤细胞的核分裂(比例尺=25μm,×400);(C) 甲状腺组织侵犯(比例尺=250μm,×40);(D) 血管侵犯(比例尺=100μm,×100);(E) 横纹肌组织侵犯(比例尺=100 μm,×100);(F) 脂肪组织侵犯(比例尺=100 μm,×100)

图4 免疫组织化学染色:(A)肿瘤细胞PTH阳性(比例尺=100 μm,×100);(B) 甲状腺转录因子-1(TTF-1)呈阴性(比例尺=100 μm,×100);(C) 突触素(SYN)呈部分阳性(比例尺=100 μm,×100);(D) 肿瘤细胞CD31(血管表达)呈阳性(比例尺=100 μm,×100);(E) Ki67为10%(比例尺=100 μm,×100)
术后24h,患者的血压为100/70 mmHg;心率为120次/分;PTH降至9.57 pg/mL;钙水平降至2.88 mmol/L,磷水平降至0.55 mmol/L;然后及时给予大量的葡萄糖酸钙和维生素D。出乎意料的是,血清钙和磷水平在术后1周持续下降,PTH逐渐升高并恢复到正常范围(表1);同时,精神状态不佳,感到疲劳,口周和指尖麻木;我们认为这种情况是HBS。连续补充钙1 个月后,患者好转,口周指尖麻木消失;复查血清钙水平为2.15 mmol/L,PTH为76.80 pg/mL(表1)。甲状旁腺切除术后9个月(2023年10月25日),患者全身骨痛和疲劳较术前明显缓解,复查时钙和甲状旁腺激素降至正常范围(表1)。骨折已达到临床愈合标准,外固定已解除。可以自由活动,也可以做一些低强度的体力活。

表1 患者PTH、钙和磷水平的术前和术后变化
小结
该病例中PC的诊断复杂且具有挑战性,因为其临床表现没有特征性,因此很难在术前与甲状旁腺腺瘤或增生区分开来,甲状旁腺腺瘤或增生也会导致PHPT。临床证据协助早期怀疑恶性肿瘤。当患者出现全身性骨痛、多发性病理性骨折、高钙血症、肌肉萎缩和颈部可触及的肿块时,应该考虑甲状旁腺疾病的可能性,尤其是PC。与PC的其他表现相比,肌肉萎缩相对罕见,应该认真对待。此外,HBS是甲状旁腺切除术一种罕见且危及生命的并发症;及时的电解质监测和可供选择的干预方案可以预防症状性低钙血症,改善预后。然而,如何确定对有发展为HBS高危因素的PC患者进行钙补充治疗的适当时机值得进一步研究。
医博士编译自: Liu Q, Zhang Y, Ma D, et al. Multiple pathological fractures and muscle atrophy caused by a parathyroid carcinoma with postoperative hungry bone syndrome: A case report. Cancer Reports (Hoboken). 2024; 7(4):e2047. doi:10.1002/cnr2.2047.
声明: 所有注明“来源:医博士”的文字、图片和音视频资料,版权均属于医博士所有,转载须注明“来源:医博士”;所有转载文章系出于传递更多信息之目的,且明确注明来源和作者,不希望被转载的媒体或个人可与我们联系,我们将立即进行删除处理。