来源:医博士 | 2024-06-11
生殖细胞瘤是主要影响性腺的生殖细胞肿瘤,但也可出现在性腺外,沿着身体的中线结构。颅内生殖细胞瘤是一种罕见的脑肿瘤,主要影响儿童和年轻成年患者。它们通常发生在松果体或鞍区/鞍上区,较少发生在基底神经节/丘脑。患者可能表现为广泛的非特异性内分泌、视觉和认知障碍,导致诊断延迟。缓慢的肿瘤进展还会影响诊断。准确的诊断是基于免疫组织病理学和分子生物学特征。尚未建立最佳治疗策略。生殖细胞瘤通常对放疗、化疗或两者的结合反应良好,5年总生存率高达96%。最近,人们越来越关注这种治疗的后期后果。
由于缺乏来自垂体的刺激性激素,鞍上区的生殖细胞瘤导致尿崩症、视觉障碍和垂体功能减退的临床表现。本病例报告的目的是提出一个罕见的脑肿瘤患者-一种鞍上生殖细胞瘤,伴有一种罕见的内分泌状况-垂体功能减退症相关,即使在潜在的原因已经治愈后仍然存在。
病例介绍
患者女性,12岁。因进行性视力丧失6个月和早晨额顶头痛3周而被送到急诊室。患者报告在过去6个月中逐渐丧失视力,并在早晨出现长达3周的额顶部头痛。否认恶心、呕吐、复视或其他症状。因患者在8岁和11岁时接受了斜视手术,眼科医生定期对其进行随访。父母否认有任何恶性肿瘤家族史。
体格检查显示病人总体情况良好。一般生命体征包括血压105/69mmHg,脉搏率82次/分钟,氧饱和度100%,腋窝温度36.7℃。女孩的生长发育符合年龄要求[身高157cm,体重49公斤,体重指数(BMI)19.8]。性成熟正常,Tanner 2期乳房发育,Tanner 1期阴毛发育。国家神经学检查是正常的。眼科检查显示,与6个月前进行的前一次检查相比,双侧视神经乳头水肿和视力丧失50%。
异常的实验室检查结果包括较低水平的甲状腺素(7.46pmol/L,参考范围10-26pmol/L)、皮质醇(53.52nmol/L,早上8点采集的血样范围171-536nmol/L)、卵泡刺激素(FSH) (<0.1 IU/L,范围3-10 IU/L)、黄体生成素(LH) (< 0.1 IU/L,范围2-8 IU/L)、雌二醇(<18 pg/mL,范围促甲状腺激素(TSH) (1.53 mIU/L,范围0.58-4.1 mIU/L)和促肾上腺皮质激素(ACTH) (2.20 pmol/L,范围2-11 pmol/L)在正常范围内。催乳素水平(1063 mIU/L,范围40-530 mIU/L)升高。垂体功能减退的诊断是建立在垂体前叶激素(促性腺激素FSH和LH)和靶激素甲状腺素和皮质醇水平降低的基础上的。β-人绒毛膜促性腺激素(β-hCG)和甲胎蛋白(AFP)肿瘤标志物均为阴性。乳酸脱氢酶(318 U/L,范围152-284 U/L)和尿酸浓度(436 mol/L,范围125-293 mol/L)略有升高。
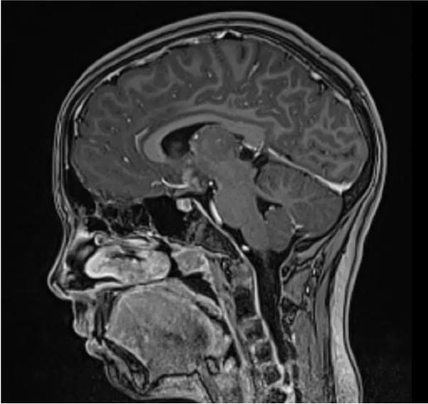
脑部紧急核磁共振成像(MRI)显示鞍上肿块尺寸为22mm×18mm,肿瘤压迫前连合和灰结节,延伸至第三脑室底部。病灶在非增强T1加权像(WI)上与大脑信号相同,显示均匀增强。轴向T2WI MRI扫描显示病变与大脑信号相同。漏斗部和视交叉合并到肿块中,在松果体区发现一个13mm×10mm的囊肿。未观察到钙化、缺血或出血迹象(图1)。

图1、十二岁女孩的鞍上生殖细胞瘤。 矢状位脑磁共振成像(MRI)扫描显示一个具有小叶轮廓的鞍上病变,邻近灰结节和前连合,涉及垂体漏斗部和视交叉。A和B:病变在非对比T1加权图像(WI)上与大脑信号相同(A),并显示均匀对比增强(B);c:轴位T2WI MRI扫描显示病变与大脑信号相同
患者最终诊断为鞍上生殖细胞瘤,最终诊断通过影像学研究和免疫组织病理学确定。
开始使用氢化可的松和左旋甲状腺素进行替代治疗,但由于患者的临床情况要求进行紧急干预,因此没有进行基础状态下的额外激素水平和动态刺激试验。
病人被转到另一家医院的神经外科。进行了最大限度的肿瘤缩小术,术后48小时的脑MRI显示残余肿瘤最少。术后过程顺利。脊柱核磁共振成像和脑脊液细胞学检查证实为非转移性疾病。经病理组织学检查确诊为鞍上生殖细胞瘤。免疫组织化学显示CD117、OCT-3/4、病灶细胞角蛋白和胎盘碱性磷酸酶阳性,CD30、β-hCG和AFP染色阴性,有助于准确识别肿瘤类型。
根据SIOP中枢神经系统GCT II方案继续对患有颅内生殖细胞肿瘤的儿童、青少年和青壮年进行术后治疗。治疗前调查包括重复内分泌状态,包括促甲状腺激素(0.66mIU/L,范围0.58-4.1mIU/L)和促肾上腺皮质激素(《0.22 pmol/L,范围1.6-13.9pmol/L)和肿瘤标志物、常规血液检查、肾功能以及听力、眼科和神经认知评估。
植入中心静脉导管。辅助化疗包括两个疗程的卡铂/依托泊苷,交替两个疗程的异环磷酰胺/依托泊苷。这些疗程每隔21天进行一次;只有第二个疗程因血液毒性而推迟。四个疗程化疗后的脑部MRI显示没有残留肿瘤(图2)。在后期,患者接受了放射治疗,接受了全脑室照射和肿瘤床照射,总剂量为24gy(15次分割,每次分割剂量为1.6 Gy)。

图2、化疗结束后的脑部磁共振成像。 磁共振成像显示没有残留肿瘤
由于持续的垂体功能减退,进行了激素替代治疗,使用重组人生长激素(GH)(生长激素,每日皮下注射1×2.25 mg)、氢化可的松(每日口服10+5+5 mg)、左甲状腺素(每日口服1×125 mcg)和雌激素(17β-雌二醇,每日口服1×1 mg)。缺水试验诊断为中枢性尿崩症,需要去氨加压素治疗(每天舌下含服2×60微克)。两年后添加孕激素(醋酸甲羟孕酮,每日口服1×5 mg)。
肿瘤学家和内分泌学家定期对患者进行随访。八个月的生长激素治疗使身高增加了7厘米(从162厘米增加到169厘米)。抗肿瘤治疗结束后,观察到体重显著增加,三年内体重从49公斤和身体质量指数从19.2增加到95公斤(增加94%)和身体质量指数从32.3(增加68%)。这个女孩15岁时第一次来月经。有明显的心理变化,表现为自卑、抑郁、焦虑和对同龄人的不适应,需要心理和精神支持。
治疗结束三年半后,患者病情缓解,定期进行肿瘤学随访(MRI)和激素替代治疗。
讨论
垂体机能减退被定义为一种或多种垂体激素的部分或完全缺乏。临床表现因潜在疾病、特定垂体激素缺乏的数量和严重程度而异。出现提示垂体功能减退的体征和症状时,应立即进行进一步调查,包括全面的临床病史和体格检查、基线生化检测、基础条件下和适当刺激后的激素水平测量以及以垂体为病灶的脑部成像。
垂体机能减退分为原发性(由脑垂体疾病引起)和继发性(由下丘脑疾病引起)。它可以是先天性的(与结构性垂体和下丘脑异常有关)和获得性的。获得性垂体机能减退可由垂体的任何损伤引起,包括肿瘤、外伤、感染、自身免疫性疾病、化疗和放射治疗。病情初始阶段具有隐匿性,通常第一个缺乏为GH,其次是促性腺激素,最后是TSH和ACTH。加压素缺乏在原发性垂体疾病中很少见,但在垂体柄和下丘脑的病变中频率较高。缺乏所有激素(全垂体功能减退)导致所有靶腺功能减退。在儿童中,缺乏生长激素导致身高增长缓慢,缺乏促性腺激素导致青春期发育延迟。TSH缺乏导致甲状腺功能减退,典型的临床表现为面部浮肿、声音嘶哑、心动过缓和怕冷。ACTH缺乏导致肾上腺素减少,伴有疲劳、低血压、对压力的耐受性降低和感染。
治疗的基础是去除原发病理,同时用激素替代功能减退的目标腺体。在垂体卒中和下丘脑压迫伴有con进行性恶化的情况下意识,需要紧急手术。
原发性垂体机能减退的主要原因是垂体肿瘤,包括生殖细胞来源的肿瘤。生殖细胞瘤是一种罕见的颅内肿瘤,估计在西方国家发生率在0.4%-3.4%之间。这些肿瘤大多沿中线发展,主要来自松果体,通常表现为尿崩症、视力障碍和下丘脑-垂体轴衰竭。组织病理学和免疫组织化学诊断对于最佳治疗是必要的。术前分期包括颅脊髓磁共振成像,脑脊液细胞学检查,以及血清和脑脊液中生物肿瘤标志物的测定。手术入路由MRI结果决定,切除范围由分期和术中冰冻切片的组织病理学评估决定。治疗应个体化,通常包括手术、铂类化疗和局部放疗(全脑室和肿瘤床放疗)的组合。生殖细胞瘤对化疗和放疗非常敏感,治疗效果极佳。最大的挑战是将放射治疗的副作用降至最低,并改善出现神经、神经认知和内分泌损伤的患者的生活质量。
本病例病人有一个与潜在疾病相关的视力下降和头痛的典型表现。垂体功能减退,甲状腺素、皮质醇、IGF-1和促性腺激素水平降低,临床上无症状。紧急脑部核磁共振显示鞍上肿瘤,手术后经免疫组织病理学诊断为生殖细胞瘤。进行了辅助化疗和放疗,获得了完全缓解。由于治疗后全垂体功能减退,医生开出了生长激素、氢化可的松、左旋甲状腺素、雌激素、孕激素和去氨加压素的激素替代疗法。
所有报告的病例都强调了对具有内分泌和神经系统表现的患者进行仔细的临床和放射学随访的重要性。综合多学科参与,包括儿童肿瘤学、内分泌学、神经外科、病理学、放射肿瘤学和心理学,可以优化鞍上肿瘤和垂体功能减退儿童的复杂护理。
结论
鞍上生殖细胞瘤是一种罕见的恶性脑肿瘤,在诊断和治疗后可能与垂体功能减退有关。虽然预后良好,但它们仍然是诊断和治疗的挑战。本病例强调了及时诊断、采用多学科方法的多模式治疗以及对受影响患者进行仔细的终身护理的重要性。
医博士编译自:Roganovic J, Saric L, Segulja, et al. Panhypopituitarism caused by a suprasellar germinoma: A case report. World Journal Of Clinical Cases. 2024; 12(10):1844-1850. doi:10.12998/wjcc.v12.i10.1844.
声明: 所有注明“来源:医博士”的文字、图片和音视频资料,版权均属于医博士所有,转载须注明“来源:医博士”;所有转载文章系出于传递更多信息之目的,且明确注明来源和作者,不希望被转载的媒体或个人可与我们联系,我们将立即进行删除处理。