来源:医博士 | 2024-06-12
噬血细胞性淋巴组织细胞病(HLH)是一种侵袭性的、危及生命的免疫失调综合征,于1939年首次被发现。从那时起,人们对这种疾病的了解大大增加。HLH有两种亚型:原发性与免疫系统的基因突变有关,继发性与各种触发因素(感染、肿瘤、自身免疫性疾病等)有关。在大多数情况下,HLH是由感染源引发的;与病毒(eb病毒、巨细胞病毒、单纯疱疹病毒、人类免疫缺陷病毒)、细菌(分枝杆菌)、真菌(念珠菌)和寄生虫感染(利什曼原虫)的关联更为常见。
HLH的诊断是困难的,因为它的可变表现和非特异性的临床特征,可与其他疾病病理过程混淆。典型的临床表现包括发热综合征、肝脾肿大,伴有全血细胞减少症、转氨酶升高、高胆红素血症、低纤维蛋白原血症、凝血功能障碍、低白蛋白血症、低钠血症、高甘油三酯血症和高铁蛋白血症等实验室改变。为了便于识别,国际组织细胞学会根据临床特征和实验室结果建立了诊断标准(表1)。

表1、HLH诊断标准
未经治疗的继发性HLH的死亡率估计为50%;然而,对于有基础疾病的患者,如免疫缺陷、不受控制的艾滋病毒感染或癌症,即使接受治疗,也可能更高。尽管如此,据报道,在目前的治疗方法下,生存率在50%-70%之间。
本研究的目的是提醒人们注意这种低频率但潜在致命的疾病,由于缺乏临床怀疑或对HLH的缺乏认知,它可能与其他疾病(如败血症或严重感染)混淆。
病例介绍
患者1岁零8个月,女性,除就诊原因外健康。因长期发热综合征和广泛的口腔念珠菌病在布宜诺斯艾利斯市的一家儿童医院就诊。体格检查显示一般情况正常,临床及血流动力学代偿,体重正常,皮肤及粘膜苍白。患者患有双侧急性中耳炎,但没有淋巴结病变,内脏肿大或其他阳性发现。在这种情况下,实验室检查显示转氨酶水平升高(天冬氨酸转氨酶[AST] 2737 IU/L,丙氨酸转氨酶[ALT] 752 IU/L),血球计数、肾功能检查和凝血检查正常。由于怀疑是不明原因的肝炎,住院接受评估。并被诊断为垂直传播的HIV感染,聚合酶链反应(PCR)阳性,病毒载量大于1000000copies/mL, CD4+ T细胞总数为456/mm3(14%)。为了排除主要的机会性感染(肺结核、吉罗氏肺囊虫病、弓形虫病、隐球菌病、脑炎、巨细胞病毒、EBV)和其他性传播感染(乙型肝炎、梅毒),进行了多次补充试验,并开始使用雷替格拉韦、拉米夫定和齐多夫定进行抗逆转录病毒治疗(ART)。
住院10天后,即开始抗逆转录病毒治疗24小时后,患者出现一般情况恶化,心动过速和呼吸急促,无内脏肿大迹象,伴有发热综合征复发和实验室改变(三血细胞减少症,转氨酶水平持续升高,高甘油三酯血症,铁蛋白和d -二聚体水平升高,c反应蛋白正常)(表2)。微生物培养(2例血培养和1例尿培养)为阴性,开始使用头孢噻肟和阿米卡星经验性抗生素治疗,无反应。在这种情况下,考虑了继发于不受控制的HIV感染的HLH病例的可能性。对合并病毒感染进行检测,结果显示EBV PCR阳性(2454份,先前PCR阴性),CMV PCR阴性。考虑到患者符合4项诊断标准,可溶性CD25和nk细胞活性由于无法获得这些测试而无法确定,并且这种疾病预后不良,因此开始使用甲强龙冲击治疗,剂量为30mg/kg/次,连续3天,人高免疫γ球蛋白剂量为1g/kg/次。随后,发热综合征消退,一般情况和实验室参数改善(转氨酶、铁蛋白和甘油三酯水平降低),这被解释为对治疗的良好反应。继续维持皮质类固醇治疗(地塞米松10mg/m2/天)。
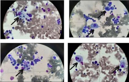
地塞米松治疗22天后,在降剂量的情况下,患者出现临床恶化,炎症综合征复发(表2)。重复检测,CD4+淋巴细胞持续减少506/mm3(13%), PCR检测CMV 6 645 000拷贝,再次怀疑HLH。骨髓穿刺发现巨核细胞增生和噬血细胞增多(图1),证实了诊断推定。患者接受与静脉更昔洛韦抗病毒治疗相关的相同治疗33天,直到病毒载量为阴性并排除累及靶器官的可能性。住院94天,经适当治疗机会性感染、HIV、HLH,患者临床及免疫状态稳定,可继续门诊随访。

表2、患者开始抗逆转录病毒治疗24小时后,实验室检查结果转变

图1、骨髓穿刺镜像
讨论
HLH是一种潜在致命的临床病理综合征,其特征是免疫反应失控和无效化,导致多系统参与的长期和强烈炎症状态,它分为原发性和继发性HLH;后者包括巨噬细胞激活综合征。
原发性HLH是由于各种基因突变或与原发性免疫缺陷相关的T细胞和自然杀伤细胞功能改变引起的。在本病例的患者中,原发性HLH被排除,因为没有家族病史或个人病史,并且由于伴有急性感染,因此被认为是继发性HLH。
相反,在没有基因突变和家族史的情况下,继发性HLH与各种免疫稳态中断有关。继发性HLH最常见的形式与病毒感染有关(EBV, CMV, HSV,HIV)、细菌(分枝杆菌)、真菌(念珠菌)和寄生虫(利什曼原虫)。其中,EBV被描述为能够发展继发性HLH的主要感染因子,因为它对B细胞有趋向性,有助于细胞毒性T细胞的增殖和巨噬细胞的激活。因此,当怀疑继发性HLH时,对EBV进行PCR检测至关重要。在本病例中,患者入院时EBV呈阴性;病毒载量太低,不能假设有关联;随后的筛查结果为阴性。由于这个原因,第一次HLH事件被认为是继发于未控制的HIV感染,这是参考文献中描述过的情况。
在HIV感染患者中,病程更为剧烈:这可能是由于他们的免疫失调和潜在的免疫缺陷,这使得他们更容易受到机会性感染。反过来,复发性HLH已经被描述,正如在本病例患者中观察到的那样。
此外,HLH可能在恶性肿瘤(白血病或淋巴瘤)、代谢紊乱或长期使用免疫抑制剂治疗的情况下发展。巨噬细胞激活综合征是继发性HLH的一个变种,它是一些自身免疫性疾病的并发症,如青少年特发性关节炎、系统性红斑狼疮或川崎综合征,在本病例中所有这些都被排除或未观察到。
本病例患者的第二个事件显然与巨细胞病毒感染有关,具有高病毒载量。在HIV感染未得到控制的患者中,如果有很高的HIV-1/a和a-1,并且有大量的HIV-1/4或C-4/C,但在a-r-t起始时,应考虑免疫重建炎症综合征(IRIS)考虑到持续的CD4+淋巴细胞减少和BMAP与HLH相容的事实,排除了IRIS。
由于这种综合征的性质和疾病治疗的存在,早期诊断是至关重要的治疗HLH包括消除诱发因素和临床支持,以及消炎药和免疫抑制剂。这些治疗旨在抑制导致器官损伤和对感染易感性增加的高炎症状态和免疫失调。通常使用皮质类固醇治疗(地塞米松10mg/m2,根据HLH-94和HLH-2004方案,主要形式,甲基强的松龙次要形式),免疫抑制剂,细胞抑制剂,免疫调节剂,单克隆抗体和抗细胞因子药物,如免疫球蛋白,环孢素A,依托泊苷,阿那金,胸腺球蛋白,阿仑单抗,利妥昔单抗。在这里所描述的病例中,没有必要使用后一种药物,因为高炎症状态是用皮质类固醇控制的,病因治疗包括抗病毒药物。
由于一个疾病过程是动态的,且有复发的风险,以及所使用药物的不良反应,很难根据每个机构的经验建立严格的治疗方案。
小结
总之,继发性HLH是一种罕见但严重的综合征,在存在高炎症状态时应考虑作为鉴别诊断。由于该综合征的高死亡率,值得强调提高对其认识的重要性,因为早期发现和及时治疗有助于改变患者的预后和死亡率。
医博士编译自:Potanski R, Barsante L, Garreta MC, et al. Hemophagocytic lymphohistiocytosis in a child with human immunodeficiency virus in the setting of opportunistic viral co-infections. Archivos Argentinos De Pediatria. 2024; 4:e202310293. doi:10.5546/aap.2023-10293.eng.
声明: 所有注明“来源:医博士”的文字、图片和音视频资料,版权均属于医博士所有,转载须注明“来源:医博士”;所有转载文章系出于传递更多信息之目的,且明确注明来源和作者,不希望被转载的媒体或个人可与我们联系,我们将立即进行删除处理。