来源:医博士 | 2024-06-25
鼻腔球周皮细胞瘤(GPC)是一种极为罕见的肿瘤,被定义为具有血管周围肌样表型的鼻腔间充细胞瘤。GPC肿瘤的恶性潜能较低,据报道不到鼻腔肿瘤的0.5%。虽然GPC最初被认为属于毛细血管瘤和血管球瘤等血管瘤,但自2005年以来,世界卫生组织已将其归类为一个独特的实体。早期病例多为60-70多岁的老年患者,通常表现为鼻塞和/或鼻出血。标准的治疗方案是完全手术切除,复发风险低(16-17%)。我们在此报道了一例37岁女性的病例,该女性没有明显的鼻出血史。
病例介绍
一名37岁的成年女性患者,有5年间歇性双侧鼻塞和面部疼痛及肿胀病史。否认有嗅觉缺失和鼻出血。既往有严重的II型糖尿病和高血压病史。之前没有做过鼻腔手术,也没有鼻腔外伤史。检查发现鼻中隔偏曲,左鼻中鼻道内见一新生物,阻塞左侧中鼻道。CT检查结果显示粘膜息肉样外观,部分阻塞左鼻道,鼻腔粘膜增厚,引流无阻塞(见图1)。

图1 CT检查显示粘膜息肉样编,部分阻塞左鼻道,粘膜增厚,引流路径无阻塞
类固醇喷雾剂和鼻窦冲洗无明显好转,因此继续进行手术,术式为内镜下左侧上颌窦开放、前筛和部分后筛切除、鼻中隔成形术以及双侧下鼻甲外移术。在手术过程中,左侧中鼻甲由于息肉样变而被部分切除。巨大的左侧孤立新生物用切割钻切除。所有标本均进行病理检查。最终病理诊断为鼻腔GPC和慢性鼻窦炎。
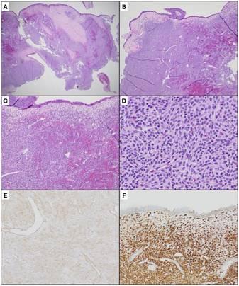
免疫组织化学(IHC)染色显示SMA、β-连环蛋白(核)和细胞周期蛋白D1阳性,STAT6、ERG、泛角蛋白(AE1/AE3 + CAM5.2 + MNF116)、SOX10和S100阴性,与GPC一致(见图2),未见明显侵袭。手术后与患者讨论了病理结果,并安排为期六个月的随访,以评估复发情况。

图2 组织病理学结果符合球周皮细胞瘤
讨论及小结
病理标本的采集和IHC分析对GPC的诊断至关重要。常见的患者症状包括单侧鼻腔阻塞和/或鼻出血,以及CT、MRI或内窥镜检查成像中明显的新生物特征。文献描述GPC病例主要发生于60-70岁的患者,女性稍多于男性,然而GPC的罕见性和有限的病例数量使其难以概括患者的人口统计数据。
GPC的病因仍然不明,尽管文献中提到了与高血压、妊娠、既往创伤或皮质类固醇使用相关,然而,还需要进一步的研究。
尽管GPC的详细报道很少,而且很罕见,但应将其纳入鼻腔肿物的鉴别诊断中。本病例说明:无论术前关注程度如何,都必须收集病理标本。此外GPC等肿瘤可能发生在无既往史的年轻患者中。需要进一步的研究来阐明GPC的确切发病机制,以更好地治疗。
医博士编译自:Nichol AA, Bernard BJ & Gilani S. A case report of sinonasal glomangiopericytoma: An important reminder to always collect specimen. scientific-programming. 2024; 107(2):368504241253679. doi:10.1177/00368504241253679.
声明: 所有注明“来源:医博士”的文字、图片和音视频资料,版权均属于医博士所有,转载须注明“来源:医博士”;所有转载文章系出于传递更多信息之目的,且明确注明来源和作者,不希望被转载的媒体或个人可与我们联系,我们将立即进行删除处理。