来源:医博士 | 2024-06-28
炎症性肠道疾病(IBD)患者通常维生素D水平低。低维生素D历来被认为是这些患者肠道吸收不良的原因,尽管有研究表明维生素D可能有助于IBD的病理生理学,从而导致电解质吸收不良,如本病例中所假设的那样。目前的维生素D替代疗法指南是基于骨骼矿化需求的,并承认缺乏关于治疗骨骼外维生素D缺乏症的建议的研究。
病例介绍
患者15岁,白人男性,有腹型偏头痛病史(据报道在赛庚胺和奥美拉唑的治疗下得到了很好的控制),紧急表现为手足抽搐和横纹肌溶解。一直保持着正常的健康状态,直到几天前出现在急诊科,有3天的腹泻、痉挛和发烧史。
患者自诉四肢麻木和刺痛持续几天,逐渐发展为全身痉挛,最终瘫痪,无法从坐位站立。发烧至103.2华氏度(39.6摄氏度),心动过速,体重减轻2.5千克。实验室异常包括低钙血症、低钾血症、低镁血症和肌酐激酶升高(转运文件中未提供具体水平)。在转到文章发表机构之前,接受了葡萄糖酸钙、镁和氯化钾静脉输液。
到达急诊科时,患者生命体征不明显,BMI为16.6 kg/m2。体检发现肌肉疼痛和轻度虚弱。心电图显示正常窦性心律。在初始设施治疗后的重复实验室列于表中。
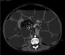
电解质紊乱得到纠正后,开始规律饮食。用组织转谷氨酰胺酶IgA进行乳糜泻筛查和粪便PCR病原体检测均为阴性。腹部X光显示肠梗阻,可能伴有部分肠梗阻。计算机断层扫描显示炎性改变,回肠末端壁增厚,狭窄7cm(图1),引起部分小肠梗阻。咨询了胃肠病学和外科团队。

图1、CT显示小肠梗阻
食管胃十二指肠镜和结肠镜检查显示除盲肠外的整体外观正常,盲肠显示结肠炎,其内腔狭窄且标志扭曲,妨碍回盲瓣插管(图2)。病理学报告显示无明显组织病理学变化。然而,考虑到临床表现、影像学和实验室检查,累及回肠末端的克罗恩病被认为是最有可能的诊断。
开始使用皮质类固醇,随后症状有所改善。服用阿达木单抗出院了。一个月后,出现了小肠梗阻并接受了回盲部切除术,其组织学符合慢性回盲炎并回肠纤维化狭窄。在每周服用麦角钙化醇50,000 IU 3个月后,患者的水平仍然很低,为20.5 ng/mL。由于保险考虑,该患者目前仍在服用甲氨蝶呤和叶酸,但记录显示患者依从性较差。

图2、水肿盲肠的图像
讨论
该患者在未检测到维生素D和急性手足抽搐的情况下接受了克罗恩病治疗。大部分维生素D在皮肤中合成,摄入的部分由肠细胞吸收。由于该患者没有长期胃肠道症状和有限的回肠克罗恩病,因此尚不清楚为什么如此缺乏以及为什么没有通过标准口服替代物改善。
是否有维生素D缺乏是IBD病的发病原因,或者仅仅是吸收不良的结果,这是一个新的研究领域。众所周知,维生素D可以调节血液中的钙水平,但最近,维生素D也被证明对免疫系统也有一定的影响。
维生素D通过几种机制调节钙。对于这种情况,最相关的机制是维生素D刺激肠道对钙的吸收。事实上,维生素D受体浓度最高的是肠上皮细胞。1,25‐二羟基维生素D(1,25(OH)D)与核维生素D受体结合,核维生素D受体与视黄酸受体复合。这种复合物然后激活TRPV6的转录,Trp V6是一种嵌入上皮表面的钙转运通道,允许从饮食中吸收钙。
紧密连接蛋白2和12——构成紧密连接并提供肠腔屏障的跨膜蛋白——被发现通过显著增加钙吸收来响应1,25(OH)D信号。重要的是,发现紧密连接蛋白2和12在回肠中浓度最高,使其成为钙吸收最高的部位。
维生素D的另一个功能是免疫系统调节。位于凯萨林菌素启动子区域的维生素D受体促进这种抗微生物肽的转录。凯萨林菌素消除革兰氏阴性细菌细胞的循环内毒素,并防止因其他细胞死亡而促进细胞死亡。
维生素D对免疫系统也有一些先天的反馈控制。维生素D被发现抑制单核细胞上的toll样受体2(TLR2)和TLR4。TLRs是先天免疫级联反应的重要组成部分。具体来说,TLR2和TLR4被认为在IBD很重要,因为TLR2被认为能识别革兰氏阳性菌,而TLR4被认为能识别革兰氏阴性菌。在IBD患者中,TLR2和TLR4的表达水平高于正常水平,表明这种上调可能在对疾病的免疫反应中起作用。因此,如果维生素D抑制TLR2和TLR4,它可能会降低肠道的整体炎症反应。
小结
上述免疫调节和上皮屏障调节障碍和维持的证据是IBD发病机理中的关键组成部分。本报告没有详细审查其他机制。上述研究强调了继续研究维生素D的作用和其他缺乏原因的重要性,尤其是在IBD病例增加的情况下。
医博士编译自:Esswein J, Vickers M, Kleinman M, et al. Cause or effect? Undetectable vitamin D in a patient with Crohn's disease. JPGN Reports. 2024; 5(2):194-196. doi:10.1002/jpr3.12045.
声明: 所有注明“来源:医博士”的文字、图片和音视频资料,版权均属于医博士所有,转载须注明“来源:医博士”;所有转载文章系出于传递更多信息之目的,且明确注明来源和作者,不希望被转载的媒体或个人可与我们联系,我们将立即进行删除处理。