来源:医博士 | 2024-07-01
下尿路异物是一种罕见但有趣的现象,由多种因素引起,从非传统的性行为到治疗干预。这种情况主要影响10-20岁的男性,表现为下腹疼痛、下尿路症状(LUTS)、血尿和尿路感染等。异物进入下尿路可能会诱发下尿路结石,导致并发症如剧烈疼痛、梗阻和感染。有证据表明,某些涉及异物的性行为可能会将异物引入下尿路,从而可能导致结石形成。
为了准确诊断,应利用成像模式,可能包括KUB(肾-输尿管-膀胱)X射线和CT扫描等技术。治疗手段从微创泌尿外科技术到个性化手术干预。膀胱镜检查被认为是诊断和干预的金标准。本病例报告介绍了一例不寻常的48岁男性下尿路多发异物病例,包括他的症状、诊断、治疗和结果。本报告旨在阐明这种情况的临床复杂性、诊断模式和不同的治疗策略。
病例介绍
一名48岁男性在过去6个月内出现下尿路症状。患者抱怨渐进性排尿困难,导致在过去两周内出现滴尿。除此之外还报告了尿急、尿不尽、夜尿增加及下腹部不适。否认有发热、血尿或肾结石病史。否认有任何异物插入史。性活跃,没有任何精神障碍的记录。
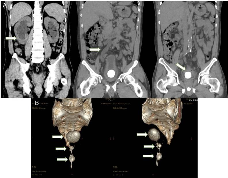
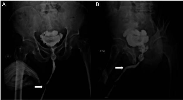
体格检查显示无耻骨上压痛、隆起或肿块。血液检查显示轻度贫血,血尿素氮升高为171 mg/dL(19.3-49.2 mg/dL),血肌酐升高为12.4 mg/dL,提示严重肾功能衰竭。尿液分析见白细胞和红细胞,提示尿路炎症。腹部X光片显示盆腔有一不透光异物及一个类似金属丝的线性不透光阴影(图1)。尿道造影显示充盈缺损和尿道扩张(图2)。CT扫描证实双侧肾积水和输尿管积水,以及大小为4.4×3cm的膀胱结石。大小为1.9×1.2cm的尿道结石也显著可见,并伴有类似金属丝的线性异物(图3)。CT扫描证实为梗阻性肾病。

图1 腹部平片显示盆腔内有一个5.5×3.7厘米的不透光阴影,以SIM卡插入器为核心,耻骨支水平处有一个1.9厘米高的细丝状不透光阴影
图2 尿道造影显示膜段有充盈缺损和尿道扩张
图3 CT扫描显示双侧肾积水、输尿管积水、膀胱结石和尿道结石包裹异物
患者被诊断为异物引起的膀胱和尿道结石、急性肾损伤和梗阻性肾病。尿道膀胱镜检查显示,一根8厘米长的针头用橡皮筋绑住,并用钳子成功取出,同时还取出了一根长10厘米的包壳电线。此外,膀胱取石术切除了一个膀胱结石,其核心类似于SIM卡插入器,尺寸为5×3cm(图4)。患者术后情况有所好转,术后1周观察到自发排尿。在6周的随访中,患者仍然没有症状,没有表现出下尿路症状,并表现出尿流量的改善,最大流速为31.7mL/s。值得注意的是,患者的肾功能也恢复了正常,勃起功能保留。

图4 术中发现异物(A)带有SIM卡插入器的膀胱结石(B)带有橡皮筋的针头(C)电线
尽管他否认有任何精神障碍病史,但由于患者的非常规性行为和插入异物,人们对潜在的精神障碍产生了怀疑。一位精神科医生诊断他患有适应障碍,强调了其中潜在的心理因素。对其进行奥氮平治疗。患者被转诊接受精神病评估和治疗。
讨论
下尿路异物的存在可能通过各种机制发生,包括医源性、迁移、自插入或创伤。自我插入,通常与性活动有关,是膀胱异物发生的主要原因。异物自行插入尿道可能是由病理性手淫、中毒或精神疾病引起的。将异物自行插入尿路的行为可能与各种精神障碍有关,包括强迫症(OCD)、性障碍、精神病障碍、物质使用障碍和情绪障碍。
尿道异物的临床表现从无症状到各种下尿路症状(LUTS)不等。膀胱异物患者可能由于下泌尿生殖道刺激而无症状或出现急性膀胱炎症状。在慢性病例中,可能会形成膀胱结石。Kamal等人报道的一例病例证明,膀胱内有异物可引起严重的肾脏并发症。
一名30岁的男子,出现梗阻症状、输尿管积水性肾病和膀胱结石。异物被推入膀胱可能是由于患者不自主的会阴肌肉收缩或不成功的自行拔出。异物到达膀胱所经过的距离约为20-25厘米。
诊断包括全面的临床病史和细致的身体检查。尿道和膀胱异物的确认可以使用X射线或超声成像来实现。计算机断层扫描可以帮助确定异物的位置、方向以及与周围内脏器官的关系。异物的治疗旨在预防并发症并保护男性的勃起功能。在这种情况下,由于其微创性,内镜下泌尿外科手术通常有利于异物去除。然而,在无效的情况下,建议进行开放手术干预。
医博士编译自:Fatahajjad HH, Ompusunggu RA, Laksita TB, et al. Multiple lower urinary tract calculi induced by foreign bodies insertion: A case report. Radiology Case Reports. 2024; 19(6):2443-2447. doi:10.1016/j.radcr.2024.02.100.
声明: 所有注明“来源:医博士”的文字、图片和音视频资料,版权均属于医博士所有,转载须注明“来源:医博士”;所有转载文章系出于传递更多信息之目的,且明确注明来源和作者,不希望被转载的媒体或个人可与我们联系,我们将立即进行删除处理。