来源:医博士 | 2024-07-12
常规的骨膜旁骨肉瘤是一种罕见的恶性骨肿瘤,占所有骨肉瘤的4%。虽然罕见,但骨膜旁骨肉瘤是骨表面骨肉瘤最常见的类型。下面报告了一例罕见的骨膜旁骨肉瘤的组织学变异的临床、组织学和影像学特征,并回顾了相关文献,强调了进行放射病理学对照以及对代表性活检进行正确解读的重要性,以获得正确的诊断。
病例介绍
患者女性,36岁,在入院前一年开始出现左膝体积增大和疼痛,VAS评分为4/10。在过去的3个月里,患者自述疼痛加剧,VAS评分为7/10,体积增加,行走困难。
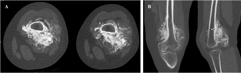
左膝正位片和侧位片显示一个外生的分叶状骨肿瘤,主要附着于骨干远端三分之一和股骨干远端后表面。肿瘤呈中心致密骨化,肿瘤与下骨间呈薄透光带(图1)。

图1、左膝正位片(A)和侧位片(B)。分叶和外生性骨肿瘤,中心致密骨化,主要毗邻骨干远端三分之一的后表面和股骨干远端。肿瘤与相邻的正常皮层(绳索的标志)之间可见透光分裂(箭头),在组织学上对应于皮层与肿瘤肿块之间的骨膜
计算机断层扫描显示股骨后表面有一个皮质旁的非均匀肿瘤。存在有低密度区和高密度区。骨髓不受影响(图2)。
图2、计算机断层扫描。轴向切面(A),多平面重建(B)。在干骺端后表面和股骨干远端三分之一处存在皮质旁肿瘤,显示大量骨化,几乎包围了整个股骨周长,识别出绳状(箭头)和皮质增厚的迹象(箭头)。骨髓未受到影响
磁共振显示为异质性肿瘤,在MRI所有序列中均有大面积低信号强度,与脂肪行为区和中等强度区交替(图3)。

图3、核磁共振
(A y B) T1矢状和轴状
(C y D) T2冠状和轴状
(E) T2与冠状动脉脂肪饱和度
(F)轴向面梯度回波
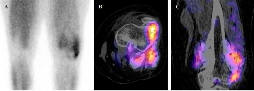
核医学:99mTc-MIBI成像报告骨病变,延伸至邻近软组织,放射性药物异常增加。病变向外侧摄取较多区域SPECT/CT报告外生性骨病变,位于干骺端,具有异质外观,放射性药物异常增加。病变呈多发阳性灶区(图4)。
图4、(A)软组织放射性药物异常增高。病变向外侧区域摄取较多。SPECT/CT轴位(B)和矢状位(C)。放射性药物异常增高的多发病灶区
行活检,组织学显示分化良好的骨小梁和梭状细胞间质,无核异型性或有丝分裂象。病理诊断为骨旁骨肉瘤,并进行了广泛的手术切除。
手术片显示一个界限良好的浅表肿瘤,不影响骨髓,但明显的关节内延伸。肿瘤约18×9×7cm3主要肿瘤体积在股后表面,但也有外侧、内侧和前表面的影响和关节延伸。肿瘤具有异质性。肿瘤周围可见淡黄色区与白色、硬区相间。肿瘤的内部由非常坚硬的白灰色组织组成。在不同的区域也有蓝白色和橡胶状的软骨状区域(图5)。

图5、手术片矢状切开。一种皮质旁肿瘤,几乎包围了股骨的整个圆周,但不侵犯髓腔。肿瘤呈异质性,有黄色脂肪带(黑色箭头)与白硬相间的区域(▲)和多个蓝白色软骨状区域
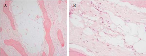
显微镜下,肿瘤黄色区可见大小不一的脂肪细胞。这些脂肪细胞以两种生长模式存在:一种是挤压排斥骨小梁的边界,另一种是梭状细胞与平行骨小梁之间的浸润模式。脂肪细胞的大小和形态存在异质性,局部存在成脂细胞。这些区域被解释为低级别高分化脂肪肉瘤(图6)。
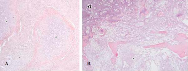
软骨成分透明,细胞少,无软骨细胞异型性,排列方式有两种:一种是由划分良好的结节组成(图6A),另一组为软骨区,周围有软骨内成骨(图6B)。在这些软骨内成骨区,发现黏液样基质向骨小梁间隙局灶性浸润,并解释为低级别软骨肉瘤(图7)。

图6、镜下脂肪成分。(一)20×:骨小梁之间有脂肪组织。(B) 40×:大小形状各异的脂肪细胞,以及细胞核向外周排斥的小多液泡细胞。这些对应成脂细胞
图7、镜下软骨成分。(一)20×:有两个透明软骨结节。结节范围有限,无异型性
(B)40x:另一肿瘤区域可见透明软骨(”)、软骨内成骨(=)和骨小梁,其间可见丰富的粘液样软骨基质,细胞结构中等
常规骨旁骨肉瘤也存在,其特征是分化良好的骨小梁和梭形细胞间质,无核异型性或有丝分裂象。骨小梁长,平行排列或不规则排列(图8)。
图8、镜下骨性成分。(A, B)20×:骨小梁平行排列,其间有梭状细胞。(C)40×:梭形细胞间质呈梭形,无核异型性
免疫组织化学染色显示,在骨小梁之间的梭形细胞核和交替出现的脂肪细胞中,MDM2和CDK4呈阳性反应。一些软骨细胞的核内可局灶性观察到IDH1阳性反应。
手术组织病理学诊断结果为:骨膜外骨肉瘤,伴有低度软骨肉瘤和脂肪肉瘤成分。
讨论
在回顾性研究中,脂肪和软骨成分出现在图像研究中。然而,这些成分在最初的活检中不存在。只有在手术部位,低级别脂肪肉瘤的组织学表现明显:即不同大小和形状的脂肪细胞和脂肪母细胞。另一方面,肿瘤的软骨样成分,在最初的活检中也不存在,主要由定义明确的低细胞结节组成无异型的透明软骨。骨小梁间仅局部可见丰富粘液样基质带。
对这种罕见的骨旁骨肉瘤变体的了解可以引导骨科肿瘤学家避免忽视脂肪成分并提供足够的手术切缘。对于病理学家来说,这种变异的知识可能导致要求从多个部位进行活检,以避免误诊肿瘤,或者在描述中提到在图像研究中观察到不存在于活检中的其他成分。
在骨旁骨肉瘤中,低级别脂肪肉瘤和低级别软骨肉瘤的成分可能是稀少的和局灶性的。这可能是他们可能被忽视的原因之一。
仅考虑组织学,鉴别诊断将取决于活检中存在的成分和主要成分:软组织高分化脂肪肉瘤或低级别软骨肉瘤。然而,当与影像学检查相关时,这些鉴别诊断被排除。这就是为什么在本病例中,临床与放射学的相关性,以及为组织病理学研究获得有代表性的活检,是至关重要的。
骨膜含有具有增殖能力的间充质干细胞,这些干细胞具有成骨、成软骨和成脂肪的潜能,即所谓的三能性,这可以解释骨旁骨肉瘤中脂瘤和软骨成分的存在。这种增殖能力使骨膜细胞分化为脂肪组织、软骨组织或骨组织。
进一步的病例报告和研究这种罕见的骨旁骨肉瘤变体是必要的,以确定患者的预后。
结论
提出了一个骨旁肉瘤的临床、影像学和组织学特征,除了表现出低级别高分化脂肪肉瘤的组成部分外,还表现出低级别湿疣肉瘤的组成部分。
医博士编译自:Estrada-Villaseñor E, Pichardo-Bahena R,Cedeño-Garcidueñas AL,et al. Parosteal osteosarcoma with low grade chondrosarcoma and liposarcoma components. A rare histologic variant. Case report and literature review. Acta Ortopédica Mexicana. 2024; 38(2):113-118.
声明: 所有注明“来源:医博士”的文字、图片和音视频资料,版权均属于医博士所有,转载须注明“来源:医博士”;所有转载文章系出于传递更多信息之目的,且明确注明来源和作者,不希望被转载的媒体或个人可与我们联系,我们将立即进行删除处理。