来源:医博士 | 2024-07-15
广泛性脓疱性牛皮癣(GPP)是一种较为罕见的疾病,约占所有牛皮癣病例的1%。该病的特点是急性发热、皮肤发红、无菌性脓疱频繁出现,并伴有一种全身性炎症性疾病,并发粘膜症状、关节炎、呼吸衰竭、眼部症状和继发性淀粉样变。类风湿性关节炎(RA)是另一种全身性疾病,其症状影响全身,包括关节、皮肤和肺部。继发性组织性肺炎(OP)已知发生在胶原蛋白疾病中。然而,近年来,牛皮癣和OP被认为涉及一个共同的病理。本文报告一例GPP合并OP治疗RA。
病例介绍
患者女性,74岁,日本女性,在65岁时被诊断出患有类风湿性关节炎。当时在风湿病科接受了7mg/天口服强的松、布吉拉胺和艾拉莫德的治疗。
在第一次来文章发表部门之前一年,患者背部和臀部出现红斑,在当地医生采用局部皮质类固醇治疗没有取得任何改善。临床表现为下背部边缘、两侧及双大腿后表面红斑伴鳞屑。皮肤活检显示角化过度,角化不全,表皮轻度增厚,表皮-真皮交界处轻度液化变性。在真皮深部血管周围可见轻度炎性细胞浸润,包括嗜酸性粒细胞和中性粒细胞。基于这些发现,患者当时被诊断为多形性红斑。治疗开始使用局部皮质类固醇和口服抗组胺药物,之后症状暂时减轻。
首次就诊5个月后,患者因红斑加重出现疼痛、行动困难,由救护车转至文章发表医院。临床表现为:躯干及四肢有带状鳞片样红斑,伴直径2mm小脓疱分散在整个身体上,形成一个充满脓液的海(图1a-c)。未见粘膜皮疹。
图1、a患者临床表现照片
c直径1-2毫米的小脓疱散布在全身,形成一个充满脓液的海
转诊时体温38.5°C;心率112次/分;血压:130/72mmHg;呼吸:20次/分;室内空气中血氧饱和度(SpO2)为98%。实验室结果如下:白细胞计数17300/µL(正常,4000-8000/µL);血红蛋白9.1g/dL(正常13.7-16.8g/dL);白蛋白1.7g/dL(正常4.1-5.1g/dL);钙7.8 mg/dL(正常8.6-10.0mg/dL);C反应蛋白(CRP) 19.11mg/dL(正常<0.30mg/dL)。肝肾功能及其他电解质水平未见明显异常。胸部X光片未显示肺炎。
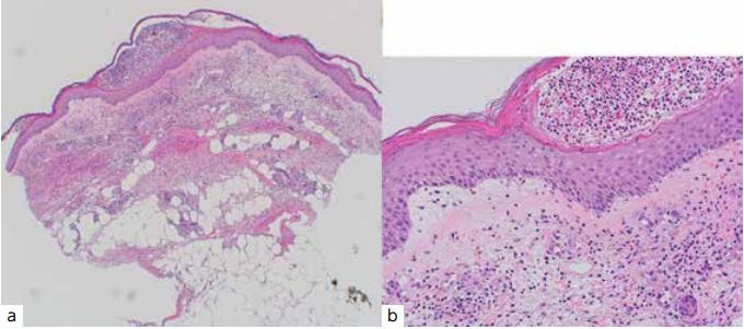
皮肤活组织检查发现左腿有脓疱。病理结果显示角膜下脓疱形成,周围有大量中性粒细胞和液化变性。从真皮到脂肪组织浅层可见淋巴细胞和中性粒细胞混合的炎症细胞浸润(图2a, b)。患者无新药物史或应用可引起药疹的药物。因脓疱伴全身症状,如发热和病理表现,考虑了基于系统性扩张的GPP的可能性。由于患者拒绝检测,没有检测IL36RN基因突变。
图2、实验室检查
(a)角膜下脓疱形成,浅层和深层混合炎症细胞浸润真皮层。(苏木精-伊红[HE], ×20)
(b)角膜下脓疱形成,周围有大量中性粒细胞和液化变性。从真皮层到脂肪组织浅层可见淋巴细胞和中性粒细胞混合的炎症细胞浸润。(HE,×400)
根据皮肤症状(红斑、脓疱和水肿)和全身性炎症的评分,患者的GPP严重程度为重度,总分为15分(总分17分),并伴有某些实验室检查结果(发热,白细胞计数,血清c反应蛋白和白蛋白水平)。
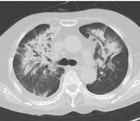
入院后继续使用外用皮质类固醇,并在住院第6天开始口服依替酸酯,剂量为20mg/天。入院第7天,患者出现缺氧,胸部x线及CT证实双侧浸润影以右肺野为主(图3)。
图3、患者肺CT,患者入院第七天出现双侧浸润影
由于抗生素治疗无效,进行了支气管镜检查。细支气管肺活检显示有组织的图像,中性粒细胞、巨噬细胞、淋巴细胞浸润,纤维蛋白渗出肺泡间隙(图4a, b)。

图4、病理
细支气管肺活检显示有组织的图像,中性粒细胞、巨噬细胞、淋巴细胞浸润,纤维蛋白渗出肺泡腔。(a: HE,×20, b: HE,×400)
基于这些发现,患者诊断为OP合并RA。口服强的松龙以50mg /天的剂量开始治疗。增加强的松龙剂量后,不管是临床症状还是实验室检查结果都迅速好转。胸部X光片显示肺部病变明显改善(图5)。

图5、胸部X光检查
(a)入院时
(b)入院第7天
(c)入院第30天
持续以50 mg/天的剂量使用强的松龙治疗2周,然后逐渐减少。红斑和脓疱消失,依替酸酯的剂量减少到10 mg/天。患者在门诊继续接受口腔和局部治疗。
讨论
GPP表现为发热和多发无菌脓疱,皮肤全身性发红,形成组织病理学特征为角膜下海绵状脓疱。反复发作是这种疾病的特征。一项对家族性发病病例的研究表明,致病基因编码一种白细胞介素(IL)-36受体拮抗剂,调节IL-36的作用,而IL-36参与炎症细胞因子如IL-8的产生,而IL-8又对中性粒细胞迁移很重要。据报道,大多数散发的GPP病例(之前没有斑块性银屑病)显示在IL36RN基因。
关于GPP,已知血浆和皮肤中血管内皮生长因子水平升高可引起血管通透性增加,从而导致毛细血管渗漏综合征。由于肺水肿导致呼吸衰竭,即急性呼吸窘迫综合征(ARDS) 有类似的肺部现象。本病例的鉴别诊断为毛细血管渗漏综合征或ARDS,但根据细支气管肺活检的组织学表现,诊断为OP。OP是一种特殊类型的间质性肺病,其特征是肺泡向肺泡附近细支气管的炎症,以及空气间隙息肉样组织。这种病理可以是隐源性的,也可以是继发性的,继发性病例常见于类风湿关节炎等结缔组织疾病,正如我们的病例。隐源性和继发性OP表现出相似的治疗反应、复发率和死亡率。另一方面,据报道,与隐源性OP相比,炎症性风湿病相关的病例完全康复率较低,复发率有较高的趋势。本病例被认为是继发性OP是RA的并发症。据报道,RA患者中有临床意义的间质性肺炎的患病率为7.7-12.0%,而与常规间质性肺炎(UIP)和非特异性间质性肺炎(NSIP)相比,RA患者OP较少见。来自一家医院的病例系列报道,14.3%的患者出现关节症状之前,19.0%的患者与RA发病同时出现,66.7%的患者在随访期间出现。在诊断为RA后出现OP的病例中,71%的患者在OP发病时保持较低的疾病活动度。在我们的病例中,没有观察到RA疾病活动加剧。
近年来,OP也被认为与牛皮癣有关。已知活化的Th17细胞产生几种介质,包括与银屑病相关的IL-17A、IL-17F和IL-22。Th17细胞产生的IL-17也被认为有助于肺泡炎症和增强肺成纤维细胞的细胞因子产生。此外,有报道认为肿瘤坏死因子-α (TNF-α)、IL-8和血小板衍生生长因子(PDGF)可能参与OP和银屑病的发病机制。表明与牛皮癣相关的常见介质,RA和OP(表1)。因此可能涉及多种常见的细胞因子,并可能存在共同的病理和并发症。

表1、参与GPP, RA和OP的细胞因子
小结
本病例为一例风湿性关节炎患者同时存在GPP和OP。ARDS是众所周知的GPP肺部并发症,但有RA病史的患者也应考虑OP。GPP和OP在发病机制上有IL-8等细胞因子的共同作用。因此,这些细胞因子也可能参与GPP和OP的共存。
医博士编译自:Ota M, Tokuyama M, et al. A Case of Generalized Pustular Psoriasis with Organizing Pneumonia During Treatment for Rheumatoid Arthritis. Tokai Journal of Experimental and Clinical Medicine. 2024; 49(1):17-21.
声明: 所有注明“来源:医博士”的文字、图片和音视频资料,版权均属于医博士所有,转载须注明“来源:医博士”;所有转载文章系出于传递更多信息之目的,且明确注明来源和作者,不希望被转载的媒体或个人可与我们联系,我们将立即进行删除处理。