来源:医博士 | 2024-07-18
以前,具有左心室(LV)和右心房(RA)之间通信的室间隔缺损(VSDs)是罕见的,但近年来这些缺损的报道越来越多。解剖上,室间隔是根据其相对于三尖瓣的位置来定义的。瓣上缺损,也称为直接缺损,位于三尖瓣的间隔小叶之上。瓣下或间接缺陷存在于三尖瓣的间隔小叶下方,是最常见的。中间缺损包括与三尖瓣相关的中隔下部和上部的部分,是最不常见的表现。
Gerbode缺损(格尔博德缺损:之前认为是一种罕见的先天性心脏病,指的是心室与心房之间的异常通道。这种缺陷会导致氧合血流从左心室直接进入右心室,绕过了肺循环。)是介于左室和RA之间的一种罕见的室间隔缺损,可能是先天性的,但越来越多的报道是由后天原因引起的。获得性原因包括手术,如天然瓣膜置换术、房室(AV)淋巴结消融、三尖瓣环成形术或心脏活检。非医源性原因包括感染性心内膜炎伴或不伴瓣膜周围脓肿、心肌梗死和创伤。本文报告一例因心内膜感染导致的Gerbode缺损。
病例介绍
患者男性,73岁,左下肢水肿,用力时呼吸短促。在被诊断患有右髋关节脓毒性关节炎一周前出院。脓毒性关节继发于耐甲氧西林表皮葡萄球菌(MRSE)的血液培养。体格检查,左侧胸骨下缘出现IV/VI级收缩期杂音,双侧2+下肢水肿。患者在传染病和整形外科小组会诊后入院。还咨询了心脏病学,以排除感染性心内膜炎由于阳性血培养和新的杂音检查。
在整个住院期间,患者的白细胞计数在9000-16000之间,有7次MRSE血培养呈阳性。初始心电图显示窦性心动过速,一级房室传导阻滞,QRS持续时间为88 ms。经胸超声心动图(TTE)显示射血分数为55-60%,无赘生物迹象。有中度三尖瓣反流(TR)和严重肺动脉高压,肺动脉(PA)收缩压70 mm Hg,没有右心室(RV)或RA扩大的证据。此外,TR多普勒显示在收缩期中期出现“双匕首”外观(图1)。

图1、RV流入视图的TTE图像。A组三尖瓣多普勒波形,Vmax为4.37 m/s,最初描述为“三尖瓣反流”。在白色星形图中,有双囊膜穿过三尖瓣,继发于VSD。B组双匕首包膜,Vmax 4.93 m/s,发生于收缩期中期,提示室间隔缺损
由于TR速度异常,双刀多普勒信号异常,RV和RA大小正常,仔细检查TTE,怀疑从左到右从LV分流到RA。通过经食管超声心动图(TEE)进一步评估异常的TR值。
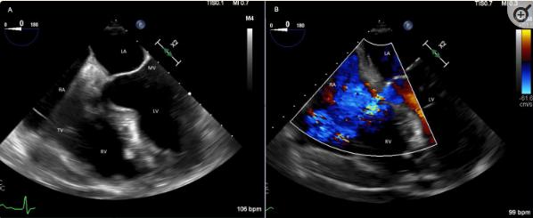
在TEE期间,通过三尖瓣上方的采样可以看到先前描述的TR包膜。该反流射流起源于左室,进入RA(图2)。观察到轻度TR,这证实了先前在TTE上注意到的TR实际上是从左室到左室的VSD反流,称为Gerbode缺陷。影像学检查未见明显赘生物或主动脉根部脓肿。

图2、Gerbode缺损的经食管观察。图A为四腔面,Gerbode缺损位于三尖瓣上方。B组多普勒彩色波通过Gerbode缺损,从左心室进入右心房
在诊断出Gerbode缺陷后,患者最终被转移到能够进行手术修复的三级医疗机构。尽管TEE上没有明显的主动脉根部脓肿,但Gerbode缺损是脓肿的典型病理特征。在手术过程中,Gerbode缺损和主动脉根部脓肿被直接观察证实。
患者接受了主动脉根部脓肿清创术、自体心包补片置入术、主动脉瓣置换术和三尖瓣成形术。在整个手术期间,继续接受静脉注射抗生素,最终在手术后的时间内表现良好,出院回家。
讨论
本病例报告了一例继发于感染性心内膜炎的获得性Gerbode缺损。心内膜炎可通过重新打开先前的先天性缺损、扩大小分流或破坏性的隔膜穿孔导致左心室至右心房之间的分流。Gerbode缺陷通常被描述为一种先天性缺陷。然而,由于侵入性心血管手术的增加和心脏诊断技术的改进,获得性Gerbode缺陷病例的数量增加了。在过去的20年中,感染性心内膜炎相关的Gerbode缺损增加了一倍多。1994年-2004年报告了8个病例,2005年-2014年增加到20个新病例。
据报道,Gerbode缺陷继发于心内膜炎,由金黄色葡萄球菌、溶血葡萄球菌、变形葡萄球菌、嗜蚜嗜血杆菌、人型心杆菌、肺炎葡萄球菌和卢顿葡萄球菌引起。虽然有罕见的表皮葡萄球菌心内膜炎导致主动脉瓣脓肿的病例报道,但没有表皮葡萄球菌导致原生三尖瓣和原生三尖瓣主动脉Gerbode缺损的病例。表皮葡萄球菌是人工瓣膜心内膜炎最常见的病因之一,约40%的病例与凝固酶阴性葡萄球菌(CoNS)有关,而CoNS仅占原生瓣膜心内膜炎的约5%。
本病例患者的缺损位于三尖瓣上方,这基本上证实了VSD的病因。虽然经食管超声心动图未显示明确的主动脉根部脓肿,但外科手术期间的直接观察证实了这一怀疑。Gerbode缺损的迅速诊断使患者能够接受紧急手术干预。这个病例强调了保持高度怀疑的重要性,特别是如果在TTE中获得的数值不能完全解释患者的临床表现。
结论
Gerbode缺陷是一种罕见但临床上严重的感染性心内膜炎并发症。高度的怀疑导致这种情况的及时诊断是必不可少的,以防止进一步的瓣膜破坏和允许及时的手术干预。
医博士编译自:Zughaib MT & LaVoie J. An Incidental Case of a Rare Ventricular Septal Defect (VSD): Does Infective Endocarditis Ger-Bode Well? Cureus. 2024; 16(5):e60677. doi:10.7759/cureus.60677.
声明: 所有注明“来源:医博士”的文字、图片和音视频资料,版权均属于医博士所有,转载须注明“来源:医博士”;所有转载文章系出于传递更多信息之目的,且明确注明来源和作者,不希望被转载的媒体或个人可与我们联系,我们将立即进行删除处理。