来源:医博士 | 2024-07-19
纤维发育不良是一种复杂的疾病,具有各种临床表现,如畸形、功能障碍、病理性骨折和内分泌紊乱。McCune–Albright综合征(MAS)是一种罕见的纤维发育不良亚型。本文报告一例股骨颈骨折患者的非典型McCune–Albright综合征。
病例介绍
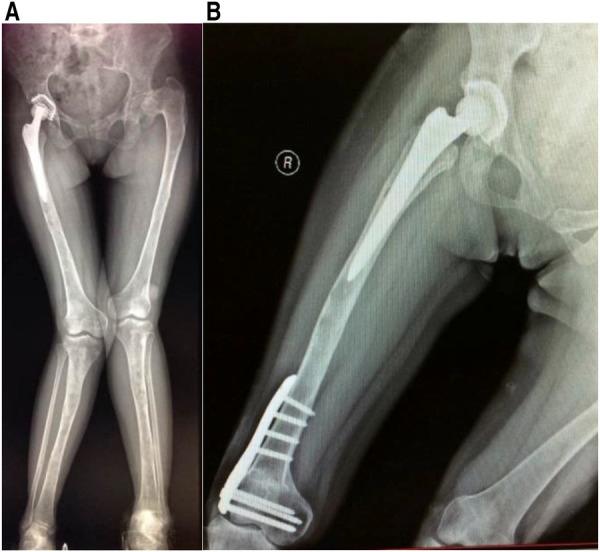
2009年12月,一名24岁的女性患者因“摔倒后右髋关节疼痛和活动受限1年”入院。该患者在一年多前摔倒后出现右髋关节疼痛,活动受限。休息后疼痛略有缓解,可以行走。根据提供的信息,患者有10年多发未经治疗的骨骼异常病史,包括双髋内翻畸形、屈曲挛缩、右髋内收畸形和双侧膝外翻畸形。入院时通过X光检查发现,下肢长骨和颅骨中存在多个骨致密影和磨玻璃影的囊性区域,骨皮质变薄,双侧股骨干和颈干角变形(图1)。此外,患者出生时有多处皮肤色素沉着,14岁时被诊断为面部骨骼畸形。患者月经正常,有第二性征,在24岁时自然分娩。

图1 首次入院时患者的X光片。ABCD:术前X线片,EF:右髋关节置换术后22个月
患者的血液生化结果也异常,血清碱性磷酸酶水平(670 IU/L,正常值:40-160 IU/L)和骨钙素(219.6 ng/ml,正常值:11-43 ng/ml)显著升高。血清钙浓度在参考范围内,其他内分泌指标没有异常
基于这些发现,诊断为McCune-Albright综合征(MAS),这是一种罕见的遗传性疾病,其特征是存在纤维发育不良、内分泌异常和皮肤上的咖啡色斑点。在这种情况下,患者的骨骼异常与纤维发育不良一致,碱性磷酸酶和骨钙素水平升高。
患者2009年至2013年间接受了四次静脉输注唑来膦酸5mg,同时口服补钙。2010年7月进行右侧全髋关节置换术(THA)。术后髋关节X线片见图1。碱性磷酸酶和骨钙素水平分别为538 IU/L和192.5 ng/ml。2013年12月,患者接受了矫形外科手术和右髁上截骨(图2)。入院时,碱性磷酸酶和骨钙素水平为403 IU/L和246.30 ng/ml。2015年5月,患者因跌倒导致左股骨干骨折,并接受了钢板和螺钉内固定(图3)。根据术后组织病理学,最终诊断为纤维发育不良。2015年12月,移除右侧股骨板,以防止应力集中和随后的股骨干骨折。尽管患者在随访期间没有出现明显并发症,但于2017年和2018年在另一家医院接受了颌下感染和下颌骨坏死的治疗(图4)。
图2 (A) 术前下肢X线片。(B) 右膝外翻矫正术后X光检查
图3 轻微外力作用下左股骨干骨折。(A,B)术前x光片,(C,D)术后x光片;(E)术后病理学
图4 下颌骨坏死的X光片
讨论
McCune-Albright综合征(MAS)是一种罕见的内分泌代谢紊乱,最初由McCune和Albright于1937年描述。这种情况偶尔发生,可在4个月-70岁的任何年龄段出现,在女性中的患病率更高。典型的MAS表现为单一或多发性纤维发育不良、皮肤咖啡色斑点和相关的内分泌异常。Lumbroso等人报道称,MAS表现出特征性的三联征(24%)、二联征(33%)和单一表现(40%)。当症状偏离典型表现时,可能会发生误诊或延迟诊断。MAS的表型多种多样,X线特征包括毛玻璃改变、丝瓜瓤样改变、囊性改变和虫蚀性改变。一些非典型的X射线特征可能很难与骨囊肿、Paget病和骨肿瘤等疾病区分。此外,由于缺乏有用的指标和较差的特异性,这些方法的诊断实用性受到限制。在该患者的病例中,最明显的发现是碱性磷酸酶和骨钙素水平显著升高。然而,患有Paget骨病的患者也可能表现出这些标志物的显著异常。因此,组织病理学检查往往是疾病诊断的最终手段。尽管如此,区分骨纤维异常增殖症(FD)和骨纤维结构不良是困难的,因为这些情况具有相似的组织学特征。CT、MRI和PET-CT对于明确诊断有重要意义。
目前,MAS尚无特效治疗方法,主要关注的是早期诊断和解决任何并发的内分泌紊乱。双磷酸盐的非手术治疗通常用于诊断为MAS患者的症状性FD。研究表明,大量破骨细胞和骨吸收是FD病变的典型特征。双膦酸盐可以破坏破骨细胞活性,延缓甚至逆转骨溶解的早期阶段,从而有效地延缓疾病进展。然而,关于双磷酸盐治疗效果的大量文献得出了不一致的结果。此外,双磷酸盐治疗可导致一系列不良反应,包括肌痛、流感样症状、胃肠道副作用、心房颤动风险升高以及非典型骨折和骨坏死等罕见并发症。
患者在五年内只接受了四次双磷酸盐治疗,在取得良好结果后停止了治疗。在停止治疗后的第二年,患者因外力导致股骨干轻微骨折。假设骨纤维异常增殖症(FD)是这种病理性骨折的根本原因。重要的是要将这种情况与双磷酸盐诱导的非典型股骨骨折(AFF)区分开来。AFF通常在开始双磷酸盐治疗后约5-6年出现,尽管有些病例在开始治疗后1-2年内出现。AFF通常表现为骨折部位的外侧皮质增厚,并伴有骨膜反应。其他特征包括前驱疼痛、双侧骨折和横向骨折,这些都不符合患者的病情。AFF的具体病因尚未确定,但一种潜在的机制是抑制骨转换,这也会导致颌骨坏死。先前的研究表明,下颌骨骨坏死与高剂量双磷酸盐(BP)或静脉注射地诺单抗治疗有关,在经常暴露于高剂量药物的癌症患者中观察到的发病率最高(从1%-15%不等)。然而该患者仅接受5mg/次治疗后就出现了下颌骨坏死。还需要进一步的研究来探索双磷酸盐在体内的残留作用和副作用。
小结
当患者出现病理性骨折、严重骨畸形、关节炎、神经压迫或其他并发症时,手术干预是必要的。外科手术可能包括截骨和矫正、完全病变切除、骨移植、内固定和关节置换,以增强受影响骨的机械稳定性、缓解症状或恢复功能。患者长期忍受股骨颈疼痛和行动不便,最终需要进行全髋关节置换术。然而,患有多发性FD的患者通常表现出高的骨转换率、显著的骨破坏和骨质疏松,这显著增加了术后假体松动的风险,从而影响长期手术结果。
医博士编译自: Wang H, Wang H, Liu H, et al. A young woman with atypical McCune-Albright syndrome and the difficult road to recovery: a case report. Frontiers in Surgery. 2024; 11:1326977. doi:10.3389/fsurg.2024.1326977.
https://pubmed.ncbi.nlm.nih.gov/38371882/
声明: 所有注明“来源:医博士”的文字、图片和音视频资料,版权均属于医博士所有,转载须注明“来源:医博士”;所有转载文章系出于传递更多信息之目的,且明确注明来源和作者,不希望被转载的媒体或个人可与我们联系,我们将立即进行删除处理。