极为罕见!双侧同步睾丸癌症组织病理学结果不一致

来源:医博士  | 2024-08-05    


 睾丸肿瘤是15-45岁男性最常见的恶性肿瘤,占男性肿瘤的1%及泌尿系统肿瘤的5%。双侧生殖细胞肿瘤发生在1%-5%的睾丸肿瘤中。大多数病例是异时性的,大约10%是同步的。同步性肿瘤通常表现出相似的组织学特征和分类,很少显示两种不同的病理结果。本文介绍一例具有不同组织学特征的双侧生殖细胞睾丸同步肿瘤。

 

病例介绍

一名患有脑瘫的32岁男性在一个月内出现双侧睾丸无痛肿胀。体格检查显示阴囊无痛肿胀,双下肢畸形。患者的病史尚不清楚,未观察到精神发育迟缓。

 

肿瘤标志物显示,α-胎蛋白水平为1.49ng/mL(正常范围:<7.0 ng/mL),β-人绒毛膜促性腺激素水平为255 mIU/mL(正常范围:<5.0 mIU/mL),乳酸脱氢酶水平为815 IU/mL(正常范围:91-180IU/mL)。阴囊超声检查显示,两个睾丸周围都有积液。此外,USG显示两个睾丸都有低回声的多囊性病变,但无法区分肿瘤和睾丸脓肿。由于肢体畸形,无法进行磁共振成像。进行腹部和胸部计算机断层扫描,发现腹部左主动脉旁区域有4厘米的肿块,胸部有8.5和5.5厘米的肿块。随后进行双侧睾丸根治术。

 

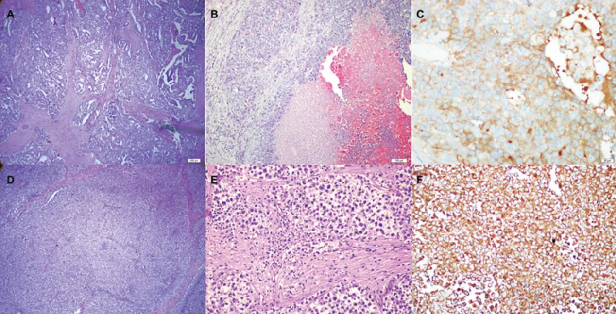
右睾丸的组织病理学评估显示胚胎性癌,未观察到淋巴管侵犯或白膜侵犯,肿瘤8.5×4.5cm。左侧肿瘤9.5×7.5cm,显示为精原细胞瘤,伴有淋巴管侵犯和睾丸网侵犯(图1)。肿瘤标志物的水平在手术后1个月仍然升高。转诊至肿瘤科后,患者接受了博来霉素、依托泊苷和顺铂的化疗。

 

(A)右侧胚胎性癌,腺状和乳头状(x40,苏木精和伊红)。(B)右侧胚胎性癌,出血性坏死区域(x100,苏木精和伊红)。(C)胚胎性癌(x40)切片上显示CD30表达的免疫组化染色。(D)左侧精原细胞瘤,肿瘤细胞含有纤维间隔(x40,苏木精和伊红)。(E)左侧精原细胞瘤,细胞核突出,细胞质透明(x200,苏木精和伊红)。(F)左侧免疫组织化学染色显示精原细胞瘤(x20)

 

讨论

睾丸癌症是40岁以下男性最常见的实体瘤。2022年,美国估计有9910名患者被诊断为睾丸肿瘤。双侧生殖细胞睾丸肿瘤的发病率在1%-5%之间。睾丸肿瘤可分为同步性或异时性。同步肿瘤是指在诊断的前2个月内或检验中发现的肿瘤。大约80%-85%的病例被报告为异时性,而其余病例是同步的。这意味着同步双侧生殖细胞肿瘤占所有睾丸肿瘤的比例不到0.5%。

 

第一例双侧睾丸肿瘤由Bidard于1853年提出。此后发表了几项关于双侧睾丸肿瘤的研究。Holzbeierlein等人报道了最广泛的睾丸肿瘤系列之一,3984例肿瘤中仅监测到10例同步双侧睾丸肿瘤。在Che等人的一项研究中,对2431名睾丸肿瘤患者进行了评估,仅有24名患者发现了双侧睾丸肿瘤,其中只有4名是同步的。 Akdogan等人对987名患者进行评估,在30名患者中检测到双侧肿瘤,其中只有6名是同步的。大多数同步性双侧生殖细胞肿瘤在两个睾丸中都表现为精原细胞瘤的组织学模式。Dieckmann等人证明80%的同步双侧生殖细胞睾丸肿瘤是精原细胞瘤。尽管罕见,但已报道了不同组织学类型的同步肿瘤。

 

小结

Coleman等人于1954年报道了第一例具有不同组织学类型的双侧睾丸肿瘤。2003年,Coli等人报道了第43例不同组织学类型的双侧睾丸肿瘤。2015年,Anastasiou等人发表了第49例病例报告。根据PubMed和Google Scholar的数据库,本病例是迄今为止报告的第57例具有不同组织学的同步双侧睾丸肿瘤病例。

 

医博士编译自:Özen M,YazıcıoğluŞ,KırdağMK,et al.Bilateral Synchronous Testicular Cancer with Discordant Histopathology: A Case Report. Avicenna Journal of Medicine. 2024; 14(2):134-136. doi:10.1055/s-0044-1786512.

https://pubmed.ncbi.nlm.nih.gov/38957159/ 


声明: 所有注明“来源:医博士”的文字、图片和音视频资料,版权均属于医博士所有,转载须注明“来源:医博士”;所有转载文章系出于传递更多信息之目的,且明确注明来源和作者,不希望被转载的媒体或个人可与我们联系,我们将立即进行删除处理。