来源:医博士 | 2024-09-06
NK/T细胞淋巴瘤(NKTL)是一种起源于NK细胞或细胞毒性T细胞谱系的侵袭性恶性肿瘤。这种疾病在亚洲、中美洲和南美洲比在西方国家更为普遍。在中国,NKTL是最常见的淋巴瘤类型之一,仅次于弥漫性大B细胞淋巴瘤。
结外NKTL(ENKTL)被认为是NKTL的典型类型,常发生在成人的非淋巴部位,如鼻、鼻咽和上呼吸道。晚期患者也可能涉及皮肤和胃肠道。据目前所知,儿童和青少年扁桃体受累的病例几乎没有。本文介绍了一例罕见的儿童扁桃体受累的ENKTL病例。
病例介绍
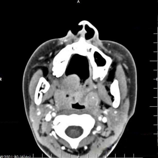
一名13岁女孩诉咽痛2个多月,伴有间歇性发热。入院前被当地医院诊断为化脓性扁桃体炎,并否认有抽搐或昏迷、恶心、呕吐或吞咽困难的病史。自发病以来,食欲和睡眠质量都很差。鼻咽镜检查显示咽部有一个溃疡病变肿块(图1)。增强计算机断层扫描(CT)显示悬雍垂轻微肿胀,双侧扁桃体增大(图2)。在没有手术禁忌症的情况下,获得父母的书面知情同意后,于全身麻醉下进行了扁桃体活检。
图1 鼻咽镜检查显示咽部有溃疡病变
图2 增强CT显示悬雍垂轻度肿胀,双侧扁桃体增大,左侧扁桃体点状钙化
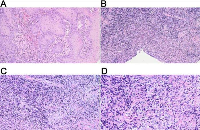
病理检查显示扁桃体溃疡和坏死,下层血管和淋巴细胞增殖。左扁桃体可见慢性化脓性肉芽肿性炎症和假上皮鳞状上皮增生,右扁桃体可见化脓性肉芽肿炎症和少量T淋巴细胞。一些淋巴细胞显示明亮的细胞质、圆形椭圆形或稍不规则的细胞核,伴有多个淋巴细胞和中性粒细胞浸润,以及少量腺体的存在。少数血管壁可见淋巴细胞浸润。扁桃体表面显示分层鳞状上皮假上皮增生、血管增生、坏死以及急性和慢性炎性细胞浸润(图3)。免疫组织化学显示,肿瘤细胞对CD2(图4A)、CD3(图4B)、CD4(图4C)、CD5(图4D)、CD7(图4E)、CD8(图4F)、颗粒酶B(图4G)和TIA-1(图4H)呈阳性,对CD20、CD57、CD34和SMA呈阴性(数据未显示)。Ki-67增殖指数为20%(图4I)。
图3 扁桃体肿块的代表性HE染色图像。(A)病变周围假上皮瘤样增生,放大100倍;(B) 放大100倍,大量坏死和血管增生;(C) 肿瘤细胞小病灶分布在坏死背景和侵犯血管中,放大200倍;(D) 放大400倍,肿瘤细胞具有中等半透明的细胞质和不规则扭曲的细胞核
图4 扁桃体肿块的免疫组织化学结果。肿瘤细胞对CD2(A)、CD3(B)、CD4(C)、CD5(D)、CD7(E)、CD8(F)、颗粒酶B(G)和TIA-1(H)呈阳性。一、Ki-67表达。在200倍的放大倍数下观察图像
在此基础上,高度怀疑NKTL,然后进行了基因检测。检测到T细胞受体(TCR)基因重排(图5)。PET/CT显示主要浸润扁桃体和咽后壁(图6),最大SUV分别为8.3和7.5。最终,患者被诊断为II期ENKTL,扁桃体受累。
图5 T细胞受体(TCR)基因重排的阳性基因扫描结果
图6 正电子发射断层扫描/计算机断层扫描(PET/CT)显示喉部(A)、上颌(B)和颌下腺(C)有浸润。(D) 未发现明显远处转移
患者接受了6个周期的SMILE方案化疗(表1)。在12个月的随访中,表现出完全缓解,没有复发或不良事件。

表1 SMILE化疗方案
讨论
ENKTL很少在儿童和青少年中报告,大多数病例显示鼻咽受累。偶尔有报道称鼻外受累,包括皮肤、肺、肠道、睾丸和骨髓。然而,儿童扁桃体受累的报道很少。本文介绍了一名13岁的ENKTL女孩扁桃体受累,并分享了治疗经验,旨在加深对它的理解。
鉴于ENKTL主要发生在鼻咽,患者经常出现鼻塞、鼻出血、发热和淋巴结肿大。由于其早期临床表现不典型,通常被误诊为淋巴疾病。对于鉴别诊断,ENKTL应与惰性T细胞淋巴增生性疾病区分开来。惰性T细胞淋巴瘤表现出低增殖和无转移倾向。相比之下,ENKTL显示出高转移可能性和快速增殖速度。病理学上,T淋巴细胞浸润是惰性T细胞淋巴瘤的主要特征,而ENKTL的主要特征通常涉及弥漫性淋巴细胞浸润和淋巴滤泡增生。同时,淋巴瘤基因重排也可用于鉴定这两种情况。在临床实践中,巨大淋巴结增生的特点是病因不明的淋巴肿大,主要侵犯胸腔、门和肺。慢性淋巴结炎通常有明显的病变,伴有局部淋巴结病、头痛和压痛。由于患者没有出现相关症状,因此排除了这种可能性。
ENKTL的诊断主要依靠活检和免疫组织化学染色,以及TCR基因重排。ENKTL的组织学表型通常是弥漫性和渗透性淋巴细胞增殖,具有血管中心性和血管破坏性生长模式,以及纤维蛋白样变化。ENKTL通常由中等大小的细胞和局灶性转化细胞或大小混合细胞组成,这些细胞显示出不规则的核轮廓、不明显的核仁和颗粒状染色质。与之前的报告一致,病例的病理结果包括血管和淋巴细胞增殖,一部分明亮的淋巴细胞细胞质,淋巴细胞和中性粒细胞大量浸润,以及圆形、椭圆形或稍不规则的细胞核。
就免疫表型而言,ENKTL的典型表型是CD2+、细胞质CD3+和细胞毒性标记物(颗粒酶B、TIA-1和穿孔素)(+)。本研究中扁桃体样本的免疫组织化学结果为CD2+、CD3+、CD4+、CD5+、CD8+、颗粒酶B+和TIA-1+。在之前使用大型队列进行的研究中,这些标记物的表达率为CD2(93%)、cCD3(84%)、CD4(10%)、CD5(27%)、CD8(22%)、颗粒酶B(83%)、TIA1(90%)和穿孔素(86%)。据报道,Ki-67增殖指数与疾病进展高度相关。该病例中的中度Ki-67指数(20%)表明该疾病的中度进展和中度风险。最后,患者被诊断为扁桃体受累的ENKTL。
小结
到目前为止,ENKTL还没有标准的治疗方案。如前所述,最成功的治疗选择是不含蒽环类药物的方案,特别是使用L-天冬酰胺酶。高达90%的I期和II期患者在治疗后会出现缓解。在一项包括336名NKTL患者的回顾性队列研究中,接受含天冬酰胺酶化疗的患者的总体反应率和完全缓解率高于未接受含天冬酰胺酶方案的患者。本研究病例接受了基于天冬酰胺酶的SMILE化疗,结果显示疗效良好,完全缓解。
医博士编译自:Xiao Y, Zhang X, Gao Y, et al. Extranodal natural killer/T-cell lymphoma with tonsil involvement: a case report. BMC Oral Health. 2024; 24(1):867. doi:10.1186/s12903-024-04452-x.
声明: 所有注明“来源:医博士”的文字、图片和音视频资料,版权均属于医博士所有,转载须注明“来源:医博士”;所有转载文章系出于传递更多信息之目的,且明确注明来源和作者,不希望被转载的媒体或个人可与我们联系,我们将立即进行删除处理。