来源:医博士 | 2025-01-02
钝性腹部创伤可引起广泛的损伤,从浅表挫伤到深层内脏损伤。严重的腹壁病变可能对外科医生构成挑战,它们不仅会影响患者的生存和术后并发症,还会影响生活质量。这些损伤可能被误诊,文献中很少有治疗这些损伤的记录,没有文献记录钝性创伤导致广泛腹壁感染的病例。根据CARE检查表,本文报告了一例罕见的钝性腹部创伤,伴有晚期空肠穿孔,导致腹膜外脓肿,最终进行了右肌后间隙探查。
病例介绍
一名65岁的女性,除了既往子宫切除术外,没有其他病史,在一次严重的高强度交通碰撞中遭受了多处创伤。复苏并完成标准化初步评估后,使用计算机断层扫描(CT)排除其他腹部损伤。此外,患者还出现了多发性挫伤、多发性肋骨骨折、胸骨骨折和右上肢骨折(损伤严重程度评分为21)。
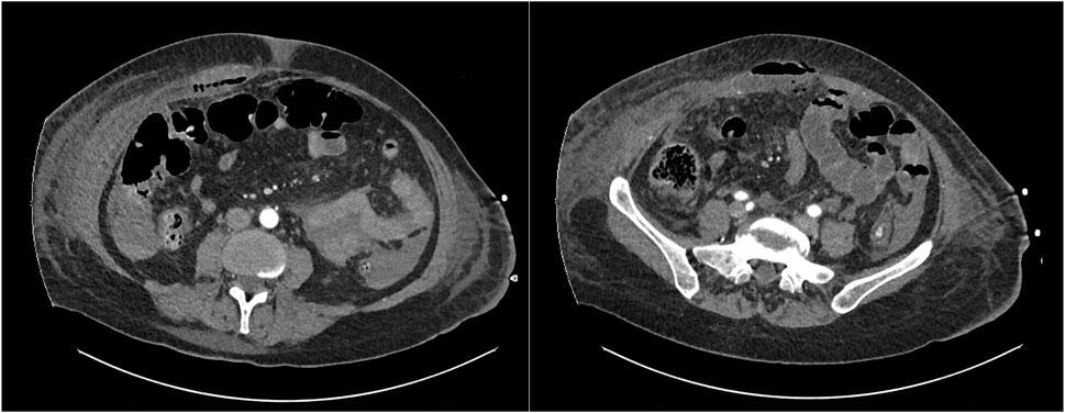
入院后第10天,出现右腹部发热和肿胀。右腹部触诊时出现疼痛和腹部防护。血液检查显示急性期反应物,CT显示存在局部气腹,右侧肌后(直肠后)间隙有广泛的脓肿,达到肋骨水平,腹膜前受累,所有这些都与延迟空肠穿孔和肌后间隙瘘口有关(图1)。

图1 脓肿通过右直肠后间隙延伸,并伴有局部气腹
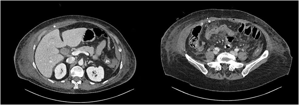
进行了紧急剖腹手术。放置伤口保护器后,发现胆汁性腹膜炎,由于创伤后空肠延迟穿孔,右肌后间隙广泛受累。进行了回肠-回肠吻合的肠切除术,并对涉及腹壁的坏死组织进行了细致的清创,包括右后直肌鞘的一部分。用生理盐水和消毒剂对空腔和肌后间隙进行彻底灌洗。在肌后间隙放置引流管(图2)。

图2 术后CT扫描,网状物上方肌后和皮下引流
使用小咬合技术和可吸收缝线实现了筋膜的初步闭合。由于筋膜的状态减弱,在这种情况下发生切口疝和腹部爆裂的风险很高,在彻底灌洗后,将浸有庆大霉素的可吸收生物合成网(BioA®9×15cm)贴在上面以加强中线。进行皮下引流。采用负压伤口治疗以降低伤口感染和裂开的风险。
根据术中培养结果,患者接受了敏感抗生素治疗。随后的CT扫描显示了有利的进展。患者在手术后52天成功出院。经过12个月的随访,没有发现感染或切口疝的迹象,患者的生活质量完全恢复。
腹壁损伤可发生在高达9%的钝性腹部创伤中。传递到腹壁的冲击能量会造成损伤,如挫伤、撕裂和肋骨或骨盆水平的骨折。快速减速或压缩力会对腹壁的筋膜和肌肉产生剪切或拉伸作用,导致创伤性疝气或腹膜后结构破坏的风险更大。这些病变可能表现为急性和加重的症状,如疼痛、瘀斑或反跳压痛,但晚期表现包括使诊断复杂化的不可察觉的症状,并增加患者的死亡率。
据报道,在大多数情况下,严重的腹壁损伤伴随着腹内内脏损伤,在这种情况下,必须立即进行手术探查。即使排除内脏损伤,在同一住院期间管理肌筋膜缺损以防止肠绞窄和闭塞也是必须的。问题仍然是什么时候是最佳干预时间,应该考虑哪种类型的手术。
肌后间隙的复杂脓肿是钝性腹部创伤的一种非常罕见的并发症,由于症状的潜伏期和微妙性,诊断具有挑战性。很少有研究涉及挫伤后疝气以外的腹壁损伤,也没有数据专门评估可能的感染并发症或其诊断和治疗。即使使用现代成像技术,这些创伤也很难诊断。尽管如此,CT等成像工具对诊断仍至关重要。
关于治疗,尽管没有强有力的证据,但应尽可能根据上述技术进行初步无张力闭合。在这些情况下也提到了使用合成网增强。在无法保证无张力闭合的情况下,可以考虑分阶段闭合或使用网片增强。受污染或失活的组织和肠瘘增加了闭合腹壁的难度,并加剧了切口疝的风险。当建议使用网片增强来预防内脏摘除或切口疝时,尤其是在污染或肮脏的手术中,会出现感染问题。即使在恶劣的环境中,某些类型的网片也被证明是安全的,可以降低切口疝的风险。
在Rosen等人最近的一项随机临床试验中,合成网片和生物植入物在污染腹疝的单期修复中表现出相似的安全性;然而,与生物网片相比,合成网片显示出更高的2年疝气复发风险。
尽管本病例报告存在局限性,但数据为现有文献的不足做出了贡献,概述了钝性腹部创伤后复杂感染的广泛临床表现和治疗策略,罕见的表现是内脏损伤引起的广泛肌后脓肿。早期发现和及时手术,再加上使用足够的假体材料和腹壁手术技术,可以有效改善死亡率。
小结
总之,尽管钝性创伤导致广泛腹壁感染的情况很少见,但应在创伤背景下考虑。该病例强调了临床怀疑、及时干预和使用网片进行精确手术技术的重要性,以改善患者预后并保持腹壁完整性。需要进一步调查以确定这些患者的管理和预后因素。
医博士编译自:Martínez-López M, Verdaguer-Tremolosa M, Rodrigues-Gonçalves V, et al. Case Report: Abdominal Wall Abscess as First Clinical Sign of Jejunal Perforation After Blunt Abdominal Trauma. The Journal of Abdominal Wall Surgery. 2024; 3:13682. doi:10.3389/jaws.2024.13682
声明: 所有注明“来源:医博士”的文字、图片和音视频资料,版权均属于医博士所有,转载须注明“来源:医博士”;所有转载文章系出于传递更多信息之目的,且明确注明来源和作者,不希望被转载的媒体或个人可与我们联系,我们将立即进行删除处理。