来源:医博士 | 2025-01-13
基底细胞癌(BCC)是一种起源于基底细胞的皮肤癌症。其位置各不相同,大多数病例发生在面部、躯干和四肢。因为缓慢的转移和生长能力,BCC不被认为是一种侵袭性癌症。然而,如果不及时治疗,BCC可能增大,并对患者造成局部和全身并发症。尺寸大于5厘米和20厘米的BCC分别被视为巨型和超巨型,占BCC总数的不到0.5%。在组织病理学上,根据世界卫生组织(世界卫生组织)的分类,BCC分为十种亚型。
本文报告了一例老年男性头部超巨型基底细胞癌,导致严重并发症。
病例介绍
一位88岁男性因巨大的头皮病变就诊。患者诉无力、呼吸急促和全身不适。病史包括高血压和2型糖尿病。有50包/年的吸烟史,职业为农民。
经检查,患者生命体征异常,血压为145/97 mmHg,脉搏78次/分,呼吸急促,无发热。在室内空气中,血氧饱和度为92%。有一个坏死、出血、巨大的病变,大小为20.5×11.6×7cm。此外还观察到骨浸润。肿块呈分叶状,伴有溃疡,颜色为红黄发紫,伴随渗血及渗液。粘膜非常脆弱,触诊时出血,表面可见血管(图1A-C)。由于病人拒绝就医,病情进展严重,在过去的三年里,病变逐渐增大。其余部位皮肤检查正常。
图1(A和B)头皮超巨型基底细胞癌
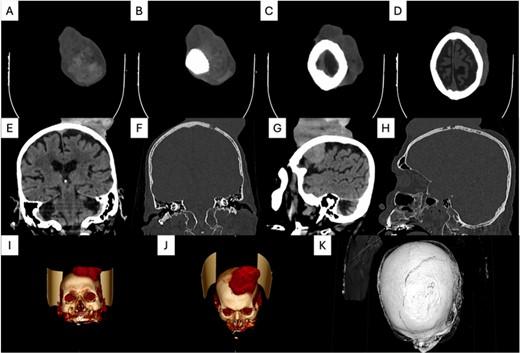
实验室检查显示贫血(血红蛋白为7.4g/dl,铁蛋白水平为12ng/ml,铁结合能力为355mcg/dl)。颈部、胸部和腹部的计算机断层扫描(CT)显示没有转移性病变。头部CT显示弥漫性骨浸润和头皮上方增强的异质性肿块(图2A-K)。肿块对大脑产生了压迫作用。从受影响的皮肤上切下活组织检查。组织病理学检查显示多形性、柱状和长方体细胞,有角蛋白斑点和纤维基质。诊断为混合性基底细胞癌,包括结节和微结节亚型(图3A和B)。
图2 计算机断层扫描结果:头皮上方增强的异质性肿块对大脑产生压迫作用,并伴有弥漫性骨浸润。(A-D)轴位视图;(E和F)冠状视图;(G和H)矢状视图;(I-K)三维重建

图3 混合性基底细胞癌的组织病理学表现,包括结节和微结节亚型
患者既没有接受放化疗,也没有接受手术。由于临床状况和意愿较差,只进行了姑息治疗,包括输血和局部止血。患者患有肺炎,几天前在医院去世。
讨论
到目前为止,国际文献中已经报道了一些超巨型基底细胞癌病例。这些病变可能出现在不同的位置,其中大多数在躯干。在极少数情况下,包括本文病例,会延伸到头皮的大部分。这些BCC发生的原因包括暴露在阳光下、既往发生在同一部位的BCC、疏忽和免疫抑制。本例患者是一位患有II型糖尿病的老年农民,暴露在阳光下和免疫抑制是存在的。超级巨型BCC更具攻击性,具有更大的局部浸润、转移和复发能力。肺是转移的主要部位。在大于25厘米的肿瘤中,及可能发生转移。在本文病例中,发生了骨浸润和脑压迫,但没有发现远处转移。此外,与本病例一样,在三例类似的巨型基底细胞癌病例中报告了严重的慢性或急性贫血。组织病理学上,2例头部超巨型基底细胞癌为结节型,1例为变形型。本患者结节和微结节亚型罕见共存。
边缘清晰,大小在5毫米到1厘米之间的BCC建议手术治疗,尤其推荐整形手术。局部晚期、无法手术甚至转移性基底细胞癌的另一种选择是化疗。
小结
该病例强调了早期发现和治疗基底细胞癌的至关重要性,即使它通常是非侵袭性的,为预防严重的局部和全身并发症,应提高认识和及时干预。
医博士编译自:Patsouras A, Garmpis N, Effraimidou EI, et al. A super-giant basal cell carcinoma of the scalp. Oxford Medical Case Reports. 2024; 2024(12):omae149. doi:10.1093/omcr/omae149
声明: 所有注明“来源:医博士”的文字、图片和音视频资料,版权均属于医博士所有,转载须注明“来源:医博士”;所有转载文章系出于传递更多信息之目的,且明确注明来源和作者,不希望被转载的媒体或个人可与我们联系,我们将立即进行删除处理。