长期丢失的义齿:一例罕见的获得性非恶性气管食管瘘

来源:医博士  | 2025-01-20    


获得性气管食管瘘(TOF)是一种罕见的情况,最常见于成年人群的恶性疾病。良性TOF的病因多种多样,可能包括创伤、医源性损伤、异物、腐蚀性损伤、食管憩室或局部感染。

 

义齿是一种尖锐的异物,其大小和轮廓使其容易在胃肠道中受到撞击。一项全国牙科健康调查显示,英国20%的人口佩戴义齿。由于人口老龄化,这一数字将进一步上升,因为65岁以上成年人的义齿使用率更高。

 

嵌顿义齿并发症的风险与摄入事件后的持续时间和嵌顿部位最显著相关。食管是报告最多的部位,并发症包括穿孔和瘘管形成。导致诊断延迟的因素包括患者缺乏明确的病史和义齿材料的透光性。

 

TOF是一个具有挑战性的临床问题,由于营养干扰和持续气管支气管污染的肺部后遗症,其长期发病率很高。本文报告了一例义齿嵌顿延迟出现,导致继发性、获得性、非恶性TOF的病例,通过多学科团队(MDT)方法,用于去除义齿异物,修复潜在缺陷,最终实现消化道的连续性。

 

病例介绍

一位60多岁的男性就诊抱怨进食后咳嗽和反流。有吞咽困难史,最初是固体,然后是液体,以及体重减轻和反复胸部感染。这些症状持续了一年多,在出现症状前的两周内恶化。患者佩戴了义齿,但不记得有吞咽义齿的经历。既往病史包括癫痫,丙戊酸钠控制良好。不吸烟,偶尔饮酒,日常生活活动独立。

 

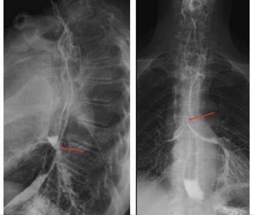
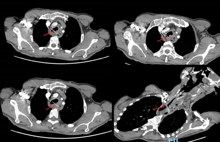
钡剂吞咽荧光镜检查报告食管道不规则,吞咽时吸入造影剂,并发现食管肿块(图1)。颈部、胸部、腹部和骨盆的计算机断层扫描(CT)显示食管壁增厚,表明食管和近端气管之间存在瘘管,以及感染引起的双侧磨砂玻璃阴影(图2)。值得注意的是,初次报告中没有提到异物。食管胃十二指肠镜(OGD)对距离切牙19厘米处的肿块进行了评论,显示在此水平上有一个“大的、有柄的息肉”样病变,很难进行组织活检。

图1 术前吞钡透视。气管和食管显示对比(红色箭头),表明存在瘘管

 

图2 CT扫描的轴向切片与对比。显示T2椎体水平气管食管瘘管内从食管延伸到近端气管的线性高密度阴影

 

患者被转诊到一家大型三级中心的专科胸外科。影像学检查证实,瘘管内存在异物。尝试使用柔性和刚性支气管镜以及食管镜进行内镜检查。在认识到异物是边缘锋利的义齿后,该手术被放弃了,因为用力撞击操作会导致出血并进一步损伤气管或食管。多学科会诊后建议开放式手术,以移除义齿并建立气道食道的完整性。

 

通过第四肋间右后外侧胸廓切开术进入瘘管部位。由于持续污染,纵隔发炎并纤维化,气管与食管紧密粘连。行气管切开术和取出义齿异物后到达瘘管(图3)。通过使用交叉通气,并在远端气管中放置气管内导管来维持气道。进行了气管切除术,切除了2cm的不存活气管组织,并对健康的近端和远端气管进行了端到端吻合。在吻合口上放置带蒂心包前脂肪贴片,以加强修复并促进愈合。食管在胸部被切开,近端被切开至颈部。在放置胸腔引流管后,关闭了胸廓。患者仰卧,颈部食管暴露在颈部左侧。由于气管和周围结构存在密集的纤维化粘连,近端食管的解剖较为困难。进行了颈部食管切除术。行经皮内镜胃造口术(PEG)以提供营养支持,在此期间,这是一种合适的肠内营养途径。

 

图3 取出的异物——可摘义齿

 

手术后,患者出现了一些并发症。拔管后,患者血氧欠佳,内镜检查显示双侧声带麻痹,可能是由于喉返神经损伤。接受紧急重新插管,并被送入重症监护室(ICU),随后进行了显微喉镜检查和后声门切开术,以改善气道阻塞,最终进行手术气管切开术。

 

几周后,患者反复出现气道内浓稠的奶油状分泌物,导致血氧饱和度降低。支气管镜检查显示,厚厚的白色分泌物堵塞了节段性支气管,尤其是右侧,最终通过腹腔镜胃食管交界处缝合控制。另一个重要问题是颈部食管的瘢痕形成和狭窄,容易通过功能失调的喉部持续误吸。

 

在MDT建议下进行了咽喉切除术、永久性气管造口术和消化道修复术。在气管造口部位上方做一个U形切口,将咽喉部从椎前筋膜分离,将喉部整体切开。缝合线被固定在第三气管环中,并向上拉至喉部造口,从而形成一个深造口。通过中线剖腹,游离胃部,切开十二指肠,清除胰腺至胃十二指肠动脉的粘连。使用吻合钉制作健康的胃管通道。胸骨后钝性解剖形成隧道,供胃管通过(图4)。切除了左侧第一肋骨和锁骨的内侧端,为胃管和咽胃吻合术创造足够的空间,在胸廓出口处没有张力和压力(图5)。最后,进行空肠造口术。

 

图4 胃上拉。图像显示胃游离(左)、胃管形成(中)和胸骨后导管通道(右)

图5 恢复消化道的连续性。图像显示左锁骨入路建立(左)和咽胃吻合术形成(右)

 

从第一次手术开始,住院患者的整体康复经过了8个月的时间。住院包括言语和语言治疗、营养师、物理治疗和咨询团队。第二阶段手术后12天,CT扫描和钡剂造影检查发现咽胃吻合口没有泄漏(图6)。在出院前,随着经皮空肠造口术,经口摄入逐渐增加。门诊复查显示,患者正在进食不同浓度的食物,体重和体力增加,使用电子喉咽装置发声。

 

图6 术后放射学图像。CT扫描(左)显示重建的胃管胸骨后通道。吞钡(右)显示咽胃上吻合口无泄漏

 

小结

早期识别和移除义齿对于预防发病率和死亡率至关重要。延迟诊断可导致获得性TOF,并伴有复发性肺部感染、纵隔炎和营养不良等相关后果。对于出现复发性胸部感染和持续吞咽困难的牙科修复体佩戴者,必须保持较高的异物摄入怀疑。我们还提倡在复杂病例的外科治疗中采用多学科协作的方法。

 

医博士编译自:Jesani H, Hundle A, Nankivell P, et al. The long lost denture: a rare case of an acquired, non-malignant tracheo-oesophageal fistula. Journal of Cardiothoracic Surgery. 2024;19(1):621. doi:10.1186/s13019-024-03073-3.

https://pubmed.ncbi.nlm.nih.gov/39497187/


声明: 所有注明“来源:医博士”的文字、图片和音视频资料,版权均属于医博士所有,转载须注明“来源:医博士”;所有转载文章系出于传递更多信息之目的,且明确注明来源和作者,不希望被转载的媒体或个人可与我们联系,我们将立即进行删除处理。