来源:医博士 | 2025-01-26
鼻腔恶性肿瘤可分为不同类型,其中一些是鼻部特有的。这些肿瘤很少见,不足所有恶性肿瘤的1%,与男性相比,女性的患病率更高,报告的比例在1:4到1:3之间。在病程的早期,这些肿瘤通常会出现非特异性的症状,并经常被误诊为鼻窦炎等良性疾病。这导致诊断延迟,大多数病例仅在局部侵袭症状明显的晚期才被发现。最常见的受累部位包括上颌窦、鼻腔、筛窦、额窦和蝶窦。在某些情况下,腹股沟、腹膜后和纵隔区域的淋巴结也可能受累。
鼻窦癌约占所有头颈部恶性肿瘤的3%,全球每年每10万人中约出现1例。诊断的平均年龄在50-60岁之间。鳞状细胞癌(SCC)是最常见的组织学亚型,占鼻窦恶性肿瘤的50%至80%,而肠型腺癌占病例的10%至20%。鼻窦恶性肿瘤的亚型可因地理位置而异,欧洲国家报告的这两种鼻窦肿瘤的发病率最高。
鼻窦的正常菌群包括金黄色葡萄球菌、表皮葡萄球菌、大肠杆菌、柠檬酸杆菌、变形杆菌、肺炎链球菌、流感嗜血杆菌和拟杆菌等。通常鼻窦区域的细菌性脓肿是由其中一种微生物引起的。然而,在下文的特殊病例中观察到的脓肿表现独特。
病例介绍
一名36岁的男性患者在银行工作,主诉头痛,并在过去一个月里持续恶化,此外在过去三天里一直中至高度发热。入院当天经历了一次癫痫发作。除了过去10年吸烟史外,患者否认外伤史及特殊病史。经检查,患者没有神经功能缺损。
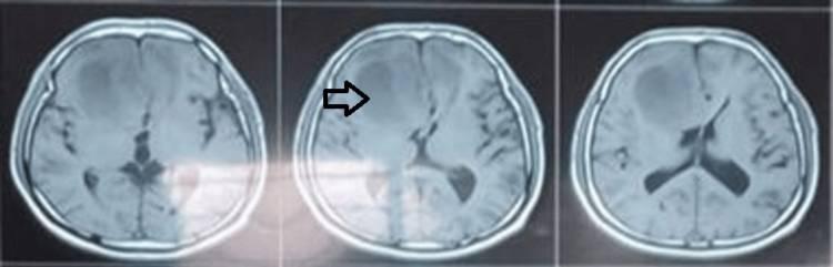
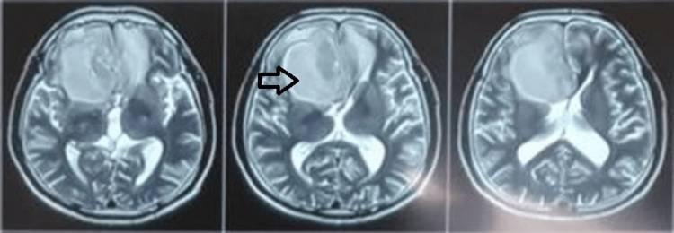
常规术前血液检查在正常范围内,胸部X光检查未发现任何明显异常。大脑的磁共振成像(MRI)发现右额叶存在轴内占位性病变,对左侧胼胝体产生压迫,伴大脑镰下疝。在T1加权图像上,病变表现为等强度(图1),在T2加权图像上表现为高强度(图2),并显示均匀的扩散限制。
图1 术前MRI脑(T1图像);右额叶轴内等强度占位性病变
图2 术前MRI脑(T2图像);右额叶轴内高强度占位性病变
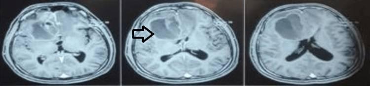
对比T1增强图像显示环形增强模式,脓肿延伸到右额窦和筛窦(图3)。考虑了细菌脓肿与真菌肉芽肿(如毛霉菌病)的鉴别诊断。
图3 术前T1增强 MRI图像;环状强化模式,延伸至右额窦和筛窦
患者接受了双额开颅术,完全切除了脓肿,同时进行了硬膜外前颅窝基底修复和额窦外固定术。术中发现脓肿壁厚,呈灰红色,含有脓性、无臭味的黄色脓液。尽可能切除了脓肿壁(图4)。
图4 切除的脓肿壁
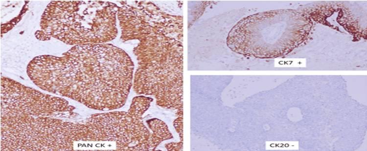
切除壁的组织病理学检查显示,乳头、小叶、片状和巢状结构中有高度细胞化的上皮生长。肿瘤表现出侵袭性特征,多边形细胞表现出多形性泡状核和中等细胞质。观察到角蛋白珠形成和活跃有丝分裂的焦点区域。基质显示明显的坏死和透明化,间质间隙有明显的淋巴细胞浸润(图5)。免疫组织化学分析显示,角蛋白呈阳性,CK呈局灶性阳性,CK20呈阴性(图(图6)。
图5 切除壁的组织病理学特征;呈片状组织的高度细胞性和侵袭性上皮肿瘤(苏木精和伊红染色)
图6 免疫组织化学分析;角蛋白阳性,CK-7局灶性阳性,CK-20阴性
术后,患者未出现神经功能缺损。后续CT扫描显示胼胝体和双额叶轻度肿胀,手术部位无血肿迹象(图7)。对脓肿排出的脓液进行培养和敏感性测试,证实存在对万古霉素敏感的金黄色葡萄球菌。患者症状明显改善,出院后接受抗生素治疗。不幸的是,患者在收到医院的组织病理学报告后失去了随访,尽管建议辅助放化疗。

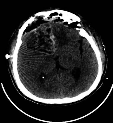
图7 术后CT脑(平片);脓肿壁完全切除,无手术部位血肿
讨论
SCC是鼻窦和鼻腔中最常见的恶性肿瘤类型,约占所有鼻腔恶性肿瘤的50%,包括腺癌(12.6%)、黑色素瘤(6.6%)、嗅神经母细胞瘤(6.3%)、腺样囊性癌(6.2%)和鼻腔未分化癌(3.1%)。鳞状细胞癌通常在晚期被发现,患者通常出现与邻近结构侵袭相关的症状(54.5%),或者不太常见的远处转移(14.9%)。早期诊断相对罕见,约占30.6%。上颌窦是鼻窦鳞状细胞癌最常见的起源部位,其次是鼻腔和筛窦。
鼻腔鼻窦SCC的特征是迅速破坏周围的骨质结构并侵入邻近的解剖区域,包括邻近的鼻窦、眶壁、颞下窝和颅底。因此,患者出现的一系列症状具体取决于受肿瘤影响的结构。常见的临床表现包括鼻塞、鼻出血、面部疼痛和持续的鼻腔分泌物。在晚期的情况下,症状可能会更加具体,反映了局部侵袭的程度,如视觉障碍、眼球突出或颅神经缺陷。
鼻窦恶性肿瘤患者的预后通常较差,生存率因诊断时的组织学类型和分期而异。鳞状细胞癌估计五年生存率约为53%。鳞状细胞癌的侵袭性,加上其在晚期被诊断的倾向,导致整体预后不良。
鼻腔的正常菌群包括金黄色葡萄球菌、表皮葡萄球菌和肺炎链球菌等。虽然已经报道了颅内延伸的鼻腔恶性肿瘤,特别是在鼻腔未分化癌的病例中,但与癌症相关的脑脓肿最常见的是放射治疗后的并发症。也有罕见的脑脓肿病例与筛窦和额窦骨瘤有关。然而,迄今为止,医学文献中还没有记录到鼻窦鳞状细胞癌引起的脑脓肿病例。
在这个独特的病例中,因脑脓肿发现了潜在的鼻窦鳞状细胞癌,这是一种以前没有报道过的情况。脓肿中金黄色葡萄球菌的存在尤其值得注意,因为它突显了一个罕见但关键的诊断挑战。区分原发性脑脓肿和继发于潜在恶性肿瘤的脑脓肿至关重要,因为它直接影响治疗方法和预后。
不幸的是,患者未能参加随访预约,包括必要的辅助放化疗。下一步,建议通过经鼻途径进行活组织检查以再次确认诊断。该程序将提供额外的组织病理学确认,确保初步发现准确无误,并指导进一步的治疗决策。
医博士编译自:Patil A, Durai P, Shetti P, et al. Sinonasal Squamous Cell Carcinoma Mimicking a Brain Abscess: Report of a Unique Case. Cureus. 2024; 16(9):e68687. doi:10.7759/cureus.68687.
声明: 所有注明“来源:医博士”的文字、图片和音视频资料,版权均属于医博士所有,转载须注明“来源:医博士”;所有转载文章系出于传递更多信息之目的,且明确注明来源和作者,不希望被转载的媒体或个人可与我们联系,我们将立即进行删除处理。