来源:医博士 | 2025-02-25
腘动脉(PA)位于腘窝,邻近股骨髁后部和膝关节囊后部。腘动脉瘤(PAA)是最常见的PA病理之一(70-80%)。大约90%的PAA归因于动脉粥样硬化,特别是在有长期吸烟、高脂血症和高血压病史的中老年患者中,65-80岁男性的发病率为1%。PA为后腿肌肉提供血液供应。未经治疗的PAA会导致腿部肌肉血流减少和缺血,严重时会导致截肢。
在极少数情况下,PAA可能是由腘动脉挤压综合征(PAES)引起的,其特征是内侧头或腓肠肌部分的异常走形从侧面压迫腘动脉。据报道,6%的PAA患者与PAES有关。PAES于1965年首次正式报道,其在年轻男性中的发病率很高,通常与血栓形成有关。在PAES肢体中,9.1%(34/374)出现动脉瘤或扩张。PAES主要影响没有明显心血管危险因素的年轻人,PA压迫通常会导致下肢缺血。从力学上讲,PAES经常通过骨和收缩肌肉之间的反复压缩对PA造成损伤,导致血管变性,最终导致动脉瘤扩张、斑块形成、血栓形成和闭塞。目前,Rich等人对PAES的修订分类已被广泛使用。本文报告了一例罕见的由PAES引起的PA假性动脉瘤患者。
病例介绍
一名30岁男性在六个月前运动后突然出现右小腿后部肌肉疼痛,被送往当地医院。患者没有发烧、间歇性右下肢跛行或“6P”症状,有多年的高脂血症病史,没有定期治疗2级高血压。无吸烟史、动脉粥样硬化、遗传性结缔组织病、血管炎或传染病(梅毒、伤寒、结核病等)病史。患者肥胖(BMI 29.38 kg/m2),没有Marfan或Loeys-Dietz综合征的迹象。右下肢皮温正常,无肌肉萎缩。在右腘窝触诊到一个搏动性肿块,右脚背动脉或胫骨后动脉未检测到可触及的动脉搏动。下肢动脉多普勒超声显示右侧PAA,患者被转诊至北京协和医院。
对患者双下肢进行增强计算机断层扫描血管造影(CTA),结果显示右腘动脉中段(P2)存在PAA(3.2×2.9×2.5cm)。此外,在右肺动脉近端段和右胫腓干远端分叉处观察到小壁血栓,右腓动脉近端分段闭塞(图1a和b)。此外,主动脉和分支动脉CTA显示没有其他动脉瘤或动脉粥样硬化。患者有动脉瘤家族史(祖母和叔叔),因此进行了基因检测,没有发现基因突变,从而排除了遗传性疾病。
入院后,评估血沉和高凝标志物(包括蛋白C、蛋白S、抗凝血酶III、活化蛋白C抵抗、狼疮抗凝物、抗磷脂抗体组和肿瘤标志物)水平,并进行了Widal和Weil-Felix试验,以排除罕见伤寒沙门氏菌感染引起的假性动脉瘤;所有这些测试都得到了正常的结果。此外,通过超声检查排除了深静脉血栓形成。
初步诊断考虑PAES,对增强CT图像进行了重新评估,显示腓肠肌(MHGM)内侧头的部分肌束穿过PA和腘静脉(PV)之间的PA外侧(图1c-eg)。这种异常的肌束起源于股骨内侧髁上方,高于正常的MHGM起源(图1d)。因此,这是III型PAES的典型病例。推测异常的MHGM会导致PA长期受压,引发PA壁微创,进而导致假性动脉瘤的形成。

图1 PAES患者在诊断和治疗过程中的图像。(a,b)计算机断层血管造影(CTA)显示的右腘动脉(PA)动脉瘤。PA狭窄用白色箭头表示。(c-g)轴位图像显示异常肌束和腘动脉瘤(PAA)。d中的黄线显示了该肌束起源于股骨内侧髁上方的位置。红色箭头表示PA。黄色箭头表示腓肠肌(MHGM)的内侧头,其中虚线表示异常的肌束。橙色箭头显示PA的分支。蓝色箭头显示腘静脉(PV)。(h-k)术中照片显示MHG、近端PA(PPA)、远端PA(DPA)、PV、胫神经(TN)和小隐静脉(SSV)的异常束
对患者进行手术治疗。在全身麻醉并俯卧后,在右腘窝做了一个S形切口,并进行了分层解剖,以暴露胫神经(TN)、PV和PA。部分MHGM肌束在PA分支下方延伸,终止于股骨内侧髁(图1h)。完全切断MHGM并暴露PAA(直径约3.5 cm),以完全暴露PA的近端和动脉瘤(图1i和j)。暴露动脉瘤后,观察到大量陈旧的附壁血栓。收集动脉瘤组织进行病理检查。由于PA远端段逆行血流不良,使用3-French血栓切除导管进行了两次血栓切除术。最后,通过健康动脉的端到端吻合,成功进行了反向SSV(小隐静脉)旁路移植(图1k)。
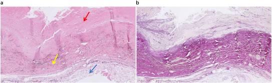
手术后,患者静脉注射肝素钠(活化部分凝血活酶时间,35-40秒)和100mg阿司匹林,每天一次,没有任何不适(右下肢肿胀、麻木或疼痛)。病理报告显示,纤维组织透明化,附壁血栓形成,没有清晰的弹性膜(图2a和b)。因此得出结论,PAES诱导血管壁组织损伤,弹性膜破裂,逐渐导致动脉血压下PA假性动脉瘤的形成。
图2 病理检查结果的代表性图像。(a) 腘动脉假性动脉瘤血管壁苏木精伊红染色;红色箭头表示附壁血栓,黄色箭头表示纤维结缔组织出现透明变性和含铁血黄素沉着症,蓝色箭头表示蜂窝组织。(b) 维多利亚蓝法对弹性纤维染色显示阴性结果
患者于术后第七天出院。出院后,患者每天口服一次10mg利伐沙班、100mg阿司匹林和质子泵抑制剂。在4个月的随访期间,患者坚持用药方案,并报告称长时间行走后右小腿没有复发症状,包括疼痛或麻木。当地医院的随访CTA显示右肺动脉血流通畅(图3a和b)。

图3 术后4个月的CTA图像。(a-b)血管造影结果显示右腘动脉血流通畅
讨论及小结
PAES在普通人群中是一种非常罕见的疾病。一项欧洲研究报告称,雅典军事医院的PAES发病率为0.165%(33/20000)。在日本,PAES的发病率为所有接受血运重建治疗的外周动脉疾病病例的0.12%。综合方法可用于诊断PAES,包括运动踝臂指数(ABI)、双功超声、CTA和磁共振成像(MRI)。近年来,几项研究报告了PAES的发生导致腘动脉假性动脉瘤。男性患者的发病率比女性患者高70%(7/10)。几乎所有患者都接受了GSV/SSV旁路移植手术,预后良好。本病例报告的独特之处在于对动脉瘤形成原因的全面筛查,特别是包括基因检测和病理结果。病理层面的证据支持PAES导致假性动脉瘤的形成,而不是纯粹的真性动脉瘤。
国际上建议对PAES患者进行手术治疗,以实现较高的缓解率。不进行PAES减压的血管内修复极有可能导致移植失败,表现为动脉闭塞。此外,血管内治疗失败后,血栓形成或栓塞可能会损害远端径流状态。
医博士编译自:Yang J, Liu P, Xu Y, et al. A rare case of type III popliteal artery entrapment syndrome causing popliteal pseudoaneurysm. Heliyon. 2025; 11(2):e41873. doi:10.1016/j.heliyon.2025.e41873
声明: 所有注明“来源:医博士”的文字、图片和音视频资料,版权均属于医博士所有,转载须注明“来源:医博士”;所有转载文章系出于传递更多信息之目的,且明确注明来源和作者,不希望被转载的媒体或个人可与我们联系,我们将立即进行删除处理。