来源:医博士 | 2025-03-04
骨髓炎(OM)是儿童最常见的肌肉骨骼感染之一,主要由金黄色葡萄球菌引起。这种骨感染可能是通过手术或开放性骨折后的血源性传播或直接细菌感染发生的。血源性OM通常影响儿童的长管状骨,较少累及立方骨、椎体和骨盆。急性髌骨OM极为罕见,仅占文献报道病例的1.1%。加上其非特异性症状和多种临床表现,对早期诊断和治疗构成了重大挑战。
及时识别和使用抗生素治疗对于实现完全康复和防止疾病发展为慢性及恶化至关重要。本报告介绍了一名既往健康的六岁男孩,他在从站立高度跌倒后出现左髌骨OM,导致轻微瘀伤。外伤发生在就诊的前三天。本文详细介绍了其临床表现、诊断过程、治疗和恢复,强调了在儿童膝关节疼痛的鉴别诊断中考虑髌骨OM的重要性。
病例介绍
一名既往健康的六岁男孩因三天前从站立高度摔倒后开始左膝疼痛而被送往急诊室。外伤发生一天后,患儿母亲注意到患儿疼痛及左膝明显肿胀,没有瘀伤,情况逐渐恶化,导致活动范围缩小,无法站立或承受左侧肢体的重量。据母亲报告,孩子的体温为38°C,在过去的两天里持续升高,并出现腹痛、稀便。
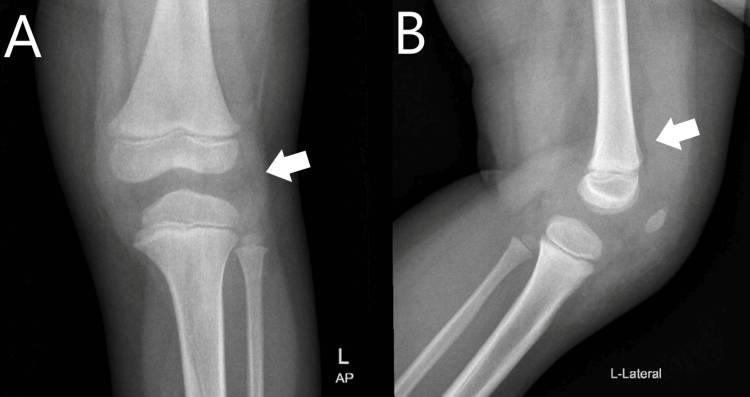
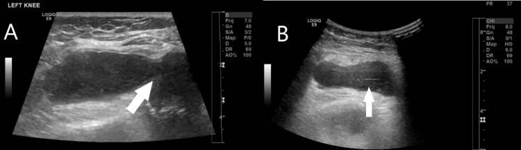
经检查,左膝触痛,有明显红斑和发热。患者只有0-90度的活动范围,运动疼痛。实验室评估显示,白细胞(WBC)计数正常,但炎症标志物较高。对左膝进行了X光检查(图1),结果显示关节周围软组织肿胀,髌上脂肪垫膨隆,指向关节积液。超声(US)还发现膝关节周围软组织肿胀,髌上囊扩张,滑膜增厚,液体少(图2)。

图1 左膝的前后视图(A)和侧视图(B),箭头显示关节周围软组织肿胀(A中的箭头)和髌上脂肪垫膨隆(B中的箭头)

图2 左膝超声显示不同的切面(A和B),箭头指向关节周围软组织肿胀。髌上囊扩张(B中箭头)明显。膝关节滑膜增厚,液体极少(A中的箭头)
入院后的第一天,进行了普通儿科、骨科和放射科的多学科讨论。穿刺出约30毫升黄色浑浊的关节液,然后将其进行细胞计数和培养分析。同时,重复的血液检测结果显示C反应蛋白水平为268.1mg/L。鉴于临床表现不变、持续发热、炎症标志物增多以及感染的放射学结果,入院第二天患儿接受了关节镜清洗和左膝清创术。
在手术过程中,采用无菌措施,将套管针引入膝盖外侧的柔软区域。大约15cc的淡黄色液体与血液混合排出。用3升生理盐水进行了大量冲洗,收集了用于流体显微镜和培养的样本,以及用于组织病理学的样本。此外,还获得了滑液用于细胞计数和综合分析。
根据普通儿科和传染病团队的建议,并根据患者的表现,经验性静脉注射万古霉素,护理计划包括继续静脉注射抗生素两周。通过每日观察对患者进行密切监测,并计划每两周重复一次实验室检查。此外,患者每天接受理疗师的随访,以获得左膝的完全活动度,防止关节僵硬。
液体培养分析显示,对甲氧西林高度敏感的金黄色葡萄球菌(MSSA)生长呈阳性。静脉注射万古霉素改为静脉注射氟氯西林,但给药时引起灼热感,因此改为头孢唑林。患者共接受了两周的抗生素治疗。
术后不同时间间隔内进行了多次实验室测试,结果显示,出院当天所有炎症标志物均大幅下降。
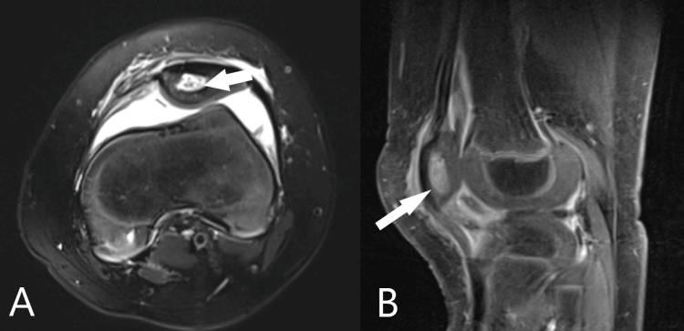
手术后几天,出现髌前肿胀、皮疹和压痛;因此,对左膝进行磁共振成像(MRI)以排除膝关节周围的OM。该研究证实,髌骨OM有一个发际线样窦道,延伸到膝盖内侧的髌旁软组织(图3)。然而,脓液的量非常微小,因此继续静脉注射抗生素治疗。
图3 左膝轴位(A)和矢状(B)切面的磁共振成像显示髌骨骨髓炎,伴有皮质破坏(B中的箭头)和小的窦道(A中的箭头)
鉴于患者的临床状况有所改善,炎症标志物呈下降趋势,手术后一周出院,并继续口服氟氯西林四周。随后,患者在门诊接受了持续的随访护理。一年半后电话随访证实膝盖恢复了正常的活动度,包括运动。
讨论
膝化脓性关节炎在儿科骨科中相对常见,其与股骨远端或胫骨近端OM的关系在文献中多有记录。然而,这是第一例将髌骨OM与膝化脓性关节炎联系起来的病例报告。准确诊断髌骨OM可能具有挑战性,由于发生率低和临床表现各异,通常会导致诊断延迟。通常考虑的初步鉴别诊断包括蜂窝组织炎、滑囊炎、化脓性关节炎和滑膜炎。
患有髌骨OM的儿童可能会出现一系列症状,包括主观疼痛、关节运动受限和步态模式改变。其体检结果、影像学和实验室检查的非特异性使诊断过程变得复杂。症状可能包括髌骨周围的轻度至重度疼痛,跛行或运动受限,伴有不同程度的髌前肿胀,局部炎症体征并不总是显著。实验室检查可能出现白细胞计数高和C反应蛋白水平升高。早期平片可能只显示髌前区的软组织肿胀,随后出现骨破坏和硬化。
尽管进行了适当的抗生素治疗,但当膝关节前部蜂窝组织炎或滑囊炎的症状持续存在时,临床医生应考虑髌骨OM。诊断成像技术包括X片、放射性核素骨扫描、计算机断层扫描(CT)和MRI,其中MRI在确认诊断方面尤为突出。髌骨或髌前囊穿刺进行革兰氏染色和培养是鉴定致病菌的最有效方法,金黄色葡萄球菌是最常见的病原体。
抗生素是治疗无并发症髌骨OM病例的基础,尽管口服或静脉注射的持续时间和首选给药途径并未统一。治疗髌骨OM的指南尚未明确,但大多数血源性OM的儿科病例都是用抗生素治疗的。在出现脓肿等情况下,可能需要手术干预,包括清创和刮除,以清除坏死物质或死骨。保守治疗和手术治疗的选择仍然有争议。手术适应症包括骨膜下和软组织脓肿,48-72小时内对静脉注射抗生素缺乏反应,以及死骨形成。清除所有坏死物质和脓液对于获得良好的临床结果和防止疾病复发或转变为慢性至关重要。若怀疑化脓性关节炎伴髌骨OM,应先进行膝关节穿刺,因为看似脓性的液体可能是对OM有反应的无菌关节积液。
医博士编译自:Abdelwahab A, Muzammil FI, Nidal A, et al. Osteomyelitis of the Patella With Extension Into Parapatellar Soft Tissues in a Six-Year-Old Boy: A Case Report. Cureus. 2024;16(11):e73261. doi:10.7759/cureus.73261
声明: 所有注明“来源:医博士”的文字、图片和音视频资料,版权均属于医博士所有,转载须注明“来源:医博士”;所有转载文章系出于传递更多信息之目的,且明确注明来源和作者,不希望被转载的媒体或个人可与我们联系,我们将立即进行删除处理。