来源:医博士 | 2025-03-11
喉部损伤并不常见,据报道每5000-137000次急诊中有一次发生,通常是由颈部严重创伤引起的,通常与颅内损伤、穿透性颈部损伤、颈椎和面部骨折有关。环状软骨孤立性骨折极为罕见,尽管如此,它仍可能导致危及生命的气道阻塞。
患者可能会出现一系列症状,如呼吸困难、发音困难、颈部疼痛、吞咽困难、吞咽疼痛和咯血,通常在创伤发作后立即出现。然而,一些患者在就诊时没有症状,多达三分之一的患者在最初的24-48小时内没有体征或症状,这可能会导致诊断延迟。
在高达37%的患者中,创伤性喉损伤的发病率与气道阻塞以及与吸气和发声相关的并发症有关。这种损伤的罕见性和医生意识的缺乏导致了这些骨折的诊断不足。
本文报告了一例孤立性环状软骨骨折的延迟诊断,该骨折表现为间歇性症状,没有明显的颈部创伤。本病例强调了及时识别和治疗喉部骨折的必要性,以避免与这种损伤相关的发病率和死亡率,并改善患者的预后。
病例介绍
一名28岁的女性因药物中毒导致意识下降送医。之前有过服毒、神经性厌食症、贫血和双相情感障碍的病史。抵达医院后,患者出现了镇静催眠综合征的特征,格拉斯哥昏迷评分(GCS)为8/15,瞳孔反应性差。生命体征在其他方面都很稳定。体检中没有发现瘀斑、骨折或肺气肿的迹象。实验室检查显示尿液中有苯二氮卓类药物的证据,没有其他相关变化。在初步检查后,为了维持气道,麻醉师在静脉麻醉和肌松作用下用直径7毫米的气管插管进行了插管,没有出现任何并发症。
根据重症监护室(ICU)和毒理学中心建议给其进行了适当的治疗。三天的机械通气期间患者只有几次躁动,没有其他情况发生。拔管后,患者出现了轻度发音障碍和吞咽痛,并在皮质类固醇治疗后有所改善。随后患者违背临床建议出院,无法立即进行随访。
后来患者发音障碍恶化伴有呼吸困难,再次服用了口服皮质类固醇。初次入院两周后,因呼吸急促和发音困难返回就诊。耳鼻喉科(ENT)医生进行纤维鼻咽镜检查,结果显示轻度声带功能障碍,声门腔存在,整个咽部和喉部粘膜完整。
尽管进行了保守治疗,但症状依然存在。耳鼻喉科医生进行了重新评估,颈部计算机断层扫描(CT)没有发现明显的相关发现,出院时服用了口服类固醇和雾化支气管扩张剂。
三天后,由于发音困难、呼吸困难和喘鸣逐渐恶化,患者再次入住重症监护室进行监测和治疗。入院第三天,在剧烈喘鸣发作期间需要紧急插管。插管时可见明显的声门狭窄,气管插管直径限制在6mm。第二天进行手术,直接喉镜探查显示喉部有脓性分泌物,右侧杓状软骨和杓会厌褶皱明显水肿,声带和声门下区域水肿,导致气道口径大幅减小。在第二和第三气管环之间进行临时气管切开术,以保持气道通畅。
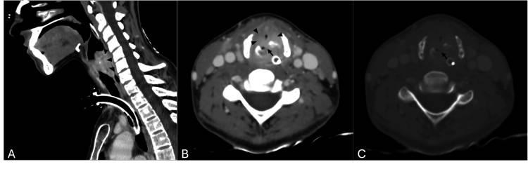
进行了新的CT扫描,结果显示环状软骨完全轴向骨折,偏斜6mm,马蹄形声门下脓肿导致气道明显狭窄(图1)。

图1 (A) 矢状位和(B,C)轴位计算机断层扫描图像显示环状软骨移位、垂直向的完全骨折(箭头),伴有声门下脓肿(箭头)
手术后,患者的气道症状明显改善,允许在术后数小时内通过气管切开术过渡到自主通气。
与耳鼻喉科团队讨论后选择保守治疗,从抗生素治疗开始,但不排除手术引流脓肿。患者在耳鼻喉科继续治疗,通过反复的喉镜检查和CT扫描监测进展。在此期间,通过鼻胃管进食,并开始进行言语治疗,以帮助改善发音和吞咽。
气管切开16天后,可见正常的声门腔,声带活动度几乎正常。随后,患者无症状出院,接受了气管造口封闭和口服抗生素治疗。
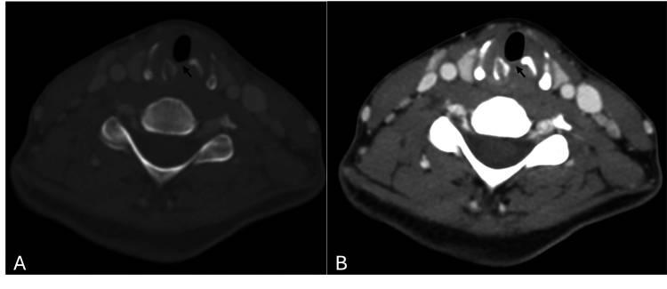
患者一个月后复查提示症状进一步改善,纤维喉镜检查显示声带外展仅轻度受限。出院两个月后的随访中,完全无症状,声带活动正常,CT扫描声门下积液完全消失(图2)。
图2 (A,B)计算机断层扫描图像显示声门下脓肿消失,左侧环状软骨已知移位骨折(箭头)
讨论
喉部损伤并不常见,因为下颌骨、胸骨和胸锁乳突肌一定程度地保护软骨。环状软骨骨折通常与其他喉部骨折有关,大多数是由严重创伤引起的,如钝颈创伤、绞刑。
孤立性环状软骨骨折极为罕见,但可能危及生命。文献中很少有关于轻微颈部创伤引起的孤立性骨折的报道。孤立环状软骨骨折与喉外操作后的插管或由于不合适的气管插管尺寸有关。非创伤性喉部骨折是一种极为罕见的表现,迄今为止文献中只有一例记录了自发性环状软骨骨折。
环状软骨对于发音和气道通畅至关重要。发音功能取决于环状软骨的后部,即杓状软骨的位置,而气道由前部维持。环状软骨骨折的表现形式可能是声音变化、严重喘鸣和呼吸窘迫,这些症状可能在创伤发作后立即出现。此外,相当一部分患者一开始可能完全没有症状。尽管如此,也可能出现严重的发病率和后遗症,与难以保持气道通畅、发声和与吸入相关的并发症有关。在体检中,颈部肿胀、瘀斑、喉部压痛、解剖标志丢失和皮下气肿必须引起高度重视。
在情况稳定和合作的患者中检查应包括内窥镜检查。纤维喉镜是评估气道状态、声门和喉部解剖、声带功能、粘膜变化和识别移位喉部结构的简单可行选择。颈部CT扫描是初步评估的首选成像方式,可以快速准确地检测喉部损伤。然而,由于解剖变异或不对称骨化模式,这些骨折的放射学诊断可能具有挑战性。骨窗和软组织窗成像至关重要。当环状软骨出现轻微钙化时,骨折可能很难被发现,年轻患者也可能出现这种情况。
放射科医生必须熟悉喉部骨折模式和相关软组织异常,以确保及时诊断这些损伤。在对接受CT成像的喉部骨折患者的回顾性研究中,Buch等人报告称环状软骨骨折总是伴有软组织异常。环状软骨脓肿是喉脓肿中最罕见的一种。导致脓肿形成的病理机制尚不清楚,但似乎与免疫功能低下状态和机械损伤有关,如插管和鼻胃管放置。
小结
由于存在致命后果和慢性后遗症的风险,对喉部损伤进行彻底评估和管理至关重要。治疗重点是气道保护和维持通气,但最佳方法仍然存在争议。如果喉内保持完整且气道通畅,可以对孤立的环状软骨骨折进行单纯观察。建议对移位骨折进行切开复位固定。
医博士编译自:Pereira C, Lopes Freitas R, Pereira C, et al. Isolated Cricoid Fracture After Intubation. Cureus. 2024;16(11):e74811. doi:10.7759/cureus.74811
声明: 所有注明“来源:医博士”的文字、图片和音视频资料,版权均属于医博士所有,转载须注明“来源:医博士”;所有转载文章系出于传递更多信息之目的,且明确注明来源和作者,不希望被转载的媒体或个人可与我们联系,我们将立即进行删除处理。