来源:医博士 | 2025-03-20
根据文献,卵巢鳞状细胞癌(SCC)是一种不寻常的疾病,在所有原发性卵巢恶性肿瘤中的发病率低于1%。大多数病例源于成熟囊性畸胎瘤、皮样囊肿的恶性转化,较少与子宫内膜异位症或Brenner瘤相关。也有记录显示与上述卵巢疾病无关的原发性卵巢鳞状细胞癌。典型表现为绝经后妇女,平均年龄52.9岁,由于与肿瘤生长或转移相关的症状而就诊。截止目前,记录的鳞状细胞癌病例不超过42例。
卵巢鳞状细胞癌的临床表现因疾病的进展和临床分期而异。早期病例可能表现为非特异性表现,如弥漫性盆腔或腹部压痛。在晚期,由于存在多个肿块、内脏压迫或侵袭,可能会出现腹胀。因此,晚期患者的表现可能因可触及的腹部肿块、阴道出血和肠道或膀胱功能障碍而异,而一些症状是非特异性的,包括体重减轻和发热。就治疗而言,病例的罕见导致缺乏标准化的治疗方案。这一领域的经验仍然局限于个别病例报告或病例系列。
本文报告了一例由右卵巢皮样囊肿引起的鳞状细胞癌病例,包括对组织发生、诊断、当前治疗选择和预后的简要回顾。
病例介绍
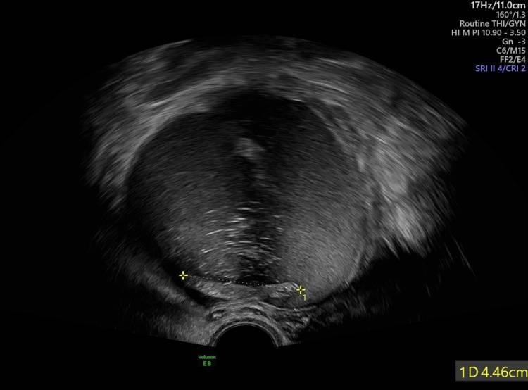
一位62岁的女性因腹痛和发热就诊。人病史包括过敏性哮喘、血脂异常和阑尾切除术。在临床检查期间,触诊了源自右卵巢的腹部肿块,这一发现最初是通过腹部超声发现的,被描述为右卵巢解剖区域直径为12厘米的异质结构。超声特征提示恶性肿瘤的可能性(图1)。

图1 腹部超声显示直径为10cm的肿块
CT扫描证实了这一结论,可能是由于卵巢浆液性囊腺癌压迫了右输尿管。关于肿瘤标志物,只有CA 19-9显著升高,超过19790 U/mL,常见于粘液性或交界性卵巢肿瘤。妇科肿瘤学家、放射肿瘤学家和医学肿瘤学家多学科会诊,决定进行诊断性腹腔镜检查。手术期间进行的Fagotti评分为10/14(半膈肌、腹膜、网膜、小肠和肠系膜),并对腹膜和网膜进行了活检,但没有观察到子宫内膜异位症或子宫内膜异位瘤的迹象,将其排除在鉴别诊断之外。组织病理学报告排除了恶性肿瘤的发生率,因此,进行了PET-CT的进一步调查,结果显示可能存在卵巢恶性肿瘤,伴有盆腔淋巴结肿大和腹膜癌。
考虑到上述情况,决定进行剖腹探查术。手术期间,进行了右输卵管卵巢切除术和右输卵管卵巢脓肿引流术,并进行快速活检,证实为恶性肿瘤。因此在手术中,决定进行初次减瘤,包括全子宫切除术伴双侧输卵管卵巢切除术、胃下网膜切除术、肝圆韧带切除术、套管针切口部位切除术、部分壁腹膜和网膜附件切除术,最后切除乙状结肠和直肠,进行结肠造口术。根据组织病理学,肿物存在鳞状成分,免疫组织化学结果显示p63、细胞角蛋白(CK)5/6和CK34bE12标记物呈阳性。根据国际妇产科联合会(FIGO)的分类,诊断为原发性鳞状卵巢癌中度分化,IIB期,起源于皮样囊肿,该囊肿扩展到腹膜后脂肪,最终形成乙状结肠浆膜。通过术后CT扫描、胸部X光检查和头颈部检查,并在没有p16标记物的情况下通过免疫化学检查,排除了继发或转移到卵巢的癌症的可能性。患者随后进行化疗,目前复查随访未出现并发症,总生存期(OS)为三个月。
讨论
在大多数情况下,卵巢原发性鳞状细胞癌起源于皮样囊肿。虽然成熟畸胎瘤占卵巢肿瘤的20%,但它们的恶性转化发生在不超过5.5%的病例中,其中高达75%的转化导致鳞状细胞癌。卵巢畸胎瘤的恶性转化可以起源于这些肿瘤内的任何生殖细胞类型。因此,以下任何一种组织病理学类型都可能出现:腺癌、鳞状细胞癌、肉瘤、黑色素瘤、腺鳞状细胞癌或类癌。然而,值得注意的是,在鳞状细胞癌中绝大多数病例(高达80%)显示出侵袭性特征,如肿瘤体积增大和肿瘤内血管化的放射学征象。
文献一直强调其侵犯性,通常与六个月内低于20%的低存活率有关。此外,几位作者提出,高危型人乳头瘤病毒(HPV)感染是与卵巢鳞状细胞癌发展相关的常见致癌因素,因为36%至52%的患者是HPV阳性。关于高危型HPV相关卵巢鳞状细胞癌的报道很少,大多是个案研究,表明HPV与卵巢鳞状细胞癌之间存在潜在联系。一些研究,在生殖道组织中发现了HPV DNA,包括卵巢肿瘤内,而另一些研究则报告了宫颈和卵巢的同步病变。
卵巢鳞状细胞癌的鉴别诊断包括原发性卵巢病变伴鳞状分化。其中包括鳞状分化的子宫内膜样癌、与成熟囊性畸胎瘤相关的鳞状细胞癌、卵巢癌肉瘤(恶性混合中胚层肿瘤)、子宫内膜异位症以及来自其他器官或解剖位置(如宫颈)的转移。
医博士编译自:Margioula-Siarkou C, Almperi EA, Almperis A, et al. Squamous Cell Carcinoma of the Ovary: A Rare Case. Cureus. 2024;16(11):e74547. doi:10.7759/cureus.74547
声明: 所有注明“来源:医博士”的文字、图片和音视频资料,版权均属于医博士所有,转载须注明“来源:医博士”;所有转载文章系出于传递更多信息之目的,且明确注明来源和作者,不希望被转载的媒体或个人可与我们联系,我们将立即进行删除处理。