隆乳和腹部整形术后自发性气腹的保守治疗

来源:医博士  | 2025-04-15    


气腹通常与需要紧急手术的中空内脏穿孔相关,在某些情况下可以是非手术或自发的。本文报告了一例女性患者,接受了隆胸和腹部整形手术,出现了自发性气腹,并接受了保守治疗。

 

病例介绍

患者女性吸烟者,32岁,目前尚不清楚是否有任何既往病史。患者在整形外科入院,接受了双侧隆乳术和腹直肌折叠术。手术顺利进行,无并发症,术后过程顺利。术后第三天,患者情况良好,仅出现轻度手术部位压痛和轻度呼吸急促。经口进食耐受,没有恶心,并且排便。

 

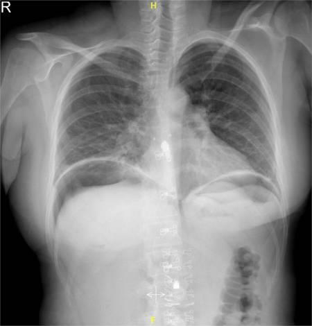
经检查,患者有心动过速和呼吸急促。然而,血压、体温和氧饱和度均在正常范围内。腹部柔软,没有膨胀,手术部位有轻微压痛。手术切口清洁干燥。对患者进行了镇痛,但生命体征没有改善。血红蛋白(Hb)水平为9g/dl,白细胞(WBC)计数为12×10%/l。电解质、肝肾功能均在正常参数范围内。在直立胸片上,横膈膜下可见气体(图1)。

 

图1 直立胸部X光片上横膈膜下有气体

 

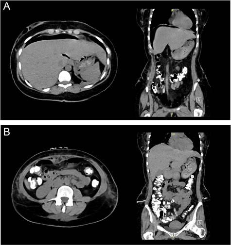
就胸部X光片中的发现咨询了普外科团队,经过评估,进行了紧急腹部计算机断层扫描(CT),并进行了静脉、口腔和直肠造影(图2A和B),显示有中度气腹和腹膜外皮下积气。然而,造影剂可以自由通过,没有泄漏或外渗的迹象。

图2(A) 腹部CT显示膈下气腹。(B) 腹部CT三重造影,无任何造影剂外渗

 

决定继续进行保守治疗。患者在接下来的2天内接受了评估,目前状况良好。症状明显改善,患者出院。

 

讨论

气腹最常见的原因是中空内脏穿孔。除了少数例外情况,治疗这种疾病通常需要剖腹手术。然而,对于一些不是由穿孔引起的气腹患者,保守治疗可能就已足够。意识到气腹背后的异常原因对于防止不必要的手术干预是必要的。这种情况被称为“非手术性气腹”或“无腹膜炎的自发性气腹”。

 

在这种情况下,生命体征相对正常,脉率略有上升,这可能是由于手术部位的疼痛,正如患者抱怨切口部位疼痛那样。缺乏腹膜体征和正常肠鸣音也有助于排除急性手术的必要。CT扫描结果也支持这一点,显示口服造影剂穿过胃肠道,没有泄漏或外渗。

 

许多因素与非手术气腹有关,包括扁桃体切除术和拔牙等口咽疾病;腹部疾病,如肠囊性积气、气腹、空肠憩室、内窥镜检查、剖腹手术、腹腔镜检查、气肿性胆囊炎、腹膜透析和穿刺术;妇科疾病,如盆腔检查、产后膝胸运动、阴道冲洗、口腔生殖器通气、输卵管通气和子宫切除术后性交。此外,也有“特发性气腹”的情况,病因尚不确定。

 

该患者有气腹,但原因尚未确定。尽管普遍认为气压伤是这一医学问题的根本原因,但患者的表现包括快速增长的气腹、腹部大量气体而其他体腔无明显气体,并且之前没有气压伤的记录。虽然某些非手术性气腹的患者没有症状,但大多数患者会抱怨非特异性的腹部不适和腹胀。疼痛可能仅由腹部膨胀引起,腹膜刺激可能由气体引起。增强CT可以寻找穿孔的部位,准确率为86%。保守治疗对于无症状的非手术性气腹患者来说是一种简单的选择,但对于有严重症状和腹膜不适的患者来说可能会造成严重后果。

 

小结

本病例的经验表明,无论特发性气腹患者是否出现腹膜炎的症状和体征,都可以保守治疗。Sanchez等人建议在充分评估排除内脏穿孔的情况下,对有气腹症状的个体进行保守治疗。既定的治疗方法包括静脉注射抗生素、全胃肠外营养、肠休息等。

 

医博士编译自:Alsobyani F, Alshakri K, Attar HM, et al. Conservative management in a spontaneous pneumoperitoneum post breast augmentation and abdominoplasty: a rare case report. Journal of Surgical Case Reports. 2024; 2025(1):rjae814. doi:10.1093/jscr/rjae814

https://pubmed.ncbi.nlm.nih.gov/39735333/


声明: 所有注明“来源:医博士”的文字、图片和音视频资料,版权均属于医博士所有,转载须注明“来源:医博士”;所有转载文章系出于传递更多信息之目的,且明确注明来源和作者,不希望被转载的媒体或个人可与我们联系,我们将立即进行删除处理。