来源:医博士 | 2025-06-23
前额痛是一种常见的临床症状,通常归因于紧张性头痛、鼻窦炎或偏头痛等常见原因。然而在极少数情况下,这些头痛可能预示着更复杂的潜在病理。垂体神经内分泌肿瘤(PitNET,以前称为腺瘤)是起源于腺垂体上皮细胞的良性肿瘤,是鞍区最常见的肿瘤,通常表现为内分泌功能障碍或视交叉和颅神经等附近结构的肿物效应。虽然较大的垂体肿瘤不太常见,但它们可能会延伸到海绵窦和蝶窦等邻近区域,导致类似鼻窦疾病的非典型症状,这可能会延迟诊断。
在PitNET中有一种罕见的亚型称为无症状促肾上腺皮质激素腺瘤(SCA),其产生促肾上腺皮质激素(ACTH)而不引起皮质醇增多症的临床症状。SCA约占所有PitNET的3%-6%,约占无功能PitNET的5.5%。通常,SCA在术后通过组织病理学分析得到证实,免疫组织化学检测显示ACTH或垂体限制性T-box转录因子(T-PIT)呈阳性染色,这有助于SCA与其他无功能PitNET的区分。
本病例讨论了一例持续性额部痛的患者,该患者最终被诊断为SCA,表现为右侧蝶窦肿物。磁共振成像(MRI)在这一诊断中发挥了关键作用,提供了鞍和鞍旁区域的详细可视化,以评估肿瘤的起源及其对邻近结构的影响。
病例介绍
一名43岁的土耳其裔男子因2年的频繁前额痛病史就诊,每周发作几次,并放射至枕骨。既往病史包括阻塞性睡眠呼吸暂停综合征,无特殊手术史及家族史,从19岁起每日一包烟,报告社交饮酒,并否认娱乐性吸毒及药物使用史。患者否认有肢端肥大症的症状,包括肢端增大、面部特征变粗和多汗症。否认了性腺功能减退、甲状腺功能减退、肾上腺功能不全或皮质醇增多症的症状,包括皮肤变薄、易瘀伤、中心体重增加、腹部出现红色或紫色条纹、肥大相和近端肌肉无力。否认有溢乳、视野缺陷、多尿、多饮或夜尿症。
经体检,患者表现良好,没有肢端肥大症或库欣样症状。血压为139/101 mmHg,心率为70 bpm,体重为100 kg。对抗和眼外运动的视野测试正常。除此之外,体检结果无明显异常,未进行相关的内分泌实验室检查。
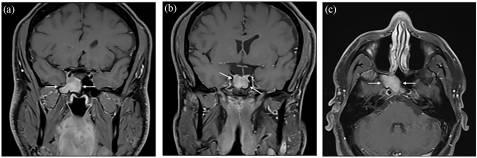
2022年9月,患者接受了鼻窦MRI检查,报告为:右侧蝶窦肿物30×20mm,右侧海绵窦延伸,右颈内动脉180°包绕,直径不变。病变向后侵犯蝶鞍,无法与垂体区分,垂体柄轻微向左偏移。病变完全占据蝶鞍,T2时呈等强度至低强度(图1)。病变具有非特异性信号特征。鉴别诊断包括非典型蝶骨脑膜瘤、低级别癌或淋巴瘤,血管瘤或囊性腺瘤的可能性较小。

图1 术前MRI。冠状(a,b)和轴位(c)T1钆后MRI显示肿物增强,累及右侧蝶鞍下外侧,并延伸至蝶窦右侧隐窝和海绵窦
随后,患者在全身麻醉下接受了蝶窦肿物的内窥镜活检。组织病理学分析报告为:ACTH/T-PIT/GATA-3 PitNET阳性,提示为稀疏颗粒型促肾上腺皮质激素腺瘤。患者完成了24小时的游离皮质醇尿液采集,以筛查皮质醇增多症(结果:284 nmol/d[正常范围28-276 nmol/d],但当是正常上限的两倍时,才被认为具有临床意义),基于IGF-1水平低,提示可能存在GH缺乏症。鉴于患者没有明显症状,因此没有对可能的生长激素缺乏症进行进一步的内分泌评估(包括动态测试)。根据目前的内分泌学会指南,应完成两次24小时尿游离皮质醇采集或替代测试,以有效排除生化皮质醇增多症。但该病人由于各种限制,术前未按时完成。
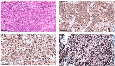
患者于2023年4月接受了经蝶窦手术。最终手术病理报告为:上皮样肿瘤增殖,由没有腺泡结构的均匀细胞群组成。可见胶原化区域,也存在正常垂体。肿瘤细胞对T-PIT、ACTH和GATA-3呈阳性(图2)。它们对PIT-1、SF-1、催乳素、GH、FSH和LH呈阴性。CK8/18呈阳性,胞浆表达强烈。增殖指数(Ki-67)为0.9%。术后总体诊断证实了初步活检:促肾上腺皮质激素PitNET。

图2 促肾上腺皮质激素垂体神经内分泌肿瘤(腺瘤)的组织病理学。福尔马林固定石蜡包埋(FFPE)组织切片显示苏木精和伊红染色(a),突出了由没有腺泡结构的均匀细胞群组成的上皮样肿瘤增殖,有胶原化区域和邻近的正常垂体。ACTH(b)的免疫组织化学染色显示弥漫性细胞质阳性,证实了促肾上腺皮质激素谱系。T-PIT(c)的核染色显示强烈的核阳性,支持促肾上腺皮质激素腺瘤的诊断。GATA-3染色(d)显示阳性免疫反应性,反映了同时表达GATA-3和T-PIT的SCA亚群,表明其混合促肾上腺皮质激素和促性腺激素转录组特征
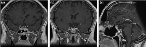
术后患者出现短暂的中枢性肾上腺功能不全和中枢性尿崩症,需要使用氢化可的松和去氨加压素进行临时治疗,并在接下来的八个月内成功地逐渐减量。术后三个月的促肾上腺皮质激素刺激试验显示,皮质醇峰值在60分钟时为701 nmol/L,排除了中央肾上腺功能不全,支持氢化可的松减量。术后7个月的夜间禁水试验显示,血清钠为141 mmol/L,血清渗透压为289 mOsm/kg,尿液渗透压为665 mOsm/kg,因此排除中枢性尿崩症,允许停用去氨加压素。术后18个月,患者垂体前叶和垂体后叶功能正常,垂体激素水平正常。随访MRI显示,颈内动脉周围的右侧海绵窦中只有一个小的残留肿瘤信号,尺寸为4×15 mm(图3)。患者报告术后头痛部分缓解。

图3 术后MRI。冠状(a,b)T1钆后MRI显示肿瘤切除,包括延伸到海绵窦的部分。矢状重建(c)显示蝶鞍鼻中隔皮瓣的重建
最近的研究表明,与其他PitNET相比,SCA更容易侵入骨和邻近结构,如海绵窦和蝶窦。值得注意的是,GATA-3近年来已成为PitNET分类的补充免疫组织化学标记。SCA的一个子集表达GATA-3和T-PIT,这是其混合促肾上腺皮质激素和促性腺激素转录组特征的基础。头痛是垂体瘤中常见的非特异性症状,年龄较小,Ki-67指数较高(>3%),与术前更严重的头痛相关,可能反映了肿瘤的侵袭性和侵袭性。经蝶窦手术通常可以改善头痛症状,尽管有些患者可能没有改善或出现新的头痛,这可能会影响他们的生活质量。
小结
该病例强调,在非典型蝶窦肿物的鉴别诊断中,特别是在出现慢性头痛等非特异性症状的患者中,迫切需要考虑SCA。由于其沉默的激素谱,SCA经常逃避早期检测,诊断依赖于先进的成像和详细的组织病理学分析。早期识别至关重要,因为与其他垂体腺瘤相比,SCA表现出更大的攻击性和更高的复发率,因此需要采取积极的治疗。内分泌学家、耳鼻喉科医生、神经外科医生、放射科医生和病理学家之间的合作至关重要。
医博士编译自:McNicoll MM, Himdi L, Tewfik M, et al. An unexpected case of frontal headache: Silent corticotroph pituitary neuroendocrine tumor presenting as a sphenoid sinus mass. Sage Open Medical Case Reports. 2025; 13:2050313X251332081. doi:10.1177/2050313X251332081
声明: 所有注明“来源:医博士”的文字、图片和音视频资料,版权均属于医博士所有,转载须注明“来源:医博士”;所有转载文章系出于传递更多信息之目的,且明确注明来源和作者,不希望被转载的媒体或个人可与我们联系,我们将立即进行删除处理。