来源:医博士 | 2025-07-18
平滑肌瘤是一种良性平滑肌肿瘤,常见于子宫、食管和小肠,不太常见于皮肤组织。皮肤平滑肌瘤占所有平滑肌瘤的5%,占所有子宫外平滑肌瘤的75%。据报道,毛发平滑肌瘤通常在四肢、躯干和生殖器上形成,更罕见的是在脸上。
皮肤平滑肌瘤是一种良性平滑肌肿瘤,根据其起源分为以下几类:血管平滑肌瘤起源于血管的中膜,生殖器平滑肌瘤来源于阴唇、阴囊和乳头的平滑肌,毛发平滑肌瘤起源于毛囊的竖毛肌。毛发平滑肌瘤可以偶发性发生,也可以作为Reed综合征的一部分发生,Reed综合征是一种常染色体显性遗传疾病,在这种疾病中,毛发平滑肌瘤会发展,并与肾细胞癌的风险增加有关。
关于皮肤平滑肌瘤发病率的数据有限,它在成人中比在儿童中更常见,并且生物性别之间没有发病率差异。根据有限的病例,9.3%的皮肤平滑肌瘤出现在面部和颈部,大多数发生在躯干和四肢。
在本病例报告中,一名63岁的男性在耳前区域出现,这是发表时报告的第八例此类病例,也是此类肿瘤罕见且不寻常的位置。
病例介绍
一位63岁的男性因右耳前肿物就诊,患者一年前发现肿物,且肿物体积增大。患者否认疼痛、听力损失、头晕或任何其他症状。体格检查显示,耳前区域有一个可移动、柔软的1x1厘米肿物,边缘光滑。由于体检结果与症状无关,未进行放射学检查或针吸活检。无子宫肌瘤、多发性皮肤肿瘤或肾脏恶性肿瘤的家族史。
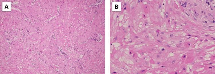
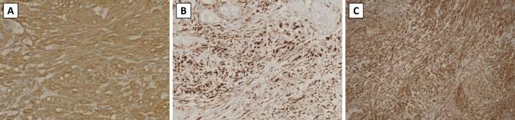
患者进行了肿物切除,术后随访一周和一个月,未报告肿物复发,未按计划进行为期三个月的随访。病理报告显示,肿物与皮肤平滑肌瘤一致(图1)。平滑肌肌动蛋白(SMA)、结蛋白和钙调结合蛋白的免疫组织化学染色呈阳性(图2)。肿瘤对突触素、CD34、因子XIIIa、β-catenin和S100呈阴性染色。

图1 平滑肌瘤的H&E染色。肿瘤显示(A)螺旋状和(B)纺锤形、“雪茄形”核,末端钝

图2 平滑肌瘤的免疫组织化学染色呈阳性。(A) 平滑肌肌动蛋白染色;(B)结蛋白染色;(C)钙调结合蛋白染色
平滑肌瘤是一组常见的良性平滑肌肿瘤,通常见于绝经前妇女,表现为子宫肌瘤。平滑肌瘤通常与子宫和胃肠道有关,而皮肤平滑肌瘤通常出现在四肢和躯干的皮肤上。皮肤平滑肌瘤有三种亚型:毛发平滑肌瘤、生殖器平滑肌瘤和血管平滑肌瘤,可以表现为单个病变或多个病变。毛发平滑肌瘤是最常见的亚型,起源于竖毛肌。
耳前肿物病变的鉴别诊断包括更常见的耳前囊肿或免疫刺激引起的淋巴结肿大。肿瘤,包括罕见的皮肤平滑肌瘤,也应该考虑。孤立性皮肤平滑肌瘤通常零星形成,然而,在Reed综合征的背景下,可能会发现皮肤多发平滑肌瘤。Reed综合征是一种常染色体显性遗传疾病,通常与多发性皮肤平滑肌瘤和肾细胞癌有关,此类病人可能涉及肿瘤家族史,尤其是子宫肌瘤。
耳前病变的其他鉴别诊断应包括腮腺肿物,如肿瘤、赘生物和囊肿。由于颞下颌关节(TMJ)在解剖学上靠近耳前区域,因此涉及TMJ的情况也很重要。这些疾病包括颞下颌关节的神经节囊肿,以及各种骨病,如骨瘤、骨软骨瘤和滑膜软骨瘤病。为了进行适当的检查,应进行全面的病史和体格检查,以及CT/MRI成像。
完全手术切除是孤立性皮肤平滑肌瘤的金标准治疗方法。患有多发性皮肤平滑肌瘤的患者复发风险很高。本研究强调了在皮肤和皮下病变中检测平滑肌肿瘤标志物(如SMA)以排除皮肤平滑肌瘤的重要性。阳性的免疫组织化学结果可以提醒诊断人员注意不寻常的症状群,如Reed综合征,并为未来的治疗计划提供信息。由于复发和美容问题,手术可能不适用于多发性病变,治疗包括二氧化碳消融。适当的随访应包括评估复发情况,对可能改变治疗计划的新病变进行密切的皮肤病学观察,以及对遗传性疾病的其他考虑。
医博士编译自:Velasquez L, Hahn D, Sookai V, et al. Preauricular Leiomyoma: A Rare Presentation of a Cutaneous Smooth Muscle Tumor. Cureus. 2025; 17(4):e81695. doi:10.7759/cureus.81695.
声明: 所有注明“来源:医博士”的文字、图片和音视频资料,版权均属于医博士所有,转载须注明“来源:医博士”;所有转载文章系出于传递更多信息之目的,且明确注明来源和作者,不希望被转载的媒体或个人可与我们联系,我们将立即进行删除处理。