来源:医博士 | 2025-08-14
肠气囊肿(PI)也称为囊样肠积气(PCI),是一种罕见的疾病,其特征是肠壁内有多个充气袋。这些囊肿通常充满氧气或氮气等气体,可以在X射线、CT扫描或超声波等成像中看到。肠气囊肿是一种放射学发现,而不是诊断,表明潜在的疾病。肠气囊肿根据病因分为原发性(特发性)肠气囊肿,可自发发生,无任何可识别的原因。继发性PI可能与可识别的潜在医疗状况、创伤或医疗操作有关。它也可以根据疾病严重程度分为良性和危及生命的PI。
之前的一项研究报告称,普通人群的发病率为0.03%,男女比例为2.4:1。肠气囊肿病变主要位于结肠(46%)和小肠(27%),累及大肠、小肠(7%)和胃(5%)的频率较低。
良性肠气囊肿患者最常见的症状是腹痛、呕吐、腹泻和体重减轻。大肠气囊肿的特征包括严重的腹痛、腹胀、腹泻和便血。治疗应根据患者的整体状况和PI的病因量身定制。在良性PI中,可选择保守治疗;然而危及生命的病例通常需要紧急手术干预。医疗、外科和重症监护团队之间的合作对于正确的早期诊断和治疗至关重要。
病例介绍
一位60岁的男性患者,有高血压、高脂血症和退行性脊柱疾病病史,因腹部不适入院。两周前接受了前路腰椎固定手术,不久后出现水样腹泻。在就诊前三天,经历了持续恶化的腹胀、腹部不适和恶心。腹部不适为弥漫性,严重程度为7/10,痉挛性腹痛更多地局限于左下腹。疼痛是持续的、非放射性,随着运动而加重,休息后有所改善。否认有任何发热、发冷或肌痛。体检显示,体温为37.2°C,血压为132/68 mmHg,脉搏为每分钟72次(bpm),每分钟18次呼吸,环境空气中的氧饱和度为99%。患者没有急性痛苦。腹部检查显示一个中线垂直切口,伤口愈合良好,深触诊时有弥漫性压痛。心血管检查正常,心率、节律正常,无杂音。肺部检查显示听诊肺部清晰,无喘息、啰音。
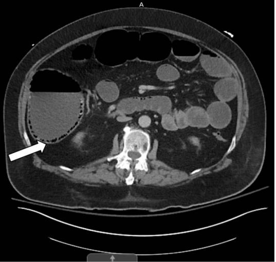
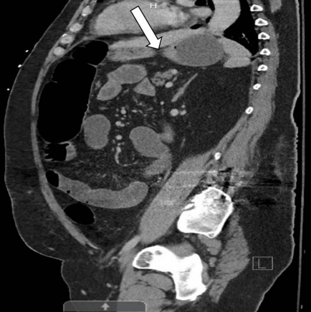
入院实验室数据如(表1)所示。腹部和骨盆的计算机断层扫描(CT)扫描和静脉注射(IV)造影显示结肠梗阻,膨胀的升结肠直径接近11cm,存在周围PI(图1)。横结肠也因积气而扩张,而降结肠扩张较少;在降结肠中部存在一个过渡点,没有观察到任何肿胀(图2)。

表1入院时获得的实验室数据

图1 腹部和骨盆的CT扫描显示,升结肠扩张,伴有肠周积气(箭头)
图2 腹部和骨盆的CT扫描显示,过渡点位于降结肠中部(箭头)
开始静脉注射哌拉西林/他唑巴坦,同时静脉输液和高压氧。将鼻胃管插入并置于低间歇抽吸状态,患者保持无口服(NPO)排便。鉴于CT结果表明存在过渡点和肠梗阻问题,患者接受了乙状结肠镜检查。手术显示粘膜肿胀、糜烂和大量液体粪便,但没有内在梗阻、憩室病或克罗恩病或溃疡性结肠炎等炎症性肠病的迹象。
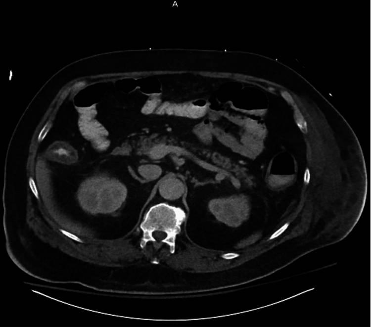
进行结肠减压最初改善了患者的症状,但第二天,患者出现了严重的腹痛和败血症,体温为39.6°C,窦性心动过速达130 bpm,白细胞增多。接受紧急剖腹探查术,证实了0.5cm的乙状结肠穿孔,并放置了网膜补片进行彻底修复。术后症状有所改善。术后第五天进行的重复CT腹部/骨盆静脉造影显示腹部预期术后变化,没有腹膜腔泄漏,结肠壁中度增厚,PI消退(图3)。患者完成了为期10天的哌拉西林/他唑巴坦静脉注射,总体状况有所改善。门诊随访显示恢复过程稳定。
图3腹部和骨盆的后续CT扫描显示,肠道大小正常,没有肠积气
讨论
肠气囊肿是通过对肠壁内空气的射线检测来识别的。PI的发病机制被认为是多因素的,目前尚不清楚。一些PI病例是与良性表现相关的偶然发现,而另一些则表现为危及生命的情况。
肠积气可发生在多种病理中,由多种潜在原因引起。它可能是腹部手术后的并发症,特别是肠道操作。炎症性肠病(包括克罗恩病和溃疡性结肠炎)、憩室炎和胃肠道感染等胃肠道疾病也与PI有关。肠血流量减少导致的缺血性肠病是另一个重要原因。此外,肠梗阻可导致肠壁内空气积聚。腹腔器官移植的术后期间可能会出现PI。接受机械通气的患者很少出现PI。PI后遗症可以从良性到危及生命,因此,治疗也可以多样化,从简单的门诊观察到紧急手术干预。肠积气的各种表现突出了仔细的体格检查和与放射学结果结合的重要性,以确保准确的诊断和适当的治疗。
多项研究共同强调了PI手术干预的常见指标,如低血压、急腹症、乳酸升高、低碳酸氢盐、高白细胞计数、年龄≥60岁、急性肾损伤和肠缺血、梗阻或穿孔等CT扫描结果。
高压氧治疗也被发现在三天内有效缓解持续症状,因为它能够增强组织氧合,促进组织修复,并可能减少肠壁中的气体积聚。
医博士编译自:Habeb B, Khair S & Fowler M. A Rare Case of Postoperative Pneumatosis Intestinalis Complicated by Sigmoid Colon Perforation Requiring Immediate Surgical Intervention. Cureus. 2025;17(2):e78480. doi:10.7759/cureus.78480
声明: 所有注明“来源:医博士”的文字、图片和音视频资料,版权均属于医博士所有,转载须注明“来源:医博士”;所有转载文章系出于传递更多信息之目的,且明确注明来源和作者,不希望被转载的媒体或个人可与我们联系,我们将立即进行删除处理。