来源:医博士 | 2025-10-29
胆囊扭转是一种罕见但可能致命的外科疾病,如果不及时治疗,会导致血管受损、坏死和穿孔。Wendel于1898年首次描述,迄今为止文献中报告的病例不到600例。胆囊扭转主要影响老年女性,通常与解剖学倾向有关,如胆囊系膜过长、内脏脂肪减少和肝萎缩,这些都会增加胆囊的活动性。临床症状通常类似于急性胆囊炎、肠梗阻或腹腔内恶性肿瘤,这使术前诊断变得复杂。在接受抗凝治疗(包括华法林)的患者中,典型的炎症反应可能会减弱,进一步模糊临床表现并延迟诊断。非特异性的临床症状和疑似的影像学发现需要高度怀疑,以便及时进行手术干预。
病例介绍
一名85岁的女性,有长期使用华法林的慢性房颤、高血压和乳糜泻病史,因上腹部肿块就诊。患者诉一周的右侧腹痛、恶心、盗汗、厌食、疲劳和便秘。否认体重减轻或消化道出血。入院时的生命体征是心率每分钟110次,呼吸每分钟19次,血压为90/60 mmHg,氧饱和度为97%。体检显示右上腹压痛,无明显淋巴结病或黄疸迹象。实验室检查结果包括白细胞:20600;钠:119mEq/L;INR:6.6(标准:2.0-3.0)。
腹部CT显示上腹部区域有一边界清楚的肿块,向右上腹延伸,相邻的肠道结构移位,这导致了患者的腹胀和临床表现(图1)。胆囊超声显示胆囊明显增大(长约11厘米),壁增厚(高达3.3厘米),以及提示胆结石、胆囊周围积液的高回声阴影区域(图2)。根据这些发现,怀疑是急性胆囊炎。

图1 腹部轴位CT显示胃上巨大肿块,邻近肠管移位
腹部和骨盆的轴向CT图像显示,上腹部区域有一个大的、边界清楚的、不均匀的肿块,向右上象限延伸(箭头)。邻近肠管移位,最初怀疑是腹腔内恶性肿瘤。

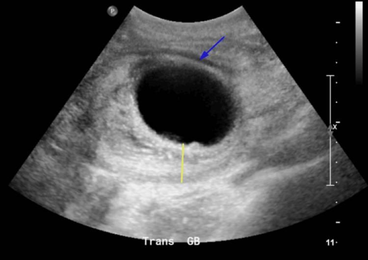
图2 胆囊横断面超声显示胆囊壁增厚和胆囊周围积液
胆囊横断面超声显示胆囊明显增大,壁增厚(黄线),并注意到胆囊周围积液(蓝色箭头),与出血性胆囊炎一致。
患者接受了静脉注射维生素K和新鲜冷冻血浆的抗凝逆转。由于临床恶化,接受了紧急开腹胆囊切除术,结果显示胆囊扭转和出血性胆囊坏死。病理检查未发现恶性肿瘤的大体或组织学证据。患者无并发症,术后第5天病情稳定出院,并进行门诊随访。
讨论
胆囊扭转是一种罕见但严重的外科急诊,全球报告的病例不到600例。它最常见于老年女性,特别是那些具有特定解剖特征的女性,如胆囊系膜较长、肝萎缩或内脏脂肪减少,这些情况都会增强胆囊的活动性并增加扭转的风险。当胆管和动脉周围发生扭转时,会损害血管供应,并可能迅速发展为缺血、出血、坏死,如果不及时治疗,还会出现穿孔。
胆囊扭转的术前诊断具有挑战性。放射学线索,如“浮动胆囊”征、器官的水平方向或胆囊打结的征象,可能表明扭转,但容易被忽视。磁共振胰胆管成像(MRCP)可以在特定病例中支持诊断,尽管其在急诊环境中的使用有限。
本案例的复杂在于,由于长期使用华法林,患者的INR显著升高至6.6。抗凝治疗可以减弱腹膜炎症状,同时增加出血性胆囊炎的风险,这两者都会模糊诊断,并在影像学上模拟恶性肿瘤。之前有报告描述了抗凝可通过掩盖经典的炎症发现来导致诊断的不确定性。在手术过程中观察到胆囊出血性坏死,病理学证实没有恶性肿瘤,证实了术前对非肿瘤病因的怀疑。
虽然腹腔镜胆囊切除术因其良好的恢复而通常作为首选方法,但特定的临床环境需要开放式手术。在本病例中,患者的血流动力学不稳定、抗凝状态和易碎的组织结构导致开腹胆囊切除术。这种方法能够更安全地进行解剖,更好地控制术中出血,特别是在解剖学扭曲或发炎的手术区域。
小结
该病例强调了关键的诊断和管理原则。临床医生应高度怀疑出现腹痛和影像学不确定的老年或抗凝患者的胆囊扭转。及时的手术干预仍然是治疗的基础,可以显著降低这一特定群体的发病率和死亡率。
医博士编译自:Edokpolo B & Shaw JW. Gallbladder Volvulus Mimicking an Intra-abdominal Malignancy in an Elderly Patient on Warfarin: A Case Report. Cureus. 2025; 17(6):e85771. doi:10.7759/cureus.85771.
声明: 所有注明“来源:医博士”的文字、图片和音视频资料,版权均属于医博士所有,转载须注明“来源:医博士”;所有转载文章系出于传递更多信息之目的,且明确注明来源和作者,不希望被转载的媒体或个人可与我们联系,我们将立即进行删除处理。