来源:医博士 | 2025-11-12
额颞叶脑膨出是一种罕见的先天性畸形,其特征是通过颅底的裂孔突出脑组织和脑膜,全球已知的案例很少。这些异常会导致婴儿出现各种并发症,如鼻塞和呼吸窘迫,并且经常在出生后的第一年内被发现。脑膨出的患病率在每3000-5000名活产婴儿中有1例,但基底脑膨出的情况非常罕见,大约每35000名活产新生儿中有1例。这些情况的治疗需要对手术策略进行细致的评估,并采用多学科的治疗方法。
本文描述了一名4月龄婴儿患有巨大鼻脑膜脑膨出的鼻内镜治疗。
病例介绍
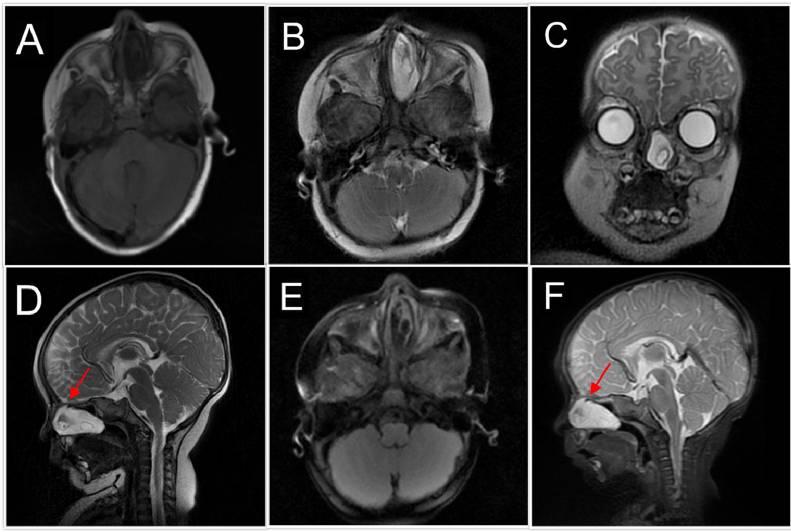
患儿4月龄,因鼻塞和吞咽困难就诊,体检和实验室数据正常。内窥镜检查发现一个占据整个左鼻腔的肿块。进行磁共振成像(MRI)以进一步明确病变。在MRI上,肿块表现出特定的信号特征。在T2加权图像上,病变呈均匀高信号,信号强度与脑脊液(CSF)相似(图1)。在T1加权图像上,病变相对于脑实质呈低信号(图1)。重要的是,在液体衰减反转恢复(FLAIR)图像上,病变显示出完全的信号抑制,与CSF含量一致(图1)。肿块边界清晰,边缘光滑,呈圆形至卵圆形。观察到一条信号强度相似的线性组织束,从病变处延伸到前颅底盲孔的一个小缺陷。对比后T1加权图像显示病变内没有增强(图2),这有助于将病变与潜在的增强炎症或肿瘤区分开来。盲孔处存在颅底缺损,再加上MRI信号特征,强考虑为左额脑膜脑膨出(图2)。

图1 MRI成像:(A)轴向T1,(B)轴向T2,(C)冠状T2,(D)矢状T2,(E)轴向FLAIR,(F)矢状STIR图像显示左鼻腔病变,T1信号低,T2和STIR信号高,FLAIR信号抑制。箭头表示颅底前方的一个小孔(盲孔)

图2 在对比后图像(A)轴向、(B)冠状和(C)矢状中,左鼻肿块没有观察到对比增强
患儿接受了内窥镜手术,切除了鼻腔肿块,并用脂肪移植物嵌体和阔筋膜嵌体重建了前颅底缺损。病理报告证实了脑膜脑膨出的诊断。
讨论
该病例描述了一名4月龄婴儿,最初出现鼻塞和吞咽困难。临床和影像学结果最终确定基底脑膜脑膨出的诊断。患者的症状,即鼻塞和呼吸困难,与婴儿鼻脑膨出的典型表现一致,这些问题在婴儿出生后的第一年经常出现。此外,由于没有其他先天性异常,如高血压、唇腭裂或胼胝体发育不全,即使没有额外的综合征特征,也强调了考虑脑膜脑膨出的重要性。
MRI是诊断过程的基本组成部分。MRI显示鼻腔内有高信号病变,盲孔有缺损,T2加权图像呈均匀高信号,T1加权图像呈低信号。FLAIR上的完全信号抑制和对比增强的缺失进一步证实了病变含有CSF。必须认识到盲孔附近的轻微骨缺损,因为该区域是已知的颅底异常的易发部位,这会促进脑组织和脑膜的突出。尽管脑膨出通常根据颅底缺损的位置进行分类,分为经筛窦、蝶窦等,但考虑到其靠近盲孔,该患者的病变最准确地被定性为基底脑膨出。
脑膜脑膨出与其他儿科鼻腔肿块(如鼻息肉、皮样囊肿和神经胶质瘤)的鉴别取决于不同的MRI信号特征和特定颅底缺陷的识别。即使没有明显的先天性综合征特征或内分泌紊乱,CSF样信号和与骨缺损相连的组织束的存在也强烈表明脑膜脑膨出的可能性。尽管内分泌紊乱,包括垂体功能减退、抗利尿激素或生长激素缺乏以及类固醇药物的需求,已被记录与此类脑膨出有关,但本研究中的患者没有表现出内分泌异常。这一观察结果强调了这样一种观点,即基底脑膨出可能表现隐匿,直至出现明显的脑疝。任何潜在的下丘脑-垂体功能障碍都更有可能在术后被观察到,而不是作为最初的表现特征。
内镜切除病变后的病理检查证实了诊断,证实了MRI结果,并促进了适当的治疗。手术干预由一个由儿科神经外科医生、耳鼻喉科医生、放射科医生和麻醉师组成的多学科团队精心策划。鉴于明确的CSF样病变和盲孔处的小骨缺损,研究小组选择采用鼻内镜方法。与传统的经颅或经腭入路相比,这种技术以其最小的侵入性和较低的并发症发生率而闻名,它允许在精细的神经血管结构周围进行精确的解剖,保持美观的结果,并缩短总体住院时间。
在可用于修复脑膨出的各种手术技术中,包括经颅和经腭方法,内窥镜方法越来越受欢迎,特别是对于年龄较大的儿童和青少年,因为其微创性和降低复发率。在我们的案例中,内窥镜方法不仅降低了手术风险,还最大限度地减少了可见疤痕的可能性,从而确保了最佳的美容效果。
小结
该病例说明了婴儿基底部或额膜脑膜脑膨出的典型表现。诊断过程将MRI评估与随后的病理确认和及时的内窥镜手术方法相结合,与当前文献中描述的当代最佳实践相一致。尽管没有其他先天性异常或内分泌紊乱,但4月龄的早期表现突显了及时成像和高度怀疑指数对于实现及时准确诊断的重要性,从而确保有效治疗和改善患者预后。
医博士编译自:Rajaeih S, Riahi F & Mirfendereski S. Massive nasal meningoencephalocele in a 4-month-old infant: A case report. Radiology Case Reports. 2025; 20(7):3344-3346. doi:10.1016/j.radcr.2025.03.064.
https://pubmed.ncbi.nlm.nih.gov/40297257/
声明: 所有注明“来源:医博士”的文字、图片和音视频资料,版权均属于医博士所有,转载须注明“来源:医博士”;所有转载文章系出于传递更多信息之目的,且明确注明来源和作者,不希望被转载的媒体或个人可与我们联系,我们将立即进行删除处理。