来源:医博士 | 2025-12-02
涎腺肿瘤占头颈部肿瘤的2-6.5%。最常见的受累部位是腮腺,其次是颌下腺。涎腺囊性病变可见于肿瘤性(良性或恶性)和非肿瘤性疾病。非肿瘤性囊性病变主要包括梗阻性唾液腺病、淋巴上皮囊肿、硬化性多囊性腺病、多囊性疾病和表皮样囊肿。肿瘤性囊性涎腺肿瘤包括沃辛瘤、皮脂腺腺瘤、皮脂腺淋巴结瘤、导管内乳头状瘤、多形性腺瘤、粘液表皮样癌、腺泡细胞癌、囊腺瘤、囊腺癌和分泌型癌。细针穿刺细胞学(FNAC)和超声(US)及磁共振成像(MRI)等影像学研究是区分良性和恶性囊性涎腺病变的重要诊断工具。
病例介绍
一位50岁的男性患者主诉右耳下肿胀逐渐加重,偶尔轻度疼痛,持续三年。没有相关的感觉异常或运动缺陷。既往无头颈部癌症手术史,否认发烧、发冷、盗汗、食欲变化和体重减轻等不适,无饮酒、吸烟史。
在体格检查中,右耳下有一处肿胀,触诊显示下颌角上方一边界清晰、活动好、质软的3×4厘米非触痛肿块(图1)。上覆软组织无发热、红斑、溃疡或硬结。否则,两侧鼓膜清晰。颅神经II至XII完整,咀嚼肌有力。三叉神经V1-V3分布中没有感觉缺陷。面部肌肉完整且对称。腮腺乳头无炎症,导管分泌清亮的唾液。没有粘膜溃疡、口内肿物或可触及的下颌下或颈部淋巴结病。

图1 体格检查:右耳下肿胀3×4cm
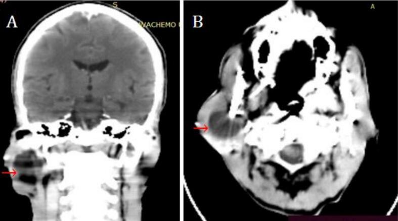
对患者进行了头部CT扫描和细针穿刺细胞学检查(FNAC)。CT扫描显示,右侧腮腺病变边界清晰,液体衰减,大小为2.7×2.8×3.2cm,边缘光滑。未观察到增强(图2)。在细针穿刺细胞学检查中,吸出12毫升稻草色液体。抽吸后肿胀消退,并立即重新填充。细胞学检查显示,在流体背景中有几簇基底细胞。鉴于这些发现,诊断为良性囊性肿瘤。

图2 CT扫描显示右侧腮腺囊性病变(红色箭头)
患者接受了部分腮腺切除术。术中,腮腺尾部发现一个轮廓清晰的3×4cm囊性肿块,检查止血,并将引流管放置在缺损处,远离神经。引流管用2-0丝线固定在皮肤表面,伤口分两层缝合并包扎。患者安全拔管并转入病房,生命体征稳定。标本进行组织病理学检查。
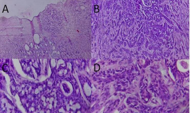
大体检查时,收到一个3×3cm的部分开放、边界清晰的囊性组织。囊腔内没有任何固体生长(图3)。苏木精和伊红染色组织切片的显微镜检查显示,囊壁内衬双层立方细胞。壁被中度多形性、深染、成角的基底细胞浸润,这些细胞排列成坚固的巢状和筛状。小囊性空间被透明质填充。所有切除边缘均无肿瘤,且无神经侵犯(图4)。基于这些发现,对高级别腺样囊性癌进行了组织学诊断。

图3 大体图:边界清晰的囊性组织(A)和切面(B)

图4 组织切片显示囊壁内衬双层立方细胞(a,10×)。壁被中等多形性、深染、成角的基底样细胞浸润,这些细胞排列成坚固的巢状(D,40×)和筛状图案(B,20×和C,40×,苏木精和伊红)
术后立即评估面神经的完整性。在术后初期,将抗生素软膏涂抹在缝合线上抗感染治疗。患者在术后第五天出院,在六个月的随访中没有出现转移或复发。
讨论及小结
腺样囊性癌(ACC)是一种罕见的恶性肿瘤,起源于分泌腺,最常见于唾液腺,好发于60-70岁。它是大唾液腺中第二常见的恶性肿瘤,在小唾液腺中也很常见。这是一种无症状、生长缓慢的肿瘤;然而,在晚期由于神经侵犯,可能会出现疼痛和感觉改变。在大约一半的ACC病例中观察到神经周围侵犯。
广泛的肿瘤性至非肿瘤性唾液腺病理可能表现为部分或完全囊性。腮腺囊肿很少见,占腮腺病变的2-5%。涎腺肿瘤中的囊肿可能是由肿瘤内的变性、坏死或出血引起的,或者当肿瘤出现在非肿瘤性囊肿内时。
准确的术前诊断对于避免不必要的手术及其并发症至关重要。超声和细针穿刺细胞学检查是诊断涎腺囊性病变的重要方法。评估特征包括形状、边缘、回声、血流等。超声诊断敏感性较低的原因可能是低级别恶性肿瘤可表现出与良性肿瘤相似的US特征。
细针穿刺诊断涎腺囊性病变的敏感性为41.6%-100%。它在诊断含粘液吸出物中的粘液表皮样癌方面特别敏感。大多数囊性涎腺病变产生的吸出物细胞较少,这使得区分良性和恶性肿瘤变得困难。通过在排空囊肿内容物后抽吸残留的固体病灶,详细记录临床病史,并考虑广泛的鉴别诊断,可以提高该程序的诊断准确性。尽管在各种恶性涎腺肿瘤中都观察到囊性改变,但腺样囊性癌(ACC)中囊性改变的病例很少有报道。
医博士编译自:Wubalem SM, Gelebo TK, Reta BK, et al. Adenoid cystic carcinoma with cystic change of the parotid gland posing a diagnostic challenge: A rare case report. Journal of Surgical Case Reports. 2025; 136:111974. doi:10.1016/j.ijscr.2025.111974.
声明: 所有注明“来源:医博士”的文字、图片和音视频资料,版权均属于医博士所有,转载须注明“来源:医博士”;所有转载文章系出于传递更多信息之目的,且明确注明来源和作者,不希望被转载的媒体或个人可与我们联系,我们将立即进行删除处理。