来源:医博士 | 2025-12-03
甲状旁腺癌是一种极为罕见的甲状旁腺肿瘤,占所有原发性甲状旁腺功能亢进症病例的不足1%。其临床表现通常以严重高钙血症的并发症为主,如肾结石、骨病或神经精神症状。尽管有提示性的临床和生化特征,但确定明确的诊断仍然具有挑战性,因为组织病理学标准可能没有定论,并且与良性病变重叠,最佳预后取决于初次手术的完全手术切除。
病例介绍
一位55岁的女性,无明显的既往病史,因颈部肿块逐渐增大就诊。患者还报告了全身恶化的弥漫性骨痛,无任何吞咽困难、呼吸困难或发音困难。
临床检查发现左下颈前区有一个质硬、无压痛、边界清晰的肿块,可随吞咽移动,与甲状腺相关病变一致。未观察到体表皮肤变化或局部炎症迹象。未发现颈部淋巴结肿大,其余体检均无异常。
常规实验室检查显示:明显高钙血症:121mg/L(参考范围:85-105mg/L);甲状旁腺激素(PTH)显著升高:385 pg/mL(参考范围:15-65 pg/mL);碱性磷酸酶升高:1230IU/L(参考范围:45-129IU/L)。
颈部超声检查显示甲状腺左下极有一个实性、低回声的结节,大小为11mm,被归类为TIRADS V级。甲状腺右叶的中和下极发现了另外两个混合性结节,以实性为主,分别为11 mm和13 mm,均被归类为TIRADS IV。此外,在左上极发现一个甲状腺后、椭圆形、均匀低回声和明显高血管的结节,尺寸为23×9 mm,提示甲状旁腺起源。
为了进一步明确诊断,进行了锝99闪烁显像与计算机断层扫描(SPECT/CT),证实了与上述甲状腺后结节相对应的局灶性放射性示踪剂摄取,与功能亢进的甲状旁腺腺瘤或癌一致(图1)。

图1 甲状旁腺闪烁显像,与左下甲状旁腺结节一致(箭头)
根据生化和影像学结果,患者接受了手术治疗,包括甲状腺全切除术和左下甲状旁腺整体切除术。术后过程顺利,没有立即出现手术并发症。观察到血清钙和PTH水平快速持续正常化,表明功能亢进的甲状旁腺组织已成功切除。
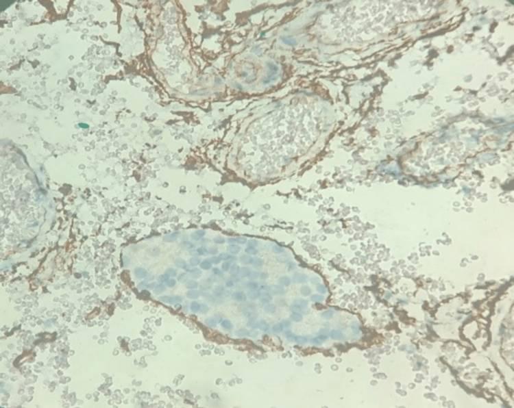
切除的甲状旁腺组织学分析显示了与甲状旁腺癌一致的特征,包括细胞增殖伴非典型有丝分裂,以及血管侵袭的证据,如CD34阳性血管栓塞的存在(图2)。这些标准,特别是血管侵犯,是少数公认的甲状旁腺肿瘤恶性组织学特征之一。

图2:使用CD34的免疫组织化学分析提示了肿瘤栓子的存在
甲状腺标本的组织学检查显示,多结节增生性甲状腺肿伴有淋巴细胞性甲状腺炎,甲状腺结节内没有恶性肿瘤的组织学证据。在一年的随访中,患者仍然没有临床症状,血清钙和甲状旁腺素水平正常,随访影像学上没有局部或远处复发的证据。这一有利的进展突显了早期诊断和完全手术切除在治疗甲状旁腺癌中的重要性。
讨论
甲状旁腺癌是一种极为罕见的恶性肿瘤,占所有癌症的不到0.005%。其发病率估计为每年每1000万人4-6例,好发年龄45-59岁之间,没有性别偏好,而甲状旁腺腺瘤在女性中更常见。
甲状旁腺癌的病因尚不清楚,环境和遗传因素可能相互作用,早期接受放射治疗也可能增加甲状旁腺病变的风险。甲状旁腺癌多为偶发,但也存在家族遗传背景,多见于家族性甲状旁腺功能亢进症和多发性内分泌腺瘤(MEN)综合征1型和2A型。
区分良性和恶性甲状旁腺肿瘤仍然是一个临床挑战。甲状旁腺癌最常见的表现是严重的原发性甲状旁腺功能亢进,导致严重的高钙血症。某些临床特征可能会考虑恶性肿瘤,例如在大约65%的病例中观察到可触及的颈部肿块。从生化角度来看,恶性患者的血清钙和PTH水平明显高于良性疾病,碱性磷酸酶水平也可能升高。
在颈部超声检查中,有几个特征考虑恶性肿瘤:大小大于2厘米、低回声、边缘不规则、分叶状、局部浸润的证据或可疑的颈部淋巴结病。然而,这些特征都不是甲状旁腺癌特有的。锝99闪烁显像对于诊断指导至关重要,灵敏度高达91%,有助于定位功能亢进的甲状旁腺病变。建议使用胸腹盆CT筛查远处转移。30%的甲状旁腺癌病例存在淋巴结转移,尤其是肺和骨转移。
甲状旁腺癌的诊断仍然具有挑战性,因为没有统一的组织病理学诊断标准。包膜或血管侵犯等特征虽然提示恶性肿瘤,但观察结果不一致,缺乏敏感性。世界卫生组织目前的分类依赖于次要标准(包膜或软组织侵犯)和主要标准(血管侵犯或转移存在)的组合。免疫组织化学,特别是旁纤维连接蛋白表达的缺失,已成为区分癌和良性病变的有价值的工具。旁纤维连接蛋白的缺失也具有预后意义,与较高的复发率和较低的总生存率有关。
金标准治疗是完全手术切除,包括切除病理性甲状旁腺和同侧甲状腺叶。辅助放疗可以改善局部疾病控制,减少复发,延长缓解期。相比之下,辅助化疗目前没有适应症,转移性病例中使用的多化疗方案也没有显示出生存益处。
在初次手术后的两到五年内,复发率(无论是局部还是远处)在25%-60%之间。虽然大多数复发发生在头三年内,但也有晚期复发的报道,有时超过二十年,这证明了长期和严格的监测是合理的。
医博士编译自:Afellah M, Ben AEYA, Chahbouni S, et al. Parathyroid Carcinoma: A Clinical Case Report and Literature Review. Cureus. 2025; 17(8):e89550. doi:10.7759/cureus.89550.
声明: 所有注明“来源:医博士”的文字、图片和音视频资料,版权均属于医博士所有,转载须注明“来源:医博士”;所有转载文章系出于传递更多信息之目的,且明确注明来源和作者,不希望被转载的媒体或个人可与我们联系,我们将立即进行删除处理。