来源:医博士 | 2025-12-19
心脏粘液瘤是一种相对常见的心脏良性肿瘤,其典型临床表现常包括三联征:全身症状、梗阻症状和栓塞表现。感染性心脏粘液瘤是极其罕见的临床情况,医学文献中仅有个案记载。
本文报告一例57岁男性患者,因食欲不振、发热和咳嗽等非特异性全身症状就诊,最终确诊为戈登链球菌感染的左心房粘液瘤。
患者情况与初步诊断
一名57岁男性患者因间歇性发热、不明原因疲劳、食欲不振、偶发咳嗽、咳白痰和尿频一个月到急诊就诊。患者有新诊断的2型糖尿病病史,否认近期有牙科治疗史。初步考虑为消化道疾病、肺部感染或尿路感染收治入消化内科。
体格检查显示:血压118/73 mmHg,心率110次/分,体温38.2°C,呼吸频率18次/分。听诊发现第一心音增强,偶可闻及柔和的早期舒张期杂音。肺部检查双肺呼吸音粗糙,腹部检查无显著异常,四肢轻度水肿。
实验室检查显示:白细胞计数升高(12.58×109/L),中性粒细胞占比83%,血红蛋白10.2 g/dL,血细胞比容30.8%,空腹血糖9.73 mmol/L,血清白蛋白31.7g/L,C反应蛋白16.10mg/dL。尿检显示葡萄糖2+、蛋白1+。
体检时,血压为118/73 mmHg,心率为每分钟110次,体温为38.2°C,呼吸频率为每分钟18次。值得注意的是,第一心音增强,偶尔听诊出轻微的舒张早期杂音。肺部检查显示双侧呼吸音粗糙。腹部检查未见异常,但四肢出现轻度双侧水肿。其余体检结果正常。
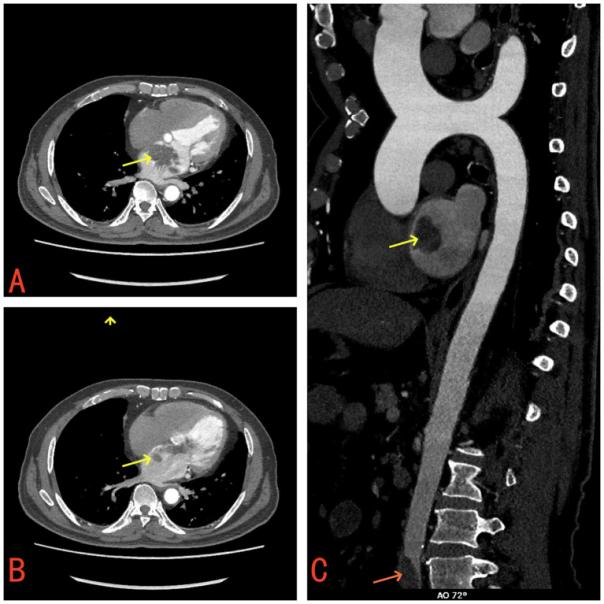
胸部计算机断层扫描(CT)和心电图正常。主动脉和冠状动脉CT血管造影(CTA)显示左心房存在占位性病变,腹主动脉和双侧髂总动脉交叉处存在充盈缺损,提示血栓形成(图1)。

图1 (A) 增强CT显示左心房有肿块(黄色箭头)。(B)左心房大块脱垂通过二尖瓣进入左心室(黄色箭头)。(C)在腹主动脉和双侧髂总动脉分叉处观察到血栓样充盈缺损(红色箭头)
经胸超声心动图和经食道超声心动图显示左心房卵圆窝处一细长不规则肿块,基底约9mm,大小约7cm×3cm。舒张期肿瘤脱垂至左心室,导致二尖瓣梗阻。TEE发现肿瘤表面有点状高回声灶(无彗尾伪影)。这些发现与心房粘液瘤一致。此外,超声心动图检查结果包括左心房扩张、轻度至中度三尖瓣反流、心动过速和左心室射血分数估计为55%。

图2 经食管超声心动图显示,左心房卵圆窝有一个细长的不规则肿块,基底约9毫米,尺寸约7厘米×3厘米,肿瘤表面可见点状回声灶(红色箭头)。(A)左心室长轴视图(B)四腔视图(C)临床时间线
治疗过程与确诊
由于患者发热、咳嗽、尿频伴炎症标志物升高,初始经验性给予哌拉西林他唑巴坦抗感染治疗。入院第三天血培养显示革兰阳性杆菌生长(被视为污染),复查血培养阴性。患者体温逐渐恢复正常,考虑发热由心脏粘液瘤引起,转入心胸外科后停用抗生素。但停用抗生素后体温再次升高至39°C。
患者在转移后第三天在体外循环下接受了左心房肿瘤切除术。术中探查显示左心房卵圆窝有带蒂肿块。呈分叶状、深红色、胶状肿块,附着在心房间隔上,尾部呈黄色绒毛状肿块。肿瘤表面可见多个小赘生物(图3)。肿瘤和部分房间隔被切除。

图3 大体检查显示,观察到一个带蒂、分叶状、深红色的胶状肿块(黄色方形)附着在心房间隔(黄色箭头),尾部呈黄色绒毛状肿瘤(五角星),表面不规则,有赘生物(红色箭头)
术后由于怀疑感染性心内膜炎(IE),患者接受了静脉注射美罗培南(每8小时1克)的治疗。术后第二天,手术标本的血液和植被培养均产生了戈登链球菌,该链球菌对青霉素、万古霉素、氨苄西林、头孢曲松、头孢噻肟、头孢西丁和红霉素敏感。传染病专家建议用青霉素(每6小时320万单位)和庆大霉素治疗(每12小时80毫克)。术后患者血液的mNGS检测到戈登链球菌和爱泼斯坦-巴尔病毒。术后第四天进行的经胸超声心动图(TTE)显示没有残留肿块。
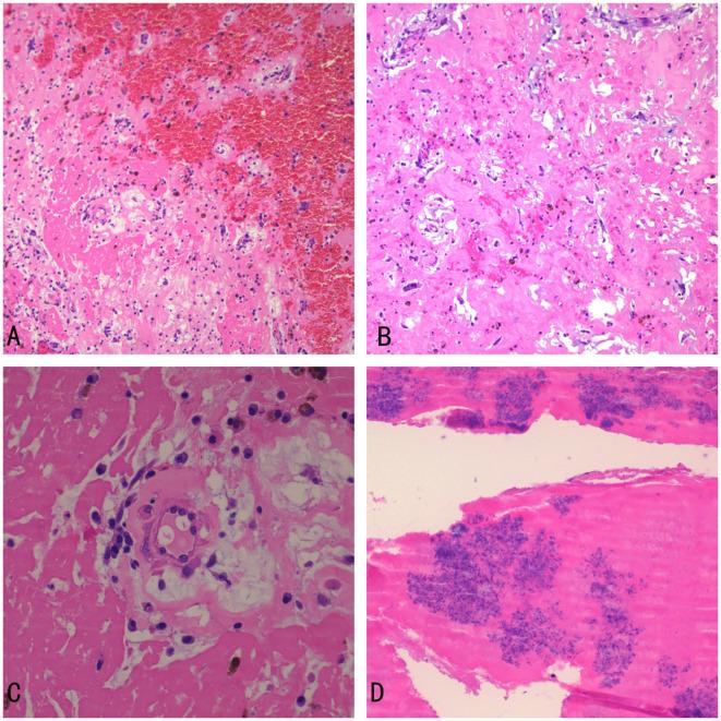
病理检查显示粘液瘤背景中见梭形细胞和星形细胞,肿瘤表面覆盖纤维蛋白和细菌团(图4),符合感染性心脏粘液瘤诊断。

图4 组织病理学检查(A)粘液瘤伴出血(×100) (B) 梭形细胞和星状细胞散布在粘液瘤基质的背景 上(伊红染色,×100) (C) 粘液瘤(×400) (D) 粘液瘤表面的细菌菌落和纤维蛋白(×400)
术后患者恢复顺利,给予青霉素和庆大霉素治疗1个月。考虑到腹主动脉血栓存在,出院后继续阿司匹林抗凝治疗。
讨论与分析
诊断挑战与关键技术
发热在非感染性心脏粘液瘤中约占20%,而在感染性粘液瘤中比例显著升高至92%-97.3%。虽然感染病例常伴白细胞升高、贫血和炎症标志物上升,但非感染性粘液瘤伴显著全身症状时也可出现炎症标志物异常。因此,单凭发热和炎症标志物无法可靠区分是否感染。本例患者血培养前使用抗生素导致结果阴性,增加了诊断难度。但患者发热在抗生素使用期间受抑制、停药后复发,强烈提示合并感染。
mNGS和PCR技术对血培养阴性的感染性心内膜炎诊断具有重要价值,能有效提高病原体检出率。TEE对心脏粘液瘤的检测灵敏度近100%,但区分感染与非感染性粘液瘤的影像特征仍具挑战性。本例回顾性分析TEE发现肿瘤表面点状高回声灶,被认为是微小赘生物的超声表现,突出了TEE在识别粘液瘤感染中的不可或缺的作用,尤其是检测微小赘生物的能力。
病原体与致病机制
链球菌是继葡萄球菌后感染性心内膜炎的第二常见原因,其中草绿色链球菌约占链球菌相关心内膜炎的30%。戈登链球菌作为血链球菌群成员,罕见引起心内膜炎。其毒力因子PadA和Hsa蛋白能使细菌有效结合心脏粘液瘤肿瘤细胞和血小板,形成细菌-血小板-纤维蛋白复合物,导致血栓形成。
术后mNGS检测到EB病毒,但术前EBV血液检查阴性,且mNGS中EBV序列数和覆盖率均低,病理也无EBV感染证据,因此认为EBV检出为巧合,与本例感染性心脏粘液瘤发病无关。
临床启示与最佳实践
目前对于感染性心脏粘液瘤的手术时机尚无共识。多数患者倾向于先接受抗菌治疗稳定病情。发生栓塞事件和弥散性血管内凝血者更可能考虑急诊手术。基于现有证据,术后使用抗生素30天被认为是安全有效的。
结论
本病例报告强调了以下重要临床经验:
1、对发热的心脏粘液瘤患者应密切监测潜在并发感染。
2、开始抗生素治疗前进行血培养对准确诊断至关重要。
3、血培养阴性时,mNGS和PCR检测能提供有价值病原学信息。
4、TEE对检测心脏粘液瘤表面赘生物不可或缺。
5、适当抗生素联合手术切除是改善预后的关键。
6、避免过早停用抗生素对确保感染彻底清除至关重要。
通过多学科协作和综合诊疗策略,可以显著提高此类罕见疾病的诊断准确性和治疗效果。
医博士编译自:Ruan L, Chen S, Zhang J, et al. Infected left atrial myxoma with Streptococcus gordonii: case report and literature review. Frontiers in Oncology. 2025; 15:1635642. doi:10.3389/fonc.2025.1635642.
声明: 所有注明“来源:医博士”的文字、图片和音视频资料,版权均属于医博士所有,转载须注明“来源:医博士”;所有转载文章系出于传递更多信息之目的,且明确注明来源和作者,不希望被转载的媒体或个人可与我们联系,我们将立即进行删除处理。