来源:医博士 | 2026-01-06
终末期肾病(ESRD)维持性血液透析患者由于免疫功能紊乱、血管通路频繁使用以及合并糖尿病等基础疾病,是发生严重感染的极高危人群。其中,金黄色葡萄球菌是导致血液透析相关感染的主要病原体之一,常引发心内膜炎、骨髓炎、脓肿等转移性感染,然而,由血行播散直接导致主动脉感染并形成溃疡的情况极为罕见。本文报告1例73岁男性血液透析患者继发于金黄色葡萄球菌败血症的腹主动脉溃疡病例,旨在为临床诊疗提供循证医学依据。
病例详情:一位73岁透析患者的就诊历程
患者男性,73岁,2018年起确诊终末期肾病,通过左前臂动静脉瘘接受维持性血液透析,因“左侧腰痛、恶心、食欲不振3天”至急诊科就诊,既往合并高血压、2 型糖尿病、高磷血症,无冠心病、外周血管疾病病史,下肢彩色多普勒超声未见明显狭窄或血栓。患者有规律的血液透析安排,每周二、四、六进行。
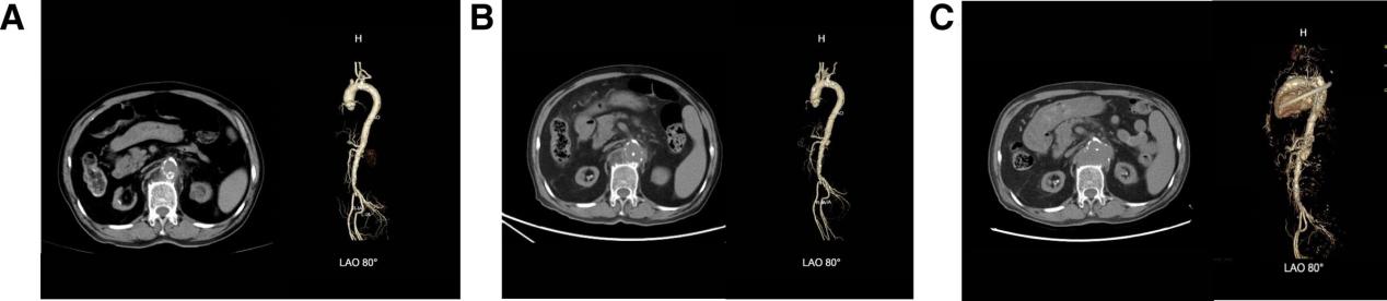
入院初始实验室检查:白细胞计数显著升高(23.95×10⁹/L),中性粒细胞占比 95.1%,C 反应蛋白(196.06 mg/L)及降钙素原(21.15 ng/mL)明显增高,提示存在严重的炎症反应。入院血培养后证实金黄色葡萄球菌阳性。胸腹部计算机断层扫描血管造影显示腹主动脉局灶性溃疡,周围少量渗出,并伴有胸主动脉和腹主动脉的动脉粥样硬化改变及双侧肾动脉狭窄(图1A)。

图1 计算机断层扫描血管造影(CTA)系列影像显示主动脉溃疡进展过程:(A)2024 年 10 月 10 日 CTA,可见主动脉局部溃疡,伴主动脉周围渗出;(B)2024 年 10 月 22 日复查 CTA,溃疡进展为穿透性,直径由 5 mm 扩大至 11 mm,炎症反应加重;(C)2025 年 1 月 2 日复查 CTA,考虑腹主动脉多发穿透性溃疡,伴周围巨大血肿形成,较前次影像学检查呈显著进展
患者接受了腰椎磁共振成像以排除椎间盘炎,影像学结果未显示腰椎间盘炎或其他脊柱感染性病变的证据。住院期间,患者无胸闷、气促症状。多次超声心动图检查未发现瓣膜赘生物。左心室射血分数在正常范围内,心脏收缩功能保持稳定。未发现感染性心内膜炎的超声心动图或临床证据。
患者初始诊断为脓毒症、尿毒症和高钾血症,并开始广谱抗生素治疗:美罗培南0.5g每12小时静脉注射,联合利奈唑胺0.6g每12小时口服。在血培养鉴定出甲氧西林敏感金黄色葡萄球菌(MSSA)后,调整为万古霉素 0.5g 静脉滴注,每 8 小时 1 次。尽管炎症标志物初期有所改善,但约2周后的随访计算机断层扫描血管成像显示腹主动脉溃疡进展,伴周围渗出性改变(图1B)。抗生素方案随后调整为哌拉西林-他唑巴坦4.5g每12小时静脉注射,联合莫西沙星0.4g每日口服。整个病程中抗生素使用的时间线如图2所示。

图2 病程中抗生素使用时间线
鉴于患者主动脉溃疡情况,及时邀请血管外科会诊。会诊提示存在手术指征,但经仔细考虑后,患者家属拒绝手术干预,选择保守治疗。此后,患者继续既定抗生素方案。住院第 20 天,血培养检出白色念珠菌,据此,加用氟康唑抗真菌治疗5天,负荷剂量400mg,随后每日200mg。经过一段时间的治疗,患者后续的炎症标志物呈下降趋势(炎症标志物的详细时间线见图3)。在此期间,患者腰痛、腹痛等症状逐渐改善。2024年11月21日,患者达到出院标准并办理出院手续。

图3 炎症指标变化时间线
出院后,患者按要求在门诊随访。2025年1月2日最后一次随访检查显示,与之前相比,患者溃疡显著进展,并伴有巨大血肿(详见图1C)。目前,患者溃疡状况极不稳定,可能随时导致血肿破裂和出血。尽管给予了适当的抗生素治疗和全面的支持治疗,持续性腹主动脉溃疡仍具有发生致命性并发症(如破裂)的风险,这可能意味着预后不良。
3. 讨论
本研究报道了血液透析患者中金黄色葡萄球菌脓毒症的一种罕见并发症——不断扩大的腹主动脉溃疡。金黄色葡萄球菌是血液透析相关感染的关键致病菌。据报道,金黄色葡萄球菌占血液透析患者血流感染的43.8%,其30天死亡率约为16%。约30%的MSSA菌血症患者会因细菌播散出现心内膜炎、骨髓炎等并发症,但关于其与腹主动脉溃疡直接关联机制的研究有限。
患有尿毒症的血液透析患者存在细胞和体液免疫缺陷,其特征包括中性粒细胞趋化性降低、吞噬功能受损以及T/B淋巴细胞活性下降。本病例中,患者长期的动脉粥样硬化导致斑块破裂,破坏了主动脉壁的完整性并诱发溃疡——这与既往研究结果一致,即穿透性动脉粥样硬化溃疡最常发生于钙化最严重的部位。随后,溃疡造成的局部损伤,结合患者的免疫缺陷状态(ESRD导致的细胞和体液免疫受损,以及糖尿病加剧的免疫抑制),为MSSA的定植和继发感染创造了条件。虽然金黄色葡萄球菌感染引起的炎症反应可能通过免疫失衡加速主动脉钙化进展、影响血管壁修复和重塑,从而促进腹主动脉溃疡的发生发展,但其具体分子机制尚需进一步研究。
本病例未发现明确的感染源。血液透析患者中金黄色葡萄球菌感染可通过多种途径发生。血管通路部位感染和鼻腔定植是常见途径,其他还包括肺部感染、皮肤感染和导管相关性尿路感染。考虑动静脉瘘的频繁穿刺可能导致皮肤损伤,局部血肿或假性动脉瘤可能成为细菌定植的温床。
本病例患者出现了白色念珠菌和金黄色葡萄球菌的混合感染,这可能导至金黄色葡萄球菌增殖增加、生物膜形成、毒力因子上调以及对β-内酰胺类、万古霉素和唑类药物的耐药基因显著增加,从而造成治疗困难。应根据微生物培养和药敏结果,结合患者具体情况(如年龄、基础疾病、肝肾功能),并参考当地细菌耐药监测数据,制定个体化治疗方案。近年来,新型抗生素以及针对毒力因子等治疗策略的发展提供了更多选择。
本例患者未接受手术,选择保守治疗后炎症指标下降出院,但进展性血肿构成潜在致命风险,随时可能破裂。有研究表明,腹主动脉溃疡患者接受适宜手术干预可改善长期生存率。根据 GRADE 分级标准,低风险非破裂腹主动脉瘤患者(年龄≤80 岁)推荐开放手术修复,而解剖结构适宜的老年低风险或高风险患者首选腔内动脉瘤修复;若解剖结构不适宜腔内修复,则行开放手术修复。此外,腹主动脉溃疡的创新治疗包括 BeGraft 覆膜支架、新型中截留量透析膜及核受体Nur77作为潜在治疗靶点等,这些方案仍需更多循证医学数据支持。
此外,感染预防至关重要。在血液透析护理中,标准化措施如氯己定消毒、无菌技术和感染监测可显著降低感染率,并具有显著的成本效益。预防中心静脉导管相关血流感染的关键策略包括抗菌封管液、尽量减少中心静脉导管的使用以及严格的无菌操作。
医博士编译自:Zhou H, Ying J, Huang J. An expanding abdominal aorta ulcer as a rare complication of Staphylococcus aureus sepsis in a hemodialysis patient: A case report. Medicine (Baltimore); 104(48):e45861. doi:10.1097/MD.0000000000045861.
声明: 所有注明“来源:医博士”的文字、图片和音视频资料,版权均属于医博士所有,转载须注明“来源:医博士”;所有转载文章系出于传递更多信息之目的,且明确注明来源和作者,不希望被转载的媒体或个人可与我们联系,我们将立即进行删除处理。