来源:医博士 | 2026-01-08
外耳道癌(EACC)是一种极其罕见的恶性肿瘤,占所有肿瘤的不足0.2%,预后相对较差。在没有UICC分期系统的情况下,基于术中发现和组织病理学评估,广泛采用改良的匹兹堡分类。前瞻性随机试验缺乏证据,阻碍了EACC明确治疗指南的制定。对于临床上可切除的疾病,通常首选有足够边缘的手术切除。然而,由于肿瘤的罕见性和涉及关键结构的颞骨的复杂解剖结构,根治性手术需要专业的外科医生。此外,颞骨次全切除和全切除通常会导致严重的并发症,包括不可避免的耳聋和面神经麻痹。最近的研究表明,根治性放疗(RT)联合化疗可能是手术的有效替代方案,特别是对于晚期疾病。建议辐射剂量为70 Gy,因为更高的剂量可能会增加颞骨放射性骨坏死的风险。顺铂通常用作化疗药物,多西他赛、顺铂和5-氟尿嘧啶联合放疗的疗效也有报道。
外耳道狭窄和听力受损是放疗对EACC的主要长期不良反应。此外,颞骨放射性骨坏死是一种公认的晚期并发症,相反,EACC放疗后出现脑脓肿的情况并不常见。本文介绍了两例接受根治性放疗的EACC病例,随后出现了脑脓肿。第二个病例尤其奇特,因为脑脓肿是EACC放疗的早期并发症,这是一种极为罕见的事件,之前没有病例报告。这种脓肿被认为是由于肿瘤侵袭和RT导致的颅底脆弱造成的。相比之下,第一例病例在放射性骨坏死后出现了脑脓肿,这是一种更常见的观察结果。这些病例是为了比较和明确EACC放疗后早期和晚期脑脓肿之间的差异。
病例1
一名65岁女性,有斑块状银屑病和急性呼吸窘迫综合征病史,表现为右外耳道疼痛,被诊断出患有右EACC,EACC充满了右耳道,并侵犯了耳后皮肤、右乙状窦和硬脑膜(图1A、1B)。
组织学分析证实了分化良好的鳞状细胞癌(SCC)(图2),根据改良的匹兹堡分类,该癌被归类为T4,没有颈部淋巴结受累或远处转移。正电子发射断层扫描计算机断层扫描(PET-CT)也没有显示颈部淋巴结或远处转移的证据。
在用多西他赛(48 mg/m2)、顺铂(56 mg/m2)和5-氟尿嘧啶(480 mg/m2)进行一个周期的诱导化疗后,患者接受了超选择性动脉内顺铂治疗(第一次:150 mg,第二次至第四次:145 mg,每周)和放疗(60 Gy/30 Fr),结果完全缓解。调强放射治疗(IMRT)用于靶向原发性肿瘤。
放疗后不久,患者右耳出现持续性耳漏。放疗四年后还出现了慢性耳后皮肤瘘。定期随访增强磁共振成像(MRI)和PET-CT,以监测疾病进展和治疗效果。初次治疗七年后,MRI显示右颞骨破坏,提示骨放射性坏死(图1C)。治疗后八年,患者出现发烧和呕吐。CT扫描显示右小脑有一个低密度区域的环状增强病变,与最大直径为43毫米的小脑脓肿一致(图1D)。MRI T1加权成像显示低信号强度,而T2加权成像显示高信号强度。实验室检测表明,白细胞计数升高(11800/µL),C反应蛋白水平升高(1.98mg/dL)。脓肿采用引流和抗生素治疗。脓肿内鉴定出鸟肠球菌、棒杆菌、铜绿假单胞菌、帝汶类芽孢杆菌和脆弱拟杆菌。给药头孢曲松、甲硝唑和利奈唑胺。
患者患有慢性外耳道感染,伴有持续性耳漏,在放疗后不久开始,并在整个随访过程中持续存在。多年来,耳后皮肤瘘和颞骨放射性骨坏死逐渐发展。假设慢性感染通过皮肤瘘管和坏死颞骨在颅内传播,最终导致脑脓肿。患者没有复发或随后形成脑脓肿。

图1 A、 B:磁共振成像(MRI)T1加权钆增强图像显示肿瘤(由黄色箭头和红色箭头表示)。此外,图像显示肿瘤侵入右乙状窦和硬脑膜(由红色箭头表示)。根据改良的匹兹堡分类法,该肿瘤被归类为T4。无颈部淋巴结转移或远处转移。C:MRI T2加权图像显示右颞骨破坏,在放射治疗(RT)后七年观察到(由黄色箭头表示)。D:计算机断层扫描(CT)显示右小脑有一个低密度区域的环状增强病变,与放疗后8年出现的小脑脓肿一致。脓肿的最大尺寸为43毫米。通过引流和抗生素治疗进行了治疗。患者没有复发或随后形成脑脓肿

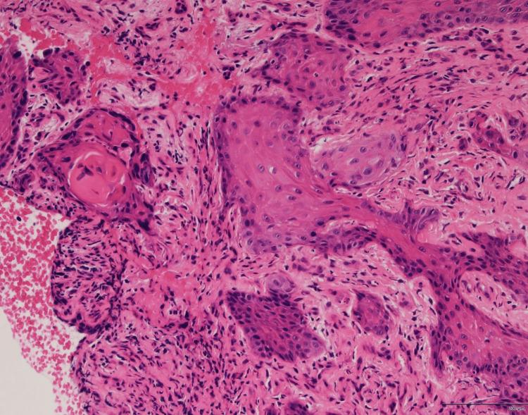
图2 标本苏木精和伊红染色显示非典型鳞状上皮侵入基质,证实了分化良好的鳞状细胞癌的诊断
病例2
一名45岁男性,有抗NMDAR脑炎病史,表现为累及整个外耳道的右侧EACC。他的主诉是右侧耳漏。患者没有免疫功能低下。组织病理学分析证实了中度分化鳞状细胞癌的诊断(图3)。MRI显示右中颅窝硬脑膜增强,表明肿瘤浸润(图4A、4B)。根据改良的匹兹堡分类法,该疾病被归类为T4。没有证据表明颈部淋巴结受累或远处转移。患者接受了根治性同步放化疗,IMRT(70 Gy/35 Fr)联合顺铂(100 mg/m2,三个三周疗程)。
治疗后两个月,患者被送往急诊室,主要症状是意识受损。CT扫描显示右颞叶有一个低密度区域的环状增强病变,与最大直径为36毫米的颞叶脓肿一致(图5A)。立即开始引流和抗生素治疗。脓肿和耳漏中均发现解脲弯曲杆菌,表明感染起源于外耳道。根据细菌敏感性,美罗培南和利奈唑胺的初始抗生素治疗调整为头孢曲松和甲硝唑。尽管进行了抗生素治疗,脓肿仍然存在,并有持续的活动性感染迹象(图5B)。
为了实现最终的治疗,进行了部分颞叶切除术。如果发现骨坏死,考虑颞骨切除和游离皮瓣移植。术中未发现骨坏死或复发。发现了一个连接乳突细胞和中颅窝的小瘘管,需要用带蒂颞肌瓣加固颅底(图6A、6B)。病理检查显示脓肿内有一颗癌珠,表明SCC侵犯了颅底,尽管没有活的肿瘤细胞。脑脓肿归因于肿瘤侵袭和RT导致的硬脑膜和颅底受损。患者仍然活着,没有复发或随后的脑脓肿。

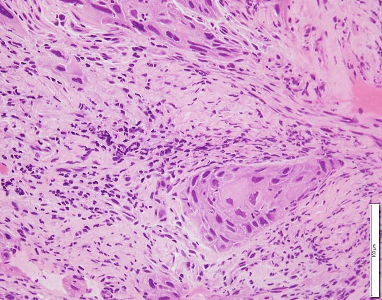
图3 标本苏木精和伊红染色显示非典型鳞状上皮细胞浸润基质,证实了中分化鳞状细胞癌的诊断

图4 A、 B:MRI图像显示肿瘤(由黄色箭头表示)和右中颅窝硬脑膜增强(由红色箭头表示)。根据改良的匹兹堡分类法,该疾病被归类为T4。患者无颈部淋巴结受累或远处转移

图5 A: CT扫描显示右颞叶有一个低密度区域的环状强化病变,与颞叶脓肿一致,最大36毫米。脑脓肿在放疗后两个月形成。B:尽管进行了引流和抗生素治疗,脑脓肿仍然存在

图6 为了治疗脓肿,进行了部分颞叶切除术。A:切除脑脓肿后,创建了带蒂颞肌瓣。B:皮瓣位于硬脑膜和颅底之间。患者仍然活着,没有复发或随后形成脑脓肿
在EACC根治性放疗后遇到了两例脑脓肿病例。第一位患者因放射性骨坏死而出现脑脓肿作为晚期并发症。第二例为EACC放疗后非典型早发性脑脓肿。
EACC放疗后的脑脓肿极为罕见,文献中仅报道了少数病例。Fang等人和Chuang等人描述了鼻咽癌放疗后发生的脑脓肿,但EACC没有类似的病例系列。这种稀缺性可能反映了EACC的罕见性,以及与鼻咽癌相比,手术和放疗选择的可用性。Laton报告了一例中耳鳞状细胞癌,经手术和术后放疗治疗,导致颞骨放射性骨坏死和小脑脓肿,类似于第一例。然而,与第二个病例不同,没有关于没有并发放射性骨坏死的早发性脑脓肿的报告。
并非所有颅底侵犯的患者都会在放疗后出现脑脓肿。Yamada等人报告称,接受放疗和化疗(多西他赛、顺铂或5-氟尿嘧啶)治疗的脑侵袭性EACC患者没有脑脓肿。同时第二个病例表明,颅底侵犯以外的因素也会导致脑脓肿的形成。放射治疗方法、化疗方案、鳞状细胞癌侵袭方式和患者特异性特征可能会影响颅底易损性。然而,由于缺乏关于EACC放疗后早发性脑脓肿的报告,无法确定确切的致病因素。需要进一步的研究和案例报告来明确这个问题。
关于放射性骨坏死,Ramsden等人将其分为局限性和弥漫性。保守治疗通常适用于局部疾病,而弥漫性疾病通常需要手术干预。Chen等人比较了鼻咽癌放疗后乳突放射性骨坏死的治疗结果,发现颞肌瓣在预防脓性耳漏和持续性放射性骨坏死方面优于乳突切除术。尽管第二个病例不需要骨切除,但由于存在中颅窝瘘,用带蒂颞肌瓣重建了颅底。术后未出现复发性脑脓肿。本病例报告仅包括两例,只有少数病例报告了EACC放疗后脑脓肿的发生。因此,很难全面讨论这一问题的机制。为了更深入地了解,有必要提供更多关于这种情况的病例报告。
医博士编译自:Iwaki S, Kawakita D, Matoba T, et al. Brain Abscess Following Definitive Radiotherapy in Patients With External Auditory Canal Carcinoma: Report of Two Cases. Cureus. 2025; 17(4):e81592. doi:10.7759/cureus.81592
声明: 所有注明“来源:医博士”的文字、图片和音视频资料,版权均属于医博士所有,转载须注明“来源:医博士”;所有转载文章系出于传递更多信息之目的,且明确注明来源和作者,不希望被转载的媒体或个人可与我们联系,我们将立即进行删除处理。