来源:医博士 | 2026-01-26
破裂性腹主动脉瘤(rAAA)的典型表现为腹部疼痛放射至背部,伴血流动力学不稳定。然而,仅约 25%-50% 的患者会出现腰背部疼痛、低血压及搏动性肿块这一经典三联征。对于孤立性睾丸疼痛的表现,腹主动脉瘤可能不会被列入首要的鉴别诊断。
腹主动脉瘤被定义为腹主动脉病理性扩张,直径大于3.0cm或较预期前后径增大50%。大型症状性腹主动脉瘤破裂风险增加,而破裂性腹主动脉瘤总体死亡率达80%,院前死亡率超过 44%。一项近期多中心研究显示,在入院后接受急诊开放性动脉瘤修补术的患者中,30天总体死亡率为32%。
腹主动脉瘤并非罕见疾病,在30-79岁人群中的全球患病率为0.92%,65岁以上人群中男性患病率增至6%,女性为1.7%。腹主动脉瘤通常无症状,直至症状性破裂才被发现。吸烟、高血压、高龄、腹主动脉瘤家族史、男性性别及遗传因素是腹主动脉瘤发生的临床危险因素。
一项大型荟萃分析显示,破裂性腹主动脉瘤的误诊率为42%,最常见的误诊疾病为输尿管绞痛和心肌梗死。考虑到该疾病的患病率及误诊带来的严重后果,这一发现令人担忧。更强的临床判断力与症状识别能力有助于提高诊断准确性,改善患者预后。在诊断此类时间敏感、危及生命的疾病时,考虑广泛的鉴别诊断至关重要。由于破裂性腹主动脉瘤预后不佳,许多国家已为高危人群制定了筛查计划,且这些计划已被证实可降低动脉瘤相关死亡率。
患者信息与临床表现
一名62岁男性因突发右侧睾丸疼痛由救护车送至急诊科。疼痛为突发性,在就诊前约3小时逐渐开始,性质为剧烈钝痛,局限于睾丸,无放射痛,无其他伴随症状。
患者有高血压、高脂血症、前列腺癌术后史,吸烟30包年(已戒烟),无主动脉瘤家族史,无过敏史。体格检查显示,患者腹部柔软,下腹部轻度压痛;外生殖器检查正常,提睾反射存在,Phren征阴性,右侧睾丸为疼痛焦点。患者体重指数偏高,生命体征在正常范围内,复查期间血流动力学稳定。
诊断过程
急诊科诊疗过程中,患者接受了床旁睾丸超声及床旁腹部超声检查。睾丸超声显示结果正常,血流保留,无扭转或附睾睾丸炎迹象。考虑到患者年龄、血管危险因素及不明原因睾丸疼痛,医生进行了床旁腹部超声检查——该检查并非常规项目,而是基于危险因素和非典型表现做出的临床合理决策。床旁腹部超声发现一个9.1cm的症状性腹主动脉瘤,此情况此前未知。随后紧急安排了主动脉计算机断层扫描血管造影进一步评估,结果显示肾下型大型动脉瘤,最大前后径9.4cm,长度12.2cm,无明显动脉瘤渗漏或影像学提示破裂的相关特征(图1A、图2A)。

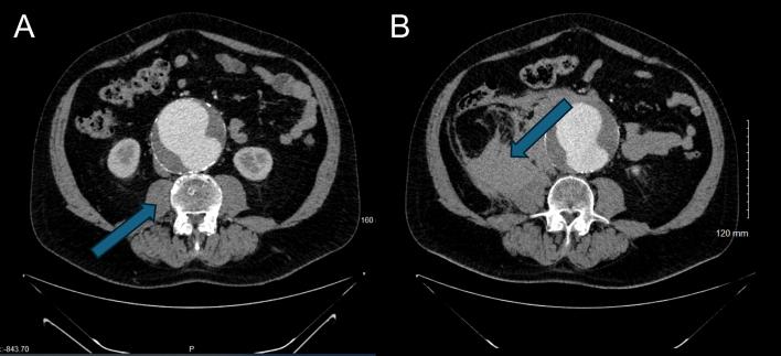
图 1 A 和 B:对比增强轴向计算机断层扫描图像
A 图为破裂前初始 CT 扫描:显示大型肾下型动脉瘤,瘤壁完整;B 图为患者动脉瘤破裂后病情恶化的后续扫描:显示右侧新发腹膜后血肿,对右侧腰大肌产生占位效应,符合破裂表现。A 图中箭头指向右侧腰大肌,B 图中箭头指向破裂性腹主动脉瘤所致血肿。
患者从CT室返回急诊科后,主诉睾丸疼痛急性加重,血流动力学不稳定,血压降至 60/30mmHg,但双侧股动脉搏动仍可触及。其他生命体征为:心率55次/分钟,室内空气下血氧饱和度95%。患者出现嗜睡、意识模糊,情况危急。医院立即启动复苏措施,并将患者送回CT室紧急复查。复查影像显示动脉瘤囊右侧出现新发腹膜后出血(分别见图1A与图1B、图2A与图2B对比)。患者被直接转运至急诊手术室,启动大量输血方案,并通知手术室工作人员、麻醉团队及高级外科医师。本次诊断的主要挑战是从孤立性睾丸疼痛中识别出症状性腹主动脉瘤。
在手术室,患者接受了破裂性腹主动脉瘤开放性修补术。考虑到破裂性腹主动脉瘤的危急情况,选择手术治疗方式时应采用个体化方案,综合考虑患者身体状况、解剖结构、外科医师经验及患者意愿。对比开放性修补术(OSR)与腔内修复术(EVAR)治疗破裂性腹主动脉瘤的随机对照试验显示,两种治疗方案的死亡率无统计学差异。患者在全身麻醉下取仰卧位,接受了从剑突至耻骨联合的纵向剖腹术。术中发现一个大型动脉瘤,周围有广泛血肿。医生在肾下放置主动脉夹,并使用Debakey髂动脉夹控制双侧髂总动脉。纵向切开主动脉瘤囊,清除血栓及碎屑,采用20mm涤纶银质管状移植物,行肾下主动脉近端至髂总动脉分叉上方远端的端-端吻合术。为避免严重低血压,医生依次恢复双侧下肢血流。术中多普勒检查显示,修复术后髂动脉及股动脉远端血流呈良好三相波。
术后,患者被送至重症监护室(ICU)进行康复和密切监测,术后第1天停用血管活性药物及血压支持。患者在ICU治疗2天后转入高依赖病房(HDU)治疗2天,之后转入普通病房。术后不久,患者即可自主排尿,并在物理治疗辅助下下床活动,动脉瘤修补术后睾丸疼痛缓解。患者出现术后肠梗阻,经保守治疗后逐渐缓解,术后第6天恢复正常排便。肠梗阻缓解后,患者于术后2周出院。术后3周,患者在门诊复诊,无明显不适,恢复顺利,医生拆除了手术缝线。随后,患者接受腘动脉duplex扫描,以排查合并腘动脉瘤的可能。
医生建议患者一级亲属在50岁时进行腹主动脉瘤筛查——欧洲血管外科学会(ESVS)2024 年指南推荐,所有50岁及以上、有一级亲属患腹主动脉瘤的男性和女性均应接受腹主动脉瘤筛查。患者术后无并发症或不良事件发生,严格遵循术后康复建议,包括避免重体力劳动及调整生活方式,早期随访中未出现睾丸疼痛复发,这进一步支持了睾丸疼痛的假设发病机制。

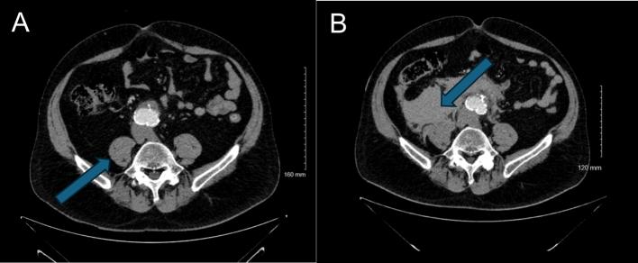
图 2 A 和 B:对比增强轴向计算机断层扫描的更远端视图
A 图为破裂前初始 CT 扫描:显示大型肾下型动脉瘤,瘤壁完整;B 图为患者动脉瘤破裂后病情恶化的后续扫描:显示右侧新发腹膜后血肿,对右侧腰大肌产生占位效应,符合破裂表现。A 图中箭头指向右侧腰大肌,B 图中箭头指向破裂性腹主动脉瘤所致血肿。
讨论
以睾丸疼痛为表现的腹主动脉瘤较为罕见,文献中仅有少数病例报道。大多数腹主动脉瘤患者无症状,动脉瘤多通过偶然发现或筛查确诊。本病例表明,破裂性腹主动脉瘤的典型三联征并非总能出现,在临床实践中需保持广泛的鉴别诊断思路,以识别非典型症状。
睾丸疼痛是急诊科常见的泌尿系统疾病特征性症状,如睾丸扭转、附睾炎、鞘膜积液或尿路结石等。关于症状性腹主动脉瘤患者出现孤立性睾丸疼痛的病因,一种假说认为是动脉瘤囊刺激生殖股神经所致,血肿或局部出血可能进一步压迫神经。生殖股神经起源于腰丛 L1/L2 节段,沿腹后壁下行,经腰大肌前表面,随后分为生殖支和股支。生殖支负责阴囊的感觉传导,并支配提睾肌。本例患者的横断面CT影像显示,右侧腰大肌被血肿浸润(图 1B、图 2B)。故推测动脉瘤囊或血肿的局部刺激可能引发睾丸牵涉痛。主动脉通常位于腹部中线左侧,因此症状性腹主动脉瘤患者的睾丸疼痛非典型表现更常见于左侧,这也使得本病例的非典型性更为显著。尽管该假说仍为推测,但影像中腰大肌区域受累及其与生殖股神经的邻近关系支持这一解释。生殖股神经痛相关研究也为该疼痛的解剖学基础提供了佐证——生殖股神经痛是指因生殖股神经受压或损伤引发的神经病理性疼痛,症状包括阴囊疼痛。然而,大多数关于生殖股神经痛的文献聚焦于医源性损伤,而非血管压迫。
破裂性腹主动脉瘤患者存活的关键决定因素是从破裂到手术治疗的时间。本例患者的睾丸疼痛在动脉瘤囊破裂前数小时即出现。文献中少数已报道的类似病例均存在一个共同特征:先出现一段时间的睾丸疼痛,随后疼痛急性加重,进而出现血流动力学不稳定。破裂前出现症状可能为患者血流动力学稳定时进行紧急修补术提供机会,这也凸显了及时诊断的重要性。不过,欧洲血管外科学会(ESVS)指南推荐,症状性动脉瘤应在下次可安排的择期手术列表中进行手术(IIb 类证据)。
小结
考虑到腹主动脉瘤的相对高发病率及破裂性腹主动脉瘤的高死亡率,临床医生在检查睾丸疼痛患者时,应高度警惕腹主动脉瘤的可能。对于破裂性动脉瘤,时间至关重要,及时诊断可能对手术预后产生重大影响。
医博士编译自:Kenny F, McLoughlin M, Bobic S,et al. Right sided testicular pain as the sole presenting symptom of an abdominal aortic aneurysm: A case report. International Journal of Surgery Case Reports. 2025; 137:112130. doi:10.1016/j.ijscr.2025.112130.
声明: 所有注明“来源:医博士”的文字、图片和音视频资料,版权均属于医博士所有,转载须注明“来源:医博士”;所有转载文章系出于传递更多信息之目的,且明确注明来源和作者,不希望被转载的媒体或个人可与我们联系,我们将立即进行删除处理。