来源:医博士 | 2026-03-30
血管内主动脉修复术(EVAR)是治疗主动脉和髂动脉瘤的公认方法。为避免跛行、勃起功能障碍和脊髓缺血等并发症,指南推荐至少保留一侧髂内动脉(IIA)的血流。髂动脉分支器械可在血管内修复过程中保留髂内动脉灌注。在日本,髂动脉分支内支架(IBE;W.L.戈尔公司)于2017年获批,目前仍是唯一可用的髂动脉分支器械。然而,当Excluder支架(W.L.戈尔公司)与IBE联用时,使用说明书要求主髂动脉长度(从最低肾动脉至髂分叉测量)≥165mm,且髂总动脉(CIA)长度≥55mm。因此,对于体型相对瘦小的患者,IBE的应用可能存在挑战。本文报道1例采用AFX支架(Endologix 公司)联合IBE治疗短段主髂动脉及髂总动脉合并髂总动脉动脉瘤(CIAA)的病例。
病例介绍
1例74岁幕上肿瘤男性患者因右侧髂总动脉动脉瘤就诊于我院。既往有高血压病史。增强 CT 显示:右侧髂总动脉动脉瘤(直径 32mm),左侧髂内动脉闭塞(图1);主髂动脉长度146mm,右侧髂总动脉长度52mm;腹主动脉末端直径20mm,未发现腹主动脉瘤(Abdominal Aortic Aneurysm,AAA)。患者拟行幕上肿瘤放化疗,需术后快速恢复。由于左侧髂内动脉闭塞,保留右侧髂内动脉灌注至关重要。因此,我们计划为该患者实施IBE联合EVAR术。但主髂动脉及右侧髂总动脉长度不满足Excluder与IBE常规联用的条件,故计划在左侧腹主动脉末端上方15mm处释放Excluder髂动脉延长器,以缩短最低肾动脉与腹主动脉末端的距离,并选择AFX作为近端支架。
手术在全身麻醉下进行。首先采用弹簧圈栓塞腰动脉和骶中动脉;经左侧股总动脉(Common Femoral Artery, CFA)置入12Fr Dryseal 鞘管,血管造影确认腹主动脉末端位置后,于腹主动脉末端近端15mm处释放Excluder髂动脉延长器(PLC121000,W.L.戈尔公司),并使用37mm成型闭塞(Molding and Occlusion, MOB)球囊(W.L.戈尔公司)进行后扩张;经右侧股总动脉置入17Fr AFX鞘管,建立贯穿导丝以辅助AFX支架释放,血管造影确认肾动脉开口位置后,将AFX BEA22-80/20-40支架释放于Excluder髂动脉延长器上,再次使用 MOB球囊后扩张;将17Fr AFX鞘管更换为16Fr Dryseal鞘管,置入贯穿导丝准备IBE释放,确认右侧髂分叉位置后完全释放IBE;经左侧股总动脉将12Fr Dryseal鞘管送至IBE内,释放髂内动脉组件(HGB161007),并使用16mm Gekira PTA 球囊(Filmecc 公司,名古屋)后扩张;最后用MOB球囊强化AFX与IBE的重叠部位。最终血管造影未发现内漏(图 2)。手术时长114分钟,透视时长52分钟,出血量220mL,无需输血。
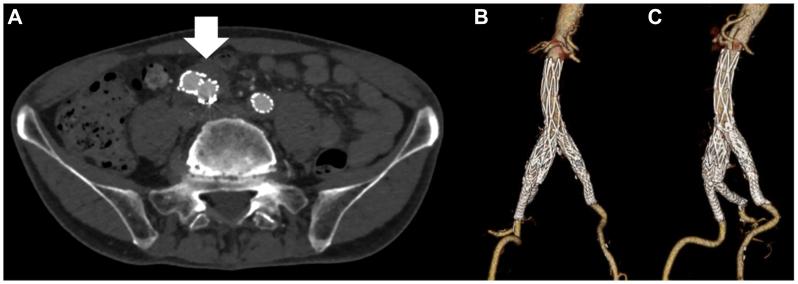
患者术后恢复顺利,CT检查未发现内漏(图3),术后3天无并发症出院。术后6个月随访,无跛行症状,平扫CT显示动脉瘤直径略有缩小,支架无移位。

图1术前 CT:A.白色箭头示右侧髂总动脉动脉瘤;B.白色箭头示左侧髂内动脉闭塞;C.三维CT示最低肾动脉与腹主动脉末端距离缩短

图2 血管造影确认腹主动脉末端位置(A);B.黑色箭头示Excluder髂动脉延长器近端边缘位于腹主动脉末端上方15mm处;C.黑色箭头示AFX支架释放于新确立的腹主动脉末端,IBE释放于该位置下方;D.术中血管造影未发现内漏

图3 术后 CT:A.白色箭头示支架通畅,无内漏;B、C.三维CT示AFX与IBE支架在短段主髂动脉及右侧髂总动脉内定位良好
EVAR是治疗主髂动脉及髂动脉瘤的常用微创方法。欧洲血管外科学会和美国血管外科学会指南均推荐此类手术中至少保留一侧髂内动脉血流。髂动脉分支器械是实现这一目标的重要工具。在日本,IBE于2017年获批后仍是唯一可用的髂动脉分支器械,但Excluder与IBE联用需主髂动脉长度≥165mm。解剖学研究表明,与西方人群相比,亚洲人群的髂总动脉直径更小、长度更短,仅25%-31%的日本患者符合IBE的使用说明要求。
针对这一限制,学者们提出了多种解决方案:Yunoki等分析了20例IBE治疗髂总动脉动脉瘤或合并髂总动脉扩张的腹主动脉瘤病例,认为若主髂动脉长度缩短≤24mm,可通过前移桥接器械完成手术;Mitsuoka等报道1例采用IBE联合Excluder治疗短段主髂动脉腹主动脉瘤的病例,其技术要点为Excluder对侧插管后旋转器械,为桥接器械释放创造足够空间,但该技术需足够的管腔容积,且术前难以预测可用空间,存在近端瘤颈损伤风险;Shimizu等证实 “跨越技术”(up-and-over technique)可用于短段主髂动脉病例,即使主髂动脉长度仅135mm仍可释放IBE,但存在对侧鞘管扭曲、EVAR支架远端移位、鞘管从18Fr缩减至12Fr导致穿刺点出血风险增加等问题,且向对侧髂内动脉的输送路径延长会增加器械操作难度;Akagi等报道2例采用AFX联合IBE的病例,AFX的主动脉组件较短(60-100mm),适用于主髂动脉长度有限的病例,尽管内支架型AFX与外支架型IBE联用可能增加III型内漏风险,但该研究中未出现此类并发症。
本病例中,鉴于腹主动脉狭窄且主髂动脉长度短,选择AFX进行EVAR治疗;针对髂总动脉短的问题,将AFX近端释放并与腹主动脉末端上方15mm处的Excluder髂动脉延长器重叠,为IBE释放创造空间。该技术避免了“跨越技术”中支架移植物窄腔内的急剧成角,便于鞘管插入对侧髂内动脉,同时降低了主支架移植物移位风险,并缩短了至对侧髂内动脉区域的距离。
但本方法存在局限性:首先,置入Excluder髂动脉延长器后,需保留足够的主动脉长度以确保 AFX 的正确释放;其次,为预防III型内漏,优选4cm腿长的AFX支架;此外,支架移植物移位、III型内漏等长期结局尚不明确,需进一步随访评估。
医博士编译自:Sakakibara S, Shimamura K, Watanabe Y, et al. Endovascular aortic repair with iliac branch endoprosthesis for short common iliac aneurysm. Journal of Vascular Surgery Cases and Innovative Techniques. 2025; 12(1):102066. doi:10.1016/j.jvscit.2025.102066.
声明: 所有注明“来源:医博士”的文字、图片和音视频资料,版权均属于医博士所有,转载须注明“来源:医博士”;所有转载文章系出于传递更多信息之目的,且明确注明来源和作者,不希望被转载的媒体或个人可与我们联系,我们将立即进行删除处理。